相关产品推荐更多 >
万千商家帮你免费找货
0 人在求购买到急需产品
- 详细信息
- 文献和实验
- 技术资料
- 免疫原:
Recombinant protein of human GAPDH
- 亚型:
IgG
- 形态:
液体
- 保存条件:
Store at -20°C. Avoid freeze / thaw cycles.
- 克隆性:
单克隆
- 适应物种:
Human Mouse Rat
- 保质期:
5年
- 抗原来源:
Recombinant protein of human GAPDH
- 目录编号:
K106389P
- 级别:
BR
- 库存:
99
- 供应商:
北京索莱宝科技有限公司
- 宿主:
Rabbit
- 应用范围:
WB
- 靶点:
GAPDH
- 抗体英文名:
Anti-GAPDH Polyclonal Antibody
- 抗体名:
GAPDH GAPD;CDABP0047;OK/SW-cl.12;G3PD;HEL-S-162eP
- 规格:
50ul/100ul
| 规格: | 50ul | 产品价格: | ¥960.0 |
|---|---|---|---|
| 规格: | 100ul | 产品价格: | ¥1600.0 |
产品简介
| 单位 | 支 |
| 靶标 | GAPDH |
| 别名 | G3PD;GAPD;HEL-S-162eP |
| 宿主 | Rabbit |
| 稀释比例 | WB 1:8000-12000. IHC 1:50-200. |
| Gene ID | 2597 |
| 保存 | Store at -20°C. Avoid freeze / thaw cycles. |
| Swiss Prot | P04406 |
| 蛋白分子量 | 32/36kDa |
| 储存液 | Buffer: PBS with 0.02% sodium azide, 50% glycerol, pH7.3. |
| 亚细胞定位 | Cytoplasm Nucleus |
| 免疫原 | Recombinant protein of human GAPDH |
| 亚型 | IgG |
| 纯化方法 | Affinity purification |
| 背景资料 | Has both glyceraldehyde-3-phosphate dehydrogenase and nitrosylase activities, thereby playing a role in glycolysis and nuclear functions, respectively. Participates in nuclear events including transcription, RNA transport, DNA replication and apoptosis. Nuclear functions are probably due to the nitrosylase activity that mediates cysteine S-nitrosylation of nuclear target proteins such as SIRT1, HDAC2 and PRKDC. Modulates the organization and assembly of the cytoskeleton. Facilitates the CHP1-dependent microtubule and membrane associations through its ability to stimulate the binding of CHP1 to microtubules. Glyceraldehyde-3-phosphate dehydrogenase is a key enzyme in glycolysis that catalyzes the first step of the pathway by converting D-glyceraldehyde 3-phosphate (G3P) into 3-phospho-D-glyceroyl phosphate. Component of the GAIT (gamma interferon-activated inhibitor of translation) complex which mediates interferon-gamma-induced transcript-selective translation inhibition in inflammation processes. Upon interferon-gamma treatment assembles into the GAIT complex which binds to stem loop-containing GAIT elements in the 3'-UTR of diverse inflammatory mRNAs (such as ceruplasmin) and suppresses their translation. |
| Public Immunogen Range | 1-336aa |
| 克隆类型 | Polyclonal Antibody |
| 交叉反应 | Human Rat Mouse |
| 应用 | WB IHC |
| 规格 | 50ul 100ul |
备注:
以上数据均来自公开文献, Solarbio暂未进行独立验证, 仅供参考。
These protocols are for reference only. Solarbio does not independently validate these methods.
温馨提示:
使用前请离心。如有问题请及时联系我们。
Quick spin before use. If you have any questions, please contact us.
实验图
Immunohistochemistry of paraffin-embedded Human breast cancer using GAPDH antibody diluted at 1:100
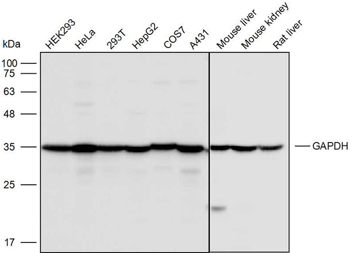
Western blot analysis with GAPDH antibody diluted at 1:8000;Lane:HEK293,HeLa,293T,HepG2,COS7,A431,Mouse liver,Mouse kidney,Rat liver
风险提示:丁香通仅作为第三方平台,为商家信息发布提供平台空间。用户咨询产品时请注意保护个人信息及财产安全,合理判断,谨慎选购商品,商家和用户对交易行为负责。对于医疗器械类产品,请先查证核实企业经营资质和医疗器械产品注册证情况。
文献和实验Polyclonal Antibody Production
, if desired this is best accomplished by Protein A Affinity Chromatography. 上一篇:make an Antibody against a Peptides 下一篇:Immunization Protocol for Monoclonal Antibody Production
GAPDH抗体|GAPDH抗体大全-艾美捷指导您购买合适的GAPDH抗体
,但是进口品牌如Abcam、Millipore、CST等价格偏高,一般在¥3000/100ul左右。下面我们为您推荐三款GAPDH原装进口抗体,分别是美国EarthOx和ProteinTech的产品。EarthOx的Anti-GAPDH Monoclonal Antibody (货号E021010 )是小鼠源的单抗,其效价很高,厂商推荐的WB起始稀释比率为1:1000,实际应用过程中,有使用1:10000或更高的报告,远远高于此稀释比率,说明其免疫效价很高,另外,其检测种属也很多,包括人、牛、猪、小鼠
Polyclonal Antibody Production
Polyclonal Antibody Production Very useful for rapid and simple generation of antibodies for western blots, ELISA assays, and immunoprecipitation. Rabbit Immunization Initial Preparation Your antigen
技术资料暂无技术资料 索取技术资料










