相关产品推荐更多 >
万千商家帮你免费找货
0 人在求购买到急需产品
- 详细信息
- 文献和实验
- 技术资料
- 免疫原:
Recombinant protein encompassing a sequence within the center region of human HMW Kininogen. The exact sequence is proprietary.
- 亚型:
IgG
- 形态:
Liquid
- 保存条件:
Store as concentrated solution. Centrifuge briefly prior to opening vial. For short-term storage (1-2 weeks), store at 4ºC. For long-term storage, aliquot and store at -20ºC or below. Avoid multiple freeze-thaw cycles.
- 克隆性:
Polyclonal
- 标记物:
Unconjugated
- 适应物种:
Human
- 保质期:
12 months from the shipping date of the product.
- 抗原来源:
Human
- 目录编号:
GTX100833
- 级别:
Primary Antibodies
- 库存:
Available
- 供应商:
GeneTex
- 宿主:
Rabbit
- 应用范围:
WB, ICC/IF, IHC-P
- 浓度:
1 mg/ml (Please refer to the vial label for the specific concentration.)
- 靶点:
HMW Kininogen
- 抗体英文名:
HMW Kininogen antibody
- 抗体名:
HMW Kininogen 抗体
- 规格:
100 μl/25 μl
| 规格: | 100 μl | 产品价格: | ¥4000.0 |
|---|---|---|---|
| 规格: | 25 μl | 产品价格: | ¥1700.0 |
Sample (30 μg of whole cell lysate)
A: Molt-4 (GTX27912)
10% SDS PAGE
GTX100833 diluted at 1:1000
The HRP-conjugated anti-rabbit IgG antibody (GTX213110-01) was used to detect the primary antibody.
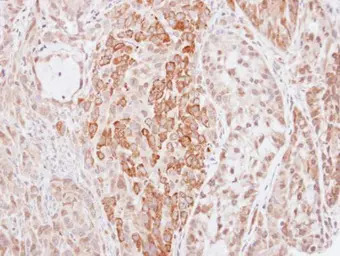
Immunohistochemical analysis of paraffin-embedded A549 xenograft, using Kininogen 1(GTX100833) antibody at 1:500 dilution.
Antigen Retrieval: Citrate buffer, pH 6.0, 15 min
Immunofluorescence analysis of PFA-fixed HeLa, using Kininogen-1(GTX100833) antibody at 1:200 dilution.
风险提示:丁香通仅作为第三方平台,为商家信息发布提供平台空间。用户咨询产品时请注意保护个人信息及财产安全,合理判断,谨慎选购商品,商家和用户对交易行为负责。对于医疗器械类产品,请先查证核实企业经营资质和医疗器械产品注册证情况。
文献和实验Droll SH et al., Rapid Commun Mass Spectrom 2019 (PMID:31412146)
通过转基因改良谷物种子蛋白质成分的研究。例如,通过基因操作可以改变小麦中高分子质量(HMW) 的谷蛋白亚基的组成,而并不影响小麦农艺性状 [ 42 ] 。最近研究发现,高水平表达高分子质量亚基1D x 5 和/或 1Dy10 的转基因小麦,其面团具有较髙的搅拌强度和韧性 [ 43 ] 。一项相关研究表明,两份分别含有约 20 个和 50 个 HMW 谷蛋白单基因拷贝及其启动子的转基因小麦株系中,检测到了相关的染色质解凝过程[ 44 ] 。在反义抑制硫氧还蛋白积累的转基因株系中,已检测到谷蛋白的降解
血清中缓激肽和去Arg-缓激肽的水平均升高,而膀胱癌患者中却是降低的(见图5)。各种多肽的羟基化形式(42)prohydroxylated forms 也呈类似趋势(结果未显示)。缓激肽及FPA的来源,蛋白纤维蛋白素原?和HMW-激肽原,各自形成一种序列簇,成为癌症的特征性多肽,其位置与前体序列不同(见图5,图7和补充表3、4)。有趣的是,缓激肽与其他激肽原来源的多肽具有相反的标记特性。例如,膀胱癌中缓激肽和去Arg-缓激肽的离子强度较正常组降低,而其他肽段(如1944 和 2209)则相对升高
技术资料暂无技术资料 索取技术资料










