相关产品推荐更多 >
万千商家帮你免费找货
0 人在求购买到急需产品
- 详细信息
- 文献和实验
- 技术资料
- 免疫原:
Recombinant protein of human AP3B1
- 亚型:
IgG
- 形态:
液体
- 保存条件:
Store at -20°C. Avoid freeze / thaw cycles.
- 克隆性:
单克隆
- 适应物种:
Human ; Rat ; Mouse
- 目录编号:
K004945P
- 库存:
999
- 供应商:
北京索莱宝科技有限公司
- 宿主:
Rabbit
- 应用范围:
WB ; IHC
- 浓度:
WB 1:1000-3000. IHC 1:100-300.
- 靶点:
AP3B1
- 抗体英文名:
Anti-AP3B1 Polyclonal Antibody
- 抗体名:
Adapter related protein complex 3 beta 1 subunit, Adapter-related protein complex 3 subunit beta-1, Adaptor protein complex AP-3 subunit beta-1, Adaptor protein complex AP3 beta1 subunit, ADTB3, ADTB3A, AP-3 complex subunit beta-1, AP3 complex beta1 subunit, AP3B1, AP3B1_HUMAN, Beta-3A-adaptin, Beta3A adaptin, Clathrin assembly protein complex 3 beta 1 large chain, Clathrin assembly protein complex 3 beta-1 large chain, HPS, PE
- 规格:
50ul/100ul
| 规格: | 50ul | 产品价格: | ¥960.0 |
|---|---|---|---|
| 规格: | 100ul | 产品价格: | ¥1600.0 |
This gene encodes a protein that may play a role in organelle biogenesis associated with melanosomes, platelet dense granules, and lysosomes. The encoded protein is part of the heterotetrameric AP-3 protein complex which interacts with the scaffolding protein clathrin. Mutations in this gene are associated with Hermansky-Pudlak syndrome type 2. Two transcript variants encoding different isoforms have been found for this gene.
实验图
Western blot analysis with AP3B1 antibody diluted at 1:2000;Lane:HeLa,SKOV3,U-251MG,HepG2,THP-1,A431
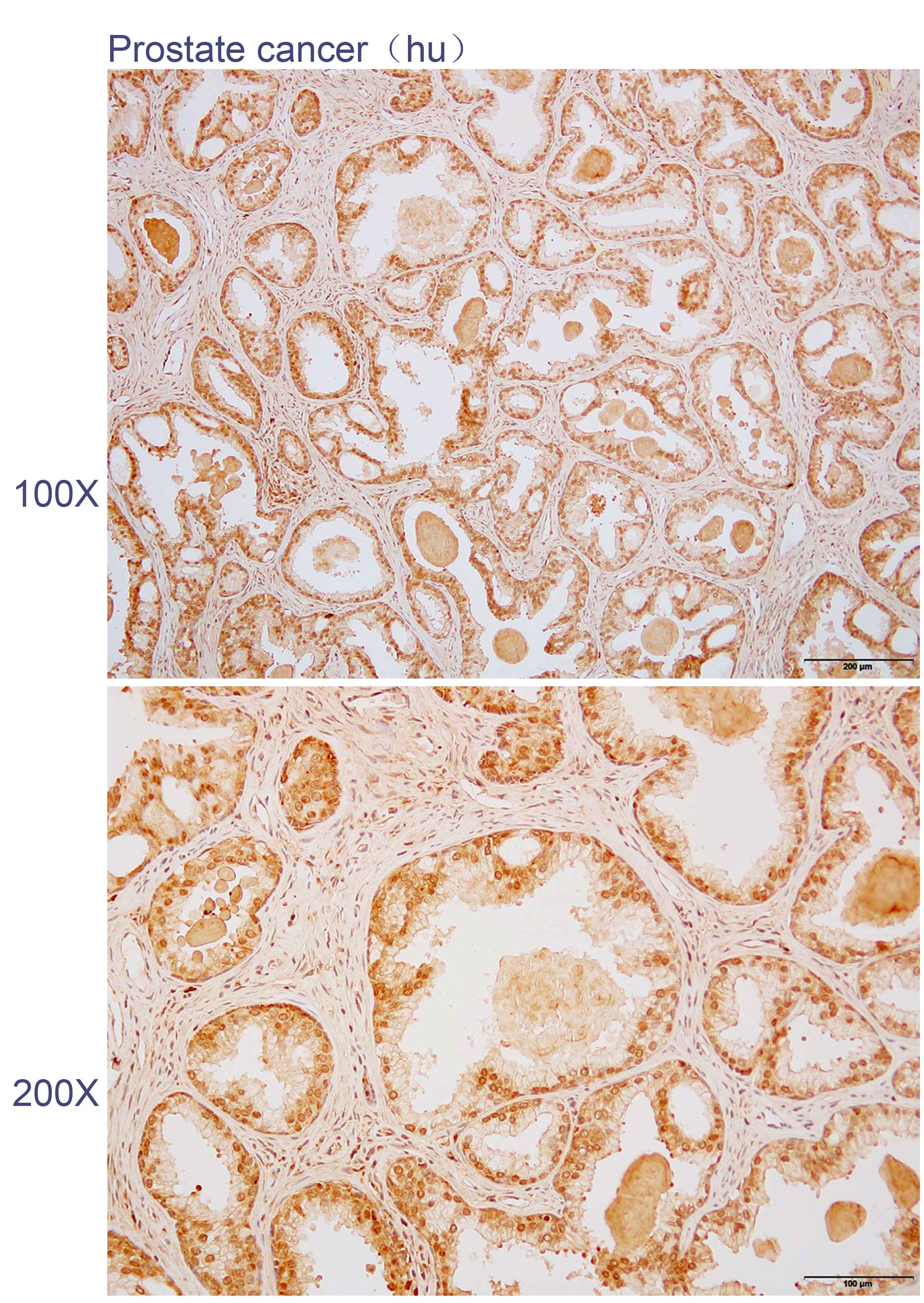
Immunohistochemistry of paraffin-embedded Human prostate cancer using AP3B1 antibody diluted at 1:200
Immunohistochemistry of paraffin-embedded Human thyroid cancer using AP3B1 antibody diluted at 1:200
风险提示:丁香通仅作为第三方平台,为商家信息发布提供平台空间。用户咨询产品时请注意保护个人信息及财产安全,合理判断,谨慎选购商品,商家和用户对交易行为负责。对于医疗器械类产品,请先查证核实企业经营资质和医疗器械产品注册证情况。
文献和实验Polyclonal Antibody Production
, if desired this is best accomplished by Protein A Affinity Chromatography. 上一篇:make an Antibody against a Peptides 下一篇:Immunization Protocol for Monoclonal Antibody Production
Polyclonal Antibody Production
Polyclonal Antibody Production Very useful for rapid and simple generation of antibodies for western blots, ELISA assays, and immunoprecipitation. Rabbit Immunization Initial Preparation Your antigen
a simple ELISA method to detect human anti-antibody response.
技术资料暂无技术资料 索取技术资料











