相关产品推荐更多 >
万千商家帮你免费找货
0 人在求购买到急需产品
- 详细信息
- 文献和实验
- 技术资料
- 免疫原:
Recombinant protein encompassing a sequence within the center region of human Creatine kinase MT. The exact sequence is proprietary.
- 亚型:
IgG
- 形态:
Liquid
- 保存条件:
Store as concentrated solution. Centrifuge briefly prior to opening vial. For short-term storage (1-2 weeks), store at 4ºC. For long-term storage, aliquot and store at -20ºC or below. Avoid multiple freeze-thaw cycles.
- 克隆性:
Polyclonal
- 标记物:
Unconjugated
- 适应物种:
Human, Zebrafish
- 保质期:
12 months from the shipping date of the product.
- 抗原来源:
Human
- 目录编号:
GTX103627
- 级别:
Primary Antibodies
- 库存:
Available
- 供应商:
GeneTex
- 宿主:
Rabbit
- 应用范围:
WB, IHC-P, IHC-Wm
- 浓度:
1 mg/ml (Please refer to the vial label for the specific concentration.)
- 靶点:
Creatine kinase MT
- 抗体英文名:
Creatine kinase MT antibody
- 抗体名:
Creatine kinase MT 抗体
- 规格:
100 μl/25 μl
| 规格: | 100 μl | 产品价格: | ¥4000.0 |
|---|---|---|---|
| 规格: | 25 μl | 产品价格: | ¥1700.0 |
Creatine kinase MT antibody detects Creatine kinase MT protein on zebrafish by whole mount immunohistochemical analysis.
Sample: 1 day-post-fertilization zebrafish embryo.
Creatine kinase MT antibody (GTX103627) dilution: 1:100.
Sample(30 ug whole cell lysate)
A:H1299
B:HeLa S3(GTX14654)
10% SDS PAGE
GTX103627 diluted at 1:1000
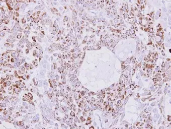
Immunohistochemical analysis of paraffin-embedded A549 xenograft, using Creatine kinase 1B(GTX103627) antibody at 1:300 dilution.
Antigen Retrieval: Trilogy™ (EDTA based, pH 8.0) buffer, 15min
风险提示:丁香通仅作为第三方平台,为商家信息发布提供平台空间。用户咨询产品时请注意保护个人信息及财产安全,合理判断,谨慎选购商品,商家和用户对交易行为负责。对于医疗器械类产品,请先查证核实企业经营资质和医疗器械产品注册证情况。
文献和实验亦称为 ATP磷酸肌酸转移酶。是一种催化将磷酸肌酸的高能磷酸基转移到 ADP上反应的酶, EC2. 7. 3. 2。 磷酸肌酸 ADP肌酸 ATP △ G° =-3.0千卡 该反应在细胞内条件下,有生成 ATP的倾向。因为它是对生物体内能量系统起着重要作用的酶,所以在生物体内各组织中均存在,特别是肌肉中最多。肌肉中的酶已制得结晶(分子量约 8万)。在无脊椎动物中,多代之以精氨酸激酶。于 1934年为 K. Loh- mann发现,故称
Serum Creatine Kinase in Progressive Muscular Dystrophies
Several enzymes originating in muscle show increased activity in the serum of patients affected with different forms of muscular dystrophy (MD). These enzymes include creatine kinase (CK), aldolase, transaminase, and pyruvate kinase (PK
Antibody Techniques Used in the Study of Anaplastic Lymphoma Kinase-Positive ALCL
of leukemia and lymphoma pathology. The use of antibodies specific for anaplastic lymphoma kinase (ALK) protein has permitted the identification of the tumor entity ALK-positive from the poorly defined morphological category of anaplastic large cell lymphoma
技术资料暂无技术资料 索取技术资料





![alpha Actinin 4 antibody [N1N2], N-term](https://img1.dxycdn.com/2023/0516/045/6925717576889828561-14.jpg!wh200)
![Glutathione antibody [D8]](https://img1.dxycdn.com/2023/0711/451/6106825198874858761-14.jpg!wh200)
![NCKAP1 antibody [N1N2], N-term](https://img1.dxycdn.com/2023/0516/050/2572066211091928561-14.jpg!wh200)


