相关产品推荐更多 >
万千商家帮你免费找货
0 人在求购买到急需产品
- 详细信息
- 文献和实验
- 技术资料
- 免疫原:
Carrier-protein conjugated synthetic peptide encompassing a sequence within the C-terminus region of human IL1 Receptor 1. The exact sequence is proprietary.
- 亚型:
IgG
- 形态:
Liquid
- 保存条件:
Store as concentrated solution. Centrifuge briefly prior to opening vial. For short-term storage (1-2 weeks), store at 4ºC. For long-term storage, aliquot and store at -20ºC or below. Avoid multiple freeze-thaw cycles.
- 克隆性:
Polyclonal
- 标记物:
Unconjugated
- 适应物种:
Human
- 保质期:
12 months from the shipping date of the product.
- 抗原来源:
Human
- 目录编号:
GTX108494
- 级别:
Primary Antibodies
- 库存:
Available
- 供应商:
GeneTex
- 宿主:
Rabbit
- 应用范围:
WB, IHC-P
- 浓度:
1 mg/ml (Please refer to the vial label for the specific concentration.)
- 靶点:
IL1 Receptor 1
- 抗体英文名:
IL1 Receptor 1 antibody [C3], C-term
- 抗体名:
IL1 Receptor 1 抗体 [C3], C-term
- 规格:
100 μl/25 μl
| 规格: | 100 μl | 产品价格: | ¥4000.0 |
|---|---|---|---|
| 规格: | 25 μl | 产品价格: | ¥1700.0 |
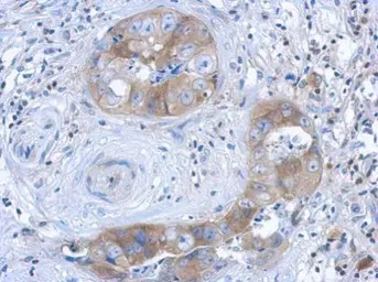
Immunohistochemical analysis of paraffin-embedded human breast cancer, using IL1 Receptor 1(GTX108494) antibody at 1:500 dilution.
Antigen Retrieval: Trilogy™ (EDTA based, pH 8.0) buffer, 15min
Sample(30 μg whole cell lysate)
A:Raji (GTX27908)
7.5% SDS PAGE
GTX108494 diluted at 1:1000
The HRP-conjugated anti-rabbit IgG antibody (GTX213110-01) was used to detect the primary antibody.
风险提示:丁香通仅作为第三方平台,为商家信息发布提供平台空间。用户咨询产品时请注意保护个人信息及财产安全,合理判断,谨慎选购商品,商家和用户对交易行为负责。对于医疗器械类产品,请先查证核实企业经营资质和医疗器械产品注册证情况。
文献和实验1, CALM2, CALM3, CAMK2B, CAMK4, CNR1, ITK, MAP2K7, NCK2, PAK1, PPIA, PPP3CB, PPP3CC, PPP3R1, TRPV6, VAV1, VAV2, VAV3. Ligands: CCL2, CSF2, CSF3, IFNA1, IFNB1, IFNG, IL1A, IL1B, IL2, IL3, IL4, IL6, IL8, IL10, IL12A, IL12B, IL13, IRF1, LTA, TGFB1, TNF
免疫荧光组织(细胞)化学技术系列七:现状与展望(附参考文献)
: a comparative study with lupus erythermatosus. J Cutan Pathol. 1997; 24(9): 543-552. (10)Bausch-SB. A method for triple fluorescence labeling with vicia villosa agglutinin, an anti-parvalubumin antibody and an anti-G-Protein-coupled receptor antibody. Brain Res
【资源】全面归类网址:毕赤酵母表达各种来源蛋白(细菌,真菌,植物,人类等)
inhibitorS, α-MF, 180 mg/L, active541Complement receptor type 1S, 50 mg/L, α-MF, binds C3b407Cromer blood group antigen decay-accelerating factorS, α-MF[222]Cytomegalovirus ppUL44 antigenI, 0.1 mg/ml[223]Decay accelerating factor-DAF (CD55)-Echovirus
技术资料暂无技术资料 索取技术资料






![ENO1 antibody [N3C3]](https://img1.dxycdn.com/2023/0516/895/8887749495766728561-14.jpg!wh200)
![CDKN2A / p16INK4a antibody [IHC016]](https://img1.dxycdn.com/2023/0711/451/6106825198874858761-14.jpg!wh200)

