相关产品推荐更多 >
万千商家帮你免费找货
0 人在求购买到急需产品
- 详细信息
- 文献和实验
- 技术资料
- 免疫原:
Recombinant protein encompassing a sequence within the center region of human RPA32. The exact sequence is proprietary.
- 亚型:
IgG
- 形态:
Liquid
- 保存条件:
Store as concentrated solution. Centrifuge briefly prior to opening vial. For short-term storage (1-2 weeks), store at 4ºC. For long-term storage, aliquot and store at -20ºC or below. Avoid multiple freeze-thaw cycles.
- 克隆性:
Polyclonal
- 标记物:
Unconjugated
- 适应物种:
Human, Chicken
- 保质期:
12 months from the shipping date of the product.
- 抗原来源:
Human
- 目录编号:
GTX101765
- 级别:
Primary Antibodies
- 库存:
Available
- 供应商:
GeneTex
- 宿主:
Rabbit
- 应用范围:
WB, ICC/IF, IHC-P
- 浓度:
2 mg/ml (Please refer to the vial label for the specific concentration.)
- 靶点:
RPA32
- 抗体英文名:
RPA32 antibody [N1C3]
- 抗体名:
RPA32 抗体 [N1C3]
- 规格:
100 μl/25 μl
| 规格: | 100 μl | 产品价格: | ¥4000.0 |
|---|---|---|---|
| 规格: | 25 μl | 产品价格: | ¥1700.0 |
Sample (30 ug of whole cell lysate)
A: Molt-4 (GTX27912)
12% SDS PAGE
GTX101765 diluted at 1:1000
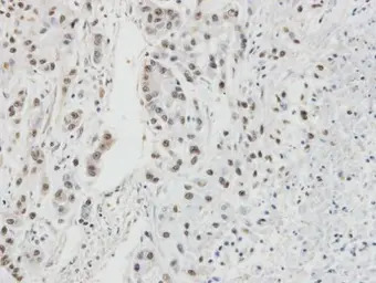
Immunohistochemical analysis of paraffin-embedded A549 xenograft, using RPA32/RPA2(GTX101765) antibody at 1:100 dilution.
Antigen Retrieval: Trilogy™ (EDTA based, pH 8.0) buffer, 15min
风险提示:丁香通仅作为第三方平台,为商家信息发布提供平台空间。用户咨询产品时请注意保护个人信息及财产安全,合理判断,谨慎选购商品,商家和用户对交易行为负责。对于医疗器械类产品,请先查证核实企业经营资质和医疗器械产品注册证情况。
文献和实验Nakamura K et al., PLoS Genet 2010 (PMID:20107609)
人 白细胞介素 - 32( IL- 32) 酶联免疫 分析( ELISA ) 试剂 盒使用说明书 本试剂仅供研究使用 目的:本试剂盒用于测定人血清,血浆及相关液体样本中 白细胞介素32(IL-32)的 含量。 实验原理 : 本试剂盒应用 双抗体 夹心法测定 标本 中 人白细胞介素 - 32( IL- 32) 水平。用纯化的 人白细胞介素 - 32( IL- 32)抗体 包被微孔板,制成固相 抗 体,往包被 单抗
人白细胞介素32γ(IL-32γ)酶联免疫分析(ELISA)
后从第九第十孔中各取 50 μ l弃掉。(稀释后各孔加样量都为 50 μ l,浓度分别为 48n g/L ,32n g/L ,16n g/L ,8n g/L ,4n g/L)。 2. 加样:分别设空白孔(空白对照孔不加样品及酶标试剂,其余各步操作相同)、 待测样品孔 。在酶标包被板上待测样品孔中先加样品稀释液40 μ l,然后再加待测样品 10 μ l(样品最终稀释度为 5 倍)。 加样将样品加于酶标板孔底部,尽量不触及孔壁, 轻轻 晃动 混匀 。 3.
In the field of therapeutic recombinant proteins, monoclonal antibodies (mAbs) have achieved a rising success with more than 30 mAbs that have reached the market in the past 20 years. From a structural standpoint, one of the most important
技术资料暂无技术资料 索取技术资料








![METTL3 antibody [N2C2], Internal](https://img1.dxycdn.com/2023/0516/895/8887749495766728561-14.jpg!wh200)

