相关产品推荐更多 >
万千商家帮你免费找货
0 人在求购买到急需产品
- 详细信息
- 技术资料
- 免疫原:
A synthetic peptide of human HS90B
- 亚型:
IgG
- 形态:
液体
- 保存条件:
Store at -20°C. Avoid freeze / thaw cycles.
- 克隆性:
单克隆
- 适应物种:
Human Mouse
- 保质期:
详询
- 抗原来源:
现询
- 目录编号:
K101515P
- 级别:
详询
- 库存:
99
- 供应商:
北京索莱宝科技有限公司
- 宿主:
Rabbit
- 应用范围:
WB IHC
- 浓度:
详询
- 靶点:
HS90B
- 抗体英文名:
Anti-Hsp90 beta Polyclonal Antibody
- 抗体名:
D6S182;HSP84;HSP90B;HSPC2;HSPCB
- 规格:
50ul/100ul
| 规格: | 50ul | 产品价格: | ¥960.0 |
|---|---|---|---|
| 规格: | 100ul | 产品价格: | ¥1600.0 |
产品简介
|
英文名称
|
Anti-Hsp90 beta Polyclonal Antibody
|
|
中文名称
|
热休克蛋白90β/HSP90 β 抗体
|
|
靶标
|
Hsp90 beta
|
|
别名
|
HSP90 beta, D6S182, FLJ26984, Heat shock 90kD protein 1, beta, Heat shock protein 90kDa alpha (cytosolic) class B member 1, Heat shock protein beta, Heat shock protein HSP 90 beta, HSP 84, HSP84, HSP 90, HSP-90 BETA, HSP90B, HSPC2, HSPCB, HS90B_HUMAN, Heat shock protein HSP 90-beta, Heat shock 84 kDa, HSP90AB1
|
|
背景资料
|
Molecular chaperone that promotes the maturation, structural maintenance and proper regulation of specific target proteins involved for instance in cell cycle control and signal transduction. Undergoes a functional cycle that is linked to its ATPase activity. This cycle probably induces conformational changes in the client proteins, thereby causing their activation. Interacts dynamically with various co-chaperones that modulate its substrate recognition, ATPase cycle and chaperone function
|
|
Swiss Prot
|
P08238
|
|
Gene ID
|
3326
|
|
亚细胞定位
|
Cytoplasm Melanosome
|
|
宿主
|
Rabbit
|
|
克隆类型
|
Polyclonal Antibody
|
|
亚型
|
IgG
|
|
交叉反应
|
Human ; Mouse
|
|
蛋白分子量
|
83kDa
|
|
应用
|
WB ; IHC
|
|
稀释比例
|
WB 1:500-2000. IHC 1:50-200.
|
|
免疫原
|
A synthetic peptide of human Hsp90 beta
|
|
Public Immunogen Range
|
674-724/724aa
|
|
纯化方法
|
Affinity purification
|
|
储存液
|
Buffer: PBS with 50% Glycerol, 0.03% Proclin300, 0.5% BSA, pH 7.3.
|
|
保存
|
Store at -20°C. Avoid freeze / thaw cycles.
|
|
规格
|
100ul ; 50ul
|
|
单位
|
支
|
These protocols are for reference only. Solarbio does not independently validate these methods.
Quick spin before use. If you have any questions, please contact us.
实验图
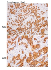
Immunohistochemistry of paraffin-embedded Breast cancer(hu) using HS90B at dilution of 1:100 (x100 lens,x200 lens).
Immunohistochemistry of paraffin-embedded Esophageal cancer(hu) using HS90B at dilution of 1:100 (x100 lens,x200 lens).
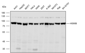
Western blot analysis with IKBA antibody at dilution at 1:1000;Lane: A431,HepG2,MCF7,HeLa,A549,293T,K-562,NIH/3T3,Raji ,SH-SY5Y.
Immunohistochemistry of paraffin-embedded Human breast cancer with HS90B antibody diluted at 1:100.
风险提示:丁香通仅作为第三方平台,为商家信息发布提供平台空间。用户咨询产品时请注意保护个人信息及财产安全,合理判断,谨慎选购商品,商家和用户对交易行为负责。对于医疗器械类产品,请先查证核实企业经营资质和医疗器械产品注册证情况。










