相关产品推荐更多 >
万千商家帮你免费找货
0 人在求购买到急需产品
- 详细信息
- 文献和实验
- 技术资料
- 免疫原:
A synthetic peptide of human SCF
- 亚型:
IgG
- 形态:
液体
- 保存条件:
Store at -20°C. Avoid freeze / thaw cycles.
- 克隆性:
单克隆
- 标记物:
现询
- 适应物种:
Human Mouse Rat
- 保质期:
详询
- 抗原来源:
现询
- 目录编号:
K106507P
- 级别:
详询
- 库存:
99
- 供应商:
北京索莱宝科技有限公司
- 宿主:
Rabbit
- 应用范围:
IHC
- 浓度:
现询
- 靶点:
SCF
- 抗体英文名:
Anti-KITLG Polyclonal Antibody
- 抗体名:
DCUA;DFNA69;FPH2;FPHH;Kitl;KL-1;MGF;SCF;SF;SHEP7
- 规格:
50ul/100ul
| 规格: | 50ul | 产品价格: | ¥960.0 |
|---|---|---|---|
| 规格: | 100ul | 产品价格: | ¥1600.0 |
Anti-KITLG Polyclonal Antibody
Stem Cell Factor (SCF), also known as c-Kit ligand (KL), steel factor (SLF) and mast cell growth factor (MGF), is a 30 kDa glycoprotein with broad activities on various tissues, including hematopoietic cells, pigment cells, and primordial germ cells. SCF is secreted by endothelial cells, fibroblasts, and bone marrow stromal cells as a membrane-bound form which may be cleaved to release the soluble form. Both forms are active in promoting colony formation from murine bone marrow cells, but membrane-bound SCF is more effective in promoting hematopoieses in vivo, suggesting a role in cellular interactions between hematopoietic and stromal cells.
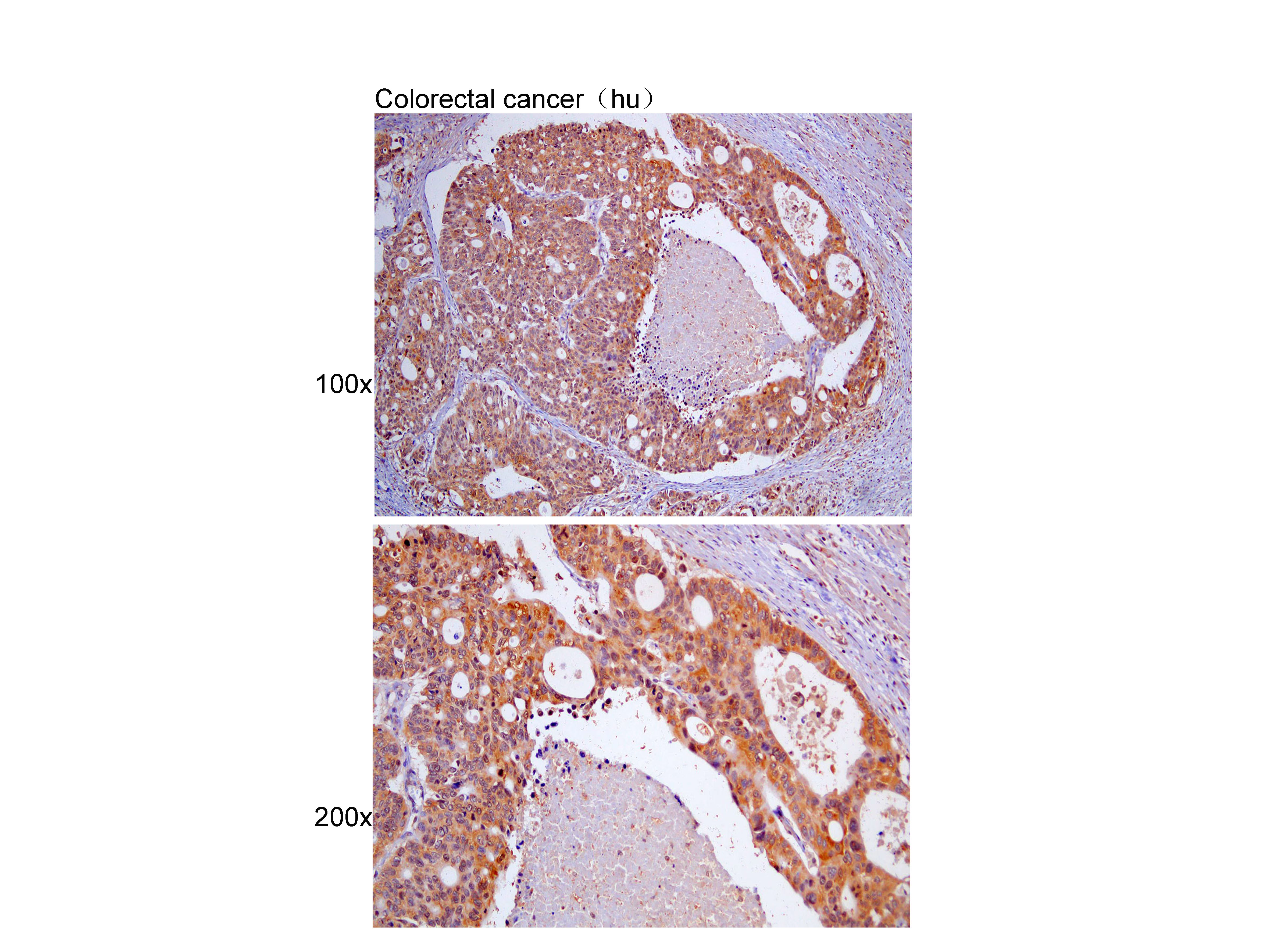
实验图
Immunohistochemistry of paraffin-embedded Colorectal cancer(hu) using SCF at dilution of 1:100 (x100 lens,x200 lens).
风险提示:丁香通仅作为第三方平台,为商家信息发布提供平台空间。用户咨询产品时请注意保护个人信息及财产安全,合理判断,谨慎选购商品,商家和用户对交易行为负责。对于医疗器械类产品,请先查证核实企业经营资质和医疗器械产品注册证情况。
文献和实验Polyclonal Antibody Production
, if desired this is best accomplished by Protein A Affinity Chromatography. 上一篇:make an Antibody against a Peptides 下一篇:Immunization Protocol for Monoclonal Antibody Production
Polyclonal Antibody Production
Polyclonal Antibody Production Very useful for rapid and simple generation of antibodies for western blots, ELISA assays, and immunoprecipitation. Rabbit Immunization Initial Preparation Your antigen
a simple ELISA method to detect human anti-antibody response.











