相关产品推荐更多 >
万千商家帮你免费找货
0 人在求购买到急需产品
- 详细信息
- 文献和实验
- 技术资料
- 免疫原:
Recombinant protein of human PDLIM1
- 亚型:
IgG
- 保存条件:
Store at -20°C. Avoid freeze / thaw cycles.
- 克隆性:
单克隆
- 适应物种:
Human Mouse Rat
- 目录编号:
K007136P
- 库存:
999
- 供应商:
北京索莱宝科技有限公司
- 宿主:
Rabbit
- 靶点:
PDLIM1
- 抗体英文名:
Anti-PDLIM1 Polyclonal Antibody
- 抗体名:
CLIM1;CLP36;CLP-36;hCLIM1;HEL-S-112
- 规格:
50ul/100ul
| 规格: | 50ul | 产品价格: | ¥960.0 |
|---|---|---|---|
| 规格: | 100ul | 产品价格: | ¥1600.0 |
产品简介
| 英文名称 | Anti-PDLIM1 Polyclonal Antibody |
| 中文名称 | 包含PDZ和LIM结构域蛋白1抗体 |
| 靶标 | PDLIM1 |
| 别名 | C terminal LIM domain protein 1, C-terminal LIM domain protein 1, Carboxy terminal LIM domain protein 1, CLIM 1, CLIM1, CLP 36, CLP36, Elfin, Enigma, Enigma homolog, hCLIM 1, hCLIM1, LIM domain protein CLP 36, LIM domain protein CLP-36, LIM domain protein CLP36, PDLI1_HUMAN, PDLIM 1, Pdlim1, PDZ and LIM domain 1, PDZ and LIM domain protein 1 |
| 背景资料 | Cytoskeletal protein that may act as an adapter that brings other proteins (like kinases) to the cytoskeleton (PubMed:10861853). Involved in assembly, disassembly and directioning of stress fibers in fibroblasts. Required for the localization of ACTN1 and PALLD to stress fibers. Required for cell migration and in maintaining cell polarity of fibroblasts (By similarity). |
| Swiss Prot | O00151 |
| Gene ID | 9124 |
| 亚细胞定位 | Cytoplasm Nucleus |
| 宿主 | Rabbit |
| 克隆类型 | Polyclonal Antibody |
| 亚型 | IgG |
| 蛋白分子量 | 36kDa |
| 稀释比例 | WB 1:1000-3000. IHC 1:50-200. |
| 免疫原 | A synthetic peptide of human PDLIM1 |
| Public Immunogen Range | 255-305/329aa |
| 纯化方法 | Affinity purification |
| 储存液 | Buffer: PBS with 0.03% Proclin300, 50% glycerol, pH7.3. |
| 保存 | Store at -20°C. Avoid freeze / thaw cycles. |
| 交叉反应 | Human Rat Mouse |
| 应用 | WB IHC |
| 规格 | 50ul 100ul |
| 单位 | 支 |
备注:
以上数据均来自公开文献, Solarbio暂未进行独立验证, 仅供参考。
These protocols are for reference only. Solarbio does not independently validate these methods.
温馨提示:
使用前请离心。如有问题请及时联系我们。
Quick spin before use. If you have any questions, please contact us.
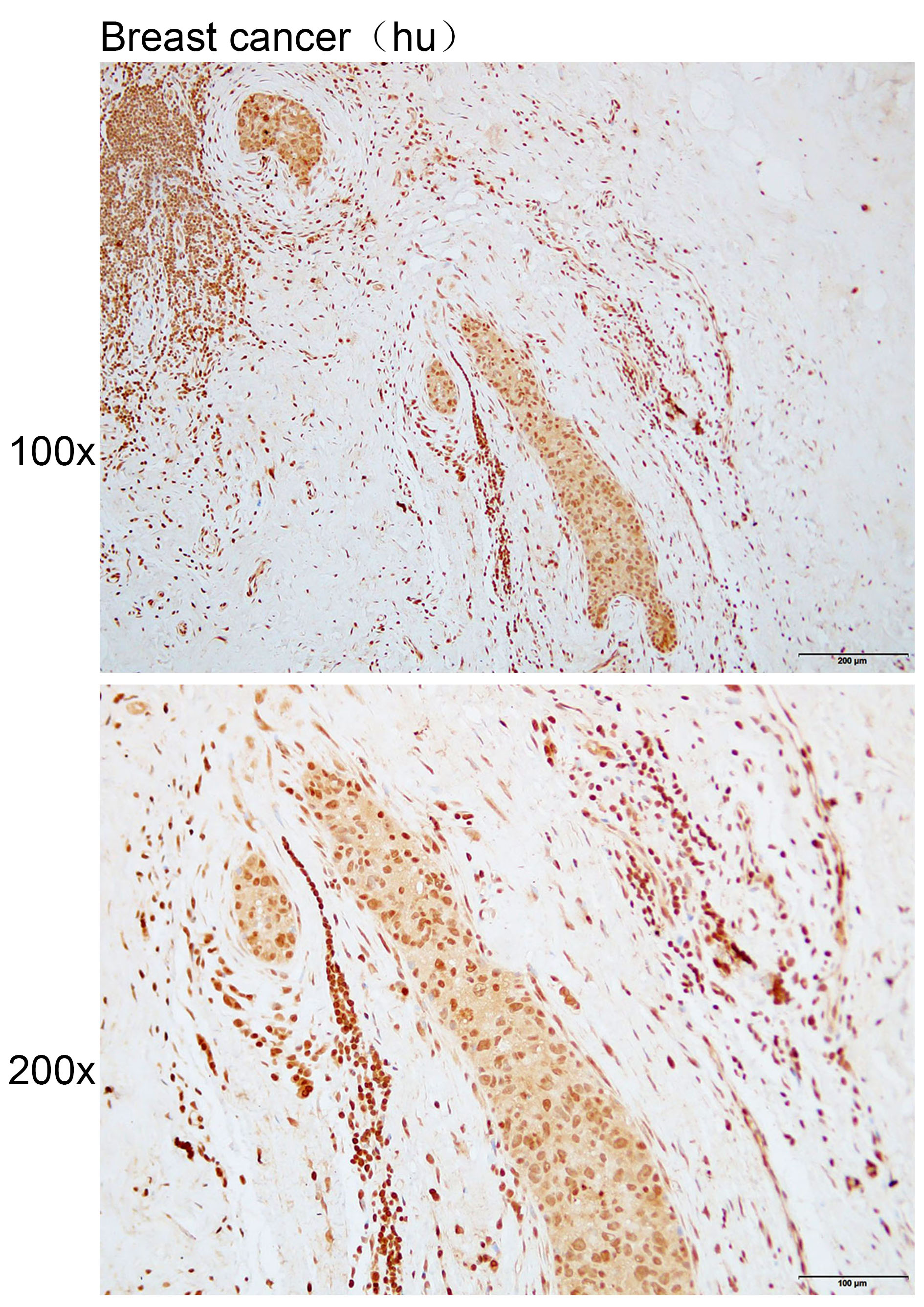
实验图
Western blot analysis with PDLIM1 antibody diluted at 1:2000;Lane:A431
Immunohistochemistry of paraffin-embedded Human breast cancer with PDLIM1 antibody diluted at 1:100
Immunohistochemistry of paraffin-embedded Human thyroid cancer with PDLIM1 antibody diluted at 1:100
风险提示:丁香通仅作为第三方平台,为商家信息发布提供平台空间。用户咨询产品时请注意保护个人信息及财产安全,合理判断,谨慎选购商品,商家和用户对交易行为负责。对于医疗器械类产品,请先查证核实企业经营资质和医疗器械产品注册证情况。
文献和实验Polyclonal Antibody Production
, if desired this is best accomplished by Protein A Affinity Chromatography. 上一篇:make an Antibody against a Peptides 下一篇:Immunization Protocol for Monoclonal Antibody Production
Polyclonal Antibody Production
Polyclonal Antibody Production Very useful for rapid and simple generation of antibodies for western blots, ELISA assays, and immunoprecipitation. Rabbit Immunization Initial Preparation Your antigen
a simple ELISA method to detect human anti-antibody response.
技术资料暂无技术资料 索取技术资料











