相关产品推荐更多 >
万千商家帮你免费找货
0 人在求购买到急需产品
- 详细信息
- 文献和实验
- 技术资料
- 免疫原:
Carrier-protein conjugated synthetic peptide encompassing a sequence within the C-terminus region of human Coronin 1A. The exact sequence is proprietary.
- 亚型:
IgG
- 形态:
Liquid
- 保存条件:
Store as concentrated solution. Centrifuge briefly prior to opening vial. For short-term storage (1-2 weeks), store at 4ºC. For long-term storage, aliquot and store at -20ºC or below. Avoid multiple freeze-thaw cycles.
- 克隆性:
Polyclonal
- 标记物:
Unconjugated
- 适应物种:
Human, Mouse, Rat
- 保质期:
12 months from the shipping date of the product.
- 抗原来源:
Human
- 目录编号:
GTX106424
- 级别:
Primary Antibodies
- 库存:
Available
- 供应商:
GeneTex
- 宿主:
Rabbit
- 应用范围:
WB, ICC/IF, IHC-P, IHC-Fr
- 浓度:
1 mg/ml (Please refer to the vial label for the specific concentration.)
- 靶点:
Coronin 1A
- 抗体英文名:
Coronin 1A antibody [C3], C-term
- 抗体名:
Coronin 1A 抗体 [C3], C-term
- 规格:
100 μl/25 μl
| 规格: | 100 μl | 产品价格: | ¥4000.0 |
|---|---|---|---|
| 规格: | 25 μl | 产品价格: | ¥1700.0 |
Coronin 1A antibody [C3], C-term detects Coronin 1A protein at cytoplasm in mouse duodenum by immunohistochemical analysis.
Sample: Paraffin-embedded mouse duodenum.
Coronin 1A antibody [C3], C-term (GTX106424) diluted at 1:500.
Antigen Retrieval: Citrate buffer, pH 6.0, 15 min
Coronin 1A antibody [C3], C-term detects Coronin 1A protein at cytoplasm in rat brain by immunohistochemical analysis.
Sample: Paraffin-embedded rat brain.
Coronin 1A antibody [C3], C-term (GTX106424) diluted at 1:500.
Antigen Retrieval: Citrate buffer, pH 6.0, 15 min
Coronin 1A antibody [C3], C-term detects Coronin 1A protein at cytoplasm in rat intestine by immunohistochemical analysis.
Sample: Paraffin-embedded rat intestine.
Coronin 1A antibody [C3], C-term (GTX106424) diluted at 1:500.
Antigen Retrieval: Citrate buffer, pH 6.0, 15 min
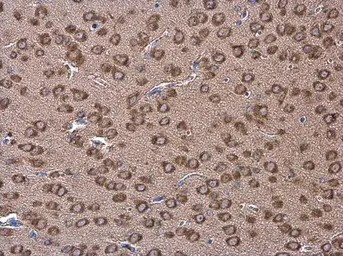
Coronin 1A antibody [C3], C-term detects Coronin 1A protein at cytoplasm in mouse brain by immunohistochemical analysis.
Sample: Paraffin-embedded mouse brain.
Coronin 1A antibody [C3], C-term (GTX106424) diluted at 1:500.
Antigen Retrieval: Citrate buffer, pH 6.0, 15 min
Immunohistochemical analysis of paraffin-embedded human gastric cancer, using Coronin 1A(GTX106424) antibody at 1:100 dilution.
Antigen Retrieval: Trilogy™ (EDTA based, pH 8.0) buffer, 15min
Coronin 1A antibody [C3], C-term detects Coronin 1A Protein expression by immunohistochemical analysis.
Sample: Frozen-sectioned adult mouse cerebellum.
Green: Coronin 1A stained by Coronin 1A antibody [C3], C-term (GTX106424) diluted at 1:250.
Red: NF-H, stained by NF-H antibody [GT114] (GTX634289) diluted at 1:500.
Blue: Fluoroshield with DAPI (GTX30920).
Antigen Retrieval: Citrate buffer, pH 6.0, 10 min
Coronin 1A antibody [C3], C-term detects Coronin 1A protein by immunofluorescent analysis.
Sample: DIV9 rat E18 primary cortical neuron cells were fixed in 4% PFA at RT for 15 min.
Green: Coronin 1A stained by Coronin 1A antibody [C3], C-term (GTX106424) diluted at 1:500.
Red: beta Tubulin 3/ Tuj1, stained by beta Tubulin 3/ Tuj1 antibody [GT1338] (GTX631831) diluted at 1:500.
Blue: Fluoroshield with DAPI (GTX30920).
Various whole cell extracts (30 μg) were separated by 10% SDS-PAGE, and the membrane was blotted with Coronin 1A antibody [C3], C-term (GTX106424) diluted at 1:1000.
风险提示:丁香通仅作为第三方平台,为商家信息发布提供平台空间。用户咨询产品时请注意保护个人信息及财产安全,合理判断,谨慎选购商品,商家和用户对交易行为负责。对于医疗器械类产品,请先查证核实企业经营资质和医疗器械产品注册证情况。
文献和实验a PTPBAS C-term Antibody AP8446b DUSP16 C-term Antibody AP8466b PPEF2 C-term Antibody AP8413a PTPbeta C-term Antibody AP8446a DUSP16 N-term Antibody AP8454b PPM1A C-term Antibody AP8424a PTPD1 Center Antibody AP8434b DUSP3 C-term Antibody
ELISPOT (Enzyme-linked ImmunoSPOT)
of cytokine-producing cells at the single cell level. The method employs the sandwich assay approach of the enzyme-linked immunosorbent assay (ELISA), with some variations. The ELISPOT capture antibody is coated aseptically onto a polyvinylidene difluoride
【申请上传】Current Protocols in Immunology
Surgical Procedures Unit 1.9 Removal of Lymphoid Organs Unit 1.10 Survival Surgery: Removal of the Spleen or Thymus Unit 1.11 Surgical Removal of Mouse Salivary Glands Chapter 2 Induction of Immune Responses Introduction Section I Assays for Antibody
技术资料暂无技术资料 索取技术资料







![TAS1R1 antibody [C3], C-term](https://img1.dxycdn.com/2023/0516/895/8887749495766728561-14.jpg!wh200)
![DAP Kinase 2 antibody [C3], C-term](https://custom.dxycdn.com/trademd/upload/pic/2011/12/20/1324016002.jpg!small.t.1)

