相关产品推荐更多 >
万千商家帮你免费找货
0 人在求购买到急需产品
- 详细信息
- 文献和实验
- 技术资料
- 免疫原:
Recombinant protein encompassing a sequence within the C-terminus region of human A-RAF. The exact sequence is proprietary.
- 亚型:
IgG
- 形态:
Liquid
- 保存条件:
Store as concentrated solution. Centrifuge briefly prior to opening vial. For short-term storage (1-2 weeks), store at 4ºC. For long-term storage, aliquot and store at -20ºC or below. Avoid multiple freeze-thaw cycles.
- 克隆性:
Polyclonal
- 标记物:
Unconjugated
- 适应物种:
Human, Mouse
- 保质期:
12 months from the shipping date of the product.
- 抗原来源:
Human
- 目录编号:
GTX101427
- 级别:
Primary Antibodies
- 库存:
Available
- 供应商:
GeneTex
- 宿主:
Rabbit
- 应用范围:
WB, ICC/IF, IHC-P
- 浓度:
0.85 mg/ml (Please refer to the vial label for the specific concentration.)
- 靶点:
A-RAF
- 抗体英文名:
A-RAF antibody [C1C3]
- 抗体名:
A-RAF 抗体 [C1C3]
- 规格:
100 μl/25 μl
| 规格: | 100 μl | 产品价格: | ¥4000.0 |
|---|---|---|---|
| 规格: | 25 μl | 产品价格: | ¥1700.0 |
Sample (30 ug of whole cell lysate)
A: Hela
7.5% SDS PAGE
GTX101427 diluted at 1:1000
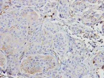
Immunohistochemical analysis of paraffin-embedded Cal27 xenograft, using ARAF(GTX101427) antibody at 1:500 dilution.
Antigen Retrieval: Trilogy™ (EDTA based, pH 8.0) buffer, 15min
Immunofluorescence analysis of PFA-fixed A431, using ARAF(GTX101427) antibody at 1:200 dilution.
Sample (30 ug of whole cell lysate)
A:NIH-3T3
7.5% SDS PAGE
GTX101427 diluted at 1:1000
风险提示:丁香通仅作为第三方平台,为商家信息发布提供平台空间。用户咨询产品时请注意保护个人信息及财产安全,合理判断,谨慎选购商品,商家和用户对交易行为负责。对于医疗器械类产品,请先查证核实企业经营资质和医疗器械产品注册证情况。
文献和实验Raf 蛋白 Ras 结合结构域的简并进化库合成以及利用片段互补法快速筛选二氢叶酸还原酶的快速折叠且稳定的克隆
。 亮氨酸拉链例子的结果使我们相信 DHFR PCA 可以用于解决更具挑战性的问题。在此例中,仅仅改变了几个关键氨基酸的位置,而且只有 2〜4 个氨基酸可以被替换。基于之前的理论研究 [38],我们试图严格并全面的测定使 Ser/Thr 蛋白激酶 raf 的 ras 结合结构域(RBD) 正确折叠的序列决定因素同之前发表噬菌体展示策略类似,我们所用方法的目标是鉴定出蛋白质折叠和稳定所必需的序列 [40]。其原理是:如果一个给定的 RBD 变体可以快速正确的折叠并足够稳定,那么它应该可以与 ras 相互
Detection of RTK Pathway Activation in Drosophila Using Anti-dpERK Immunofluorescence Staining
). Activation of RTKs by their extracellular ligands triggers a signal transduction cascade, mediated by the Ras/Raf/MEK cassette, which ultimately leads to dual phosphorylation and activation of the mitogen-activated protein kinase/extracellularly regulated
Introduction of human 14-3-3 proteins
which was found recently to be a major protein-tyrosine kinase (PTK)substrate,and to interact with several signaling molecules including PI3-K,in T lymphocytes.The association between 14-3-3tau and Cbl was detected both in vitro and in intact T cells and,in contrast to Raf
技术资料暂无技术资料 索取技术资料





![Varicella Zoster Virus Nucleocapsid 155 kDa antibody [0371]](https://custom.dxycdn.com/trademd/upload/pic/2011/12/14/1323695851.jpg!small.t.1)
![IL12 Receptor beta2 antibody [N3C2], Internal](https://img1.dxycdn.com/2023/0711/255/2344116916935858761-14.jpg!wh200)

