万千商家帮你免费找货
0 人在求购买到急需产品
- 详细信息
- 文献和实验
- 技术资料
- 品系:
细胞系
- 细胞类型:
原代细胞
- 供应商:
上海机纯实业有限公司
- 库存:
19
- 英文名:
兔原代肾系膜细胞
- 生长状态:
悬浮贴壁
- 年限:
长久
- 运输方式:
干冰运输
- 器官来源:
正常组织源性
- 规格:
>5×105细胞数
产品规格:>5×105细胞数
产品价格:3750
包装规格:1ml冻存细胞悬液或T-25培养瓶
产品的运输和保存:
视天气状况和运输距离远近,公司与客户协商后选择下述方式中的一种进行。
1)1mL冻存细胞悬液装于1.8ml的冻存管中,置于装满干冰的泡沫保温盒中进行运输;收到细胞后请尽快解冻复苏细胞进行培养,如无法立刻进行复苏操作,冻存细胞可在-80℃的条件下保存1个月。
2)T-25培养瓶充满完全培养基后进行常温运输;收到细胞后请镜下观察细胞生长状态,如铺瓶率超过85%请立即进行传代操作,如悬浮的细胞较多,请将培养瓶至于培养箱中静置过夜以帮助未死亡的悬浮细胞能够再次贴壁。
兔原代肾系膜细胞
推荐培养基:
我们推荐使用原代成纤维细胞培养体系作为体外培养原代肾小球系膜细胞的培养基。
产品使用:
1)本产品仅能用于科研
2)本产品未通过直接用于活体动物和人的审核
3)本产品未通过用于活体诊断的审核
兔原代肾系膜细胞
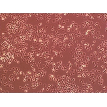
细胞特性:
1)组织来源于实验动物的正常肾组织。
2)细胞鉴定:结蛋白(Desmin)免疫荧光染色为阳性。
3)经鉴定细胞纯度高于90%。
4)不含有 HIV-1、 HBV、HCV、支原体、细菌、酵母和真菌。
5)细胞生长方式:长梭形细胞,不规则细胞,贴壁培养。
兔原代肾系膜细胞
细胞详述:
肾系膜细胞是肾小球内非常活跃的细胞,具有分泌细胞基质、产生细胞因子、吞噬和清除大分子物质及类似平滑肌细胞收缩的功能。同时还可产生和降解多种细胞外基质,参与系膜基质及肾小球基底膜的修复与更新,在肾小球生理功能和病理反应中起着重要作用。
风险提示:丁香通仅作为第三方平台,为商家信息发布提供平台空间。用户咨询产品时请注意保护个人信息及财产安全,合理判断,谨慎选购商品,商家和用户对交易行为负责。对于医疗器械类产品,请先查证核实企业经营资质和医疗器械产品注册证情况。
文献和实验取引产胎儿肾,无菌操作,1小时内完成。2用生理盐水冲洗干净。取肾皮质,用小外科剪剪成碎麽。依次研磨过80目,100目,200目筛网,不断用生理盐水冲洗,最后在200目筛网上收集肾小球,先用0。4%的胶原酶四消化半小时,接种于50ML的培养瓶里,加含有20%小牛血清的DMEM培养基放二氧化碳培养箱培养。三天后可在倒置镜下观察见有细胞贴壁生长。一周后换液一次,以后约三到四天就能长满瓶底。此时可常规传代,到第三代时,基本上生长的全是肾小球系膜细胞了,这时要进鉴定了,方法包括:常规HE染色,细胞
实验材料: 1. 正常兔晶状体组织; 2. 不含Ca 2+ 和Mg 2+ 的1×PBS,添加200000IU/L青霉素、200mg/L链霉素,pH7.2; 3. 注射器; 4. 培养器具:培养瓶或皿( 用多聚赖氨酸包被)、眼科剪、镊子等; 培养方法: 1. 空气注射处死大兔,在无菌条件下清除巩膜外肌肉及结缔组织后将眼球浸入含双抗的1×PBS(pH7. 2 )浸泡5min ,移入超净工作台内; 2. 用含双抗的1×PBS(pH7. 2 )冲洗 组织
应该是肾小球内(脏)层上皮细胞,这株细胞目前只有私人收藏,全球细胞库没有严格意义上的足细胞可供出售。 在文献中提到了“人肾小球系膜细胞系(human mesangial cell line,HMCL)由英国伦敦皇家公立医院肾脏中心阮雄中博士惠赠-----HMCL 为用T2SV40 及H2ras 原癌基因转染的永生系,保持正常人肾系膜细胞基本的形态学和生物学特征"。 因为足细胞很难找到,国内一些研究者已改用肾小管上皮细胞hk-2
技术资料暂无技术资料 索取技术资料










