相关产品推荐更多 >
万千商家帮你免费找货
0 人在求购买到急需产品
- 详细信息
- 文献和实验
- 技术资料
- 免疫原:
Carrier-protein conjugated synthetic peptide encompassing a sequence within the C-terminus region of human Munc 13-4. The exact sequence is proprietary.
- 亚型:
IgG
- 形态:
Liquid
- 保存条件:
Store as concentrated solution. Centrifuge briefly prior to opening vial. For short-term storage (1-2 weeks), store at 4ºC. For long-term storage, aliquot and store at -20ºC or below. Avoid multiple freeze-thaw cycles.
- 克隆性:
Polyclonal
- 标记物:
Unconjugated
- 适应物种:
Human
- 保质期:
12 months from the shipping date of the product.
- 抗原来源:
Human
- 目录编号:
GTX108105
- 级别:
Primary Antibodies
- 库存:
Available
- 供应商:
GeneTex
- 宿主:
Rabbit
- 应用范围:
WB, ICC/IF, IHC-P
- 浓度:
1 mg/ml (Please refer to the vial label for the specific concentration.)
- 靶点:
Munc 13-4
- 抗体英文名:
Munc 13-4 antibody [C3], C-term
- 抗体名:
Munc 13-4 抗体 [C3], C-term
- 规格:
100 μl/25 μl
| 规格: | 100 μl | 产品价格: | ¥4000.0 |
|---|---|---|---|
| 规格: | 25 μl | 产品价格: | ¥1700.0 |
Sample (30 ug of whole cell lysate)
A: Jurkat
B: K562
5% SDS PAGE
GTX108105 diluted at 1:1000
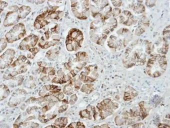
Immunohistochemical analysis of paraffin-embedded human stomach, using UNC13D(GTX108105) antibody at 1:100 dilution.
Antigen Retrieval: Trilogy™ (EDTA based, pH 8.0) buffer, 15min
Immunofluorescence analysis of methanol-fixed HeLa, using Munc 13-4(GTX108105) antibody at 1:500 dilution.
风险提示:丁香通仅作为第三方平台,为商家信息发布提供平台空间。用户咨询产品时请注意保护个人信息及财产安全,合理判断,谨慎选购商品,商家和用户对交易行为负责。对于医疗器械类产品,请先查证核实企业经营资质和医疗器械产品注册证情况。
文献和实验Bhat A et al., Hepatol Commun 2020 (PMID:31909355)
Antibody AP8442b DUSP12 C-term Antibody AP6807a MTMR7 C-term Antibody AP8465b PPP6C C-term Antibody AP8442a DUSP12 N-term Antibody AP6808a MTMR8 C-term Antibody AP8465a PPP6C N-term Antibody AP8443b DUSP13 C-term Antibody AP8409a PCPTP1 N
免疫荧光组织(细胞)化学技术系列七:现状与展望(附参考文献)
大的提高,使得定量更加准确。90年代又开展了荧光原位末端标记和荧光原位杂交技术,使得应用范围更广。虽然免疫组织化学技术有了很大的发展,如免疫金银法、免疫胶体金法、SP、Evision二步法和CSA法,但由于它有自己独特的优点:特异性强,定位准确、简便、快速、鲜明,在许多领域中仍占有不可取代的地位。如肾活检、皮肤活检中IgG、IgM、IgA、C3等检测,自身抗体的检测,传染病的快速诊断,单克隆抗体的筛选及鉴定等。随着科学技术地不断发展,免疫荧光组织化学技术已经广泛应用于生命科学的各个领域,放射出更加五彩
ELISPOT (Enzyme-linked ImmunoSPOT)
-5 88-7859 TRFK5 JES1-5A10 IL-6 88-7869 MQ2-13A5 MQ2-39C3 IL-10 88-7805 JES3-9D7 JES3-12G8 IL-12 p70 88
技术资料暂无技术资料 索取技术资料





![ATP6V0A2 antibody [N1N3]](https://img1.dxycdn.com/2023/0516/045/6925717576889828561-14.jpg!wh200)



![alpha Tubulin 8 antibody [3E10]](https://img1.dxycdn.com/2023/0711/451/6106825198874858761-14.jpg!wh200)

