相关产品推荐更多 >
万千商家帮你免费找货
0 人在求购买到急需产品
- 详细信息
- 文献和实验
- 技术资料
- 免疫原:
Carrier-protein conjugated synthetic peptide encompassing a sequence within the N-terminus region of human C/EBP beta. The exact sequence is proprietary.
- 亚型:
IgG
- 形态:
Liquid
- 保存条件:
Store as concentrated solution. Centrifuge briefly prior to opening vial. For short-term storage (1-2 weeks), store at 4ºC. For long-term storage, aliquot and store at -20ºC or below. Avoid multiple freeze-thaw cycles.
- 克隆性:
Polyclonal
- 标记物:
Unconjugated
- 适应物种:
Human
- 保质期:
12 months from the shipping date of the product.
- 抗原来源:
Human
- 目录编号:
GTX100675
- 级别:
Primary Antibodies
- 库存:
Available
- 供应商:
GeneTex
- 宿主:
Rabbit
- 应用范围:
WB, ICC/IF, IHC-P, IP, ChIP assay, IHC
- 浓度:
0.89 mg/ml (Please refer to the vial label for the specific concentration.)
- 靶点:
C/EBP beta
- 抗体英文名:
C/EBP beta antibody
- 抗体名:
C/EBP beta 抗体
- 规格:
100 μl/25 μl
| 规格: | 100 μl | 产品价格: | ¥4000.0 |
|---|---|---|---|
| 规格: | 25 μl | 产品价格: | ¥1700.0 |
C/EBP beta antibody detects C/EBP beta protein at cytoplasm and nucleus by immunofluorescent analysis.
Sample: HeLa cells were fixed in 4% PFA at RT for 15 min.
Green: C/EBP beta stained by C/EBP beta antibody (GTX100675) diluted at 1:500.
Red: alpha Tubulin, a cytoskeleton marker, stained by alpha Tubulin antibody [GT114] (GTX628802) diluted at 1:1000.
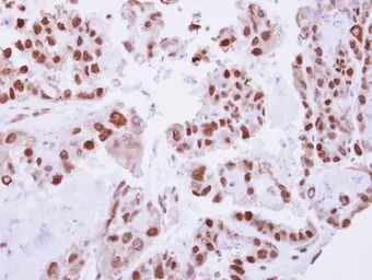
Immunohistochemical analysis of paraffin-embedded human ovarian cancer, using C/EBP beta(GTX100675) antibody at 1:250 dilution.
Antigen Retrieval: Trilogy™ (EDTA based, pH 8.0) buffer, 15min
Various whole cell extracts (30 μg) were separated by 10% SDS-PAGE, and the membrane was blotted with C/EBP beta antibody (GTX100675) diluted at 1:500. The HRP-conjugated anti-rabbit IgG antibody (GTX213110-01) was used to detect the primary antibody.
Cross-linked ChIP was performed with Raji chromatin extract and 5 μg of either control rabbit IgG or anti-C/EBP beta antibody. The precipitated DNA was detected by PCR with primer set targeting to CR2pD.
Immunoprecipitation of CEBPB protein from HeLa nuclear extracts using 5 μg of C/EBP beta antibody (GTX100675).
Western blot analysis was performed using C/EBP beta antibody (GTX100675) diluted at 1:500.
EasyBlot anti-Rabbit IgG (GTX221666-01) was used as a secondary reagent.
风险提示:丁香通仅作为第三方平台,为商家信息发布提供平台空间。用户咨询产品时请注意保护个人信息及财产安全,合理判断,谨慎选购商品,商家和用户对交易行为负责。对于医疗器械类产品,请先查证核实企业经营资质和医疗器械产品注册证情况。
文献和实验Du L et al., Front Immunol 2021 (PMID:33995374)
Bastola S et al., Nat Commun 2020 (PMID:32938908)
Lin CK et al., Sci Rep 2018 (PMID:29875371)
Chen Y et al., PLoS One 2015 (PMID:26046540)
Enomoto A et al., Eur J Cancer 2013 (PMID:23886587)
Hartl L et al., Int J Mol Sci 2023 (PMID:36675048)
Zhao H et al., Cell Rep 2022 (PMID:35081358)
Anticardiolipin Antibody and Anti-beta 2 Glycoprotein I Antibody Assays
) antibodies and anti-beta 2 glycoprotein I (β2-GPI) antibodies. Other autoantibodies, such as those directed against anionic phospholipids, can also be assayed; however they are not of clinical significance. Participation in a quality assurance
真爱满行囊 我最近在体外细胞做的关于gsk3-beta功能问题,发现药物处理以后,gsk-3-beta的总表达量下调,如果是这样的话 1、我是否能够得出gsk-3-beta的活性下调的结论? 2、是否还有必要做非活性形式的表达量?我的理解是,基础状态下,gsk-3beta维持的是低活性状态,如果总量都下调了,那应该能够得出活性降低的结论了吧? 3、另外,在这种情况下我是否有必要去做gsk-3-beta的216位点的活性形式的表达
debris. 13. Measure OD420 and OD550. 14. Calculate Units using the following formula: U= 1000 x [(OD420)-(1.75 x OD550)] / [(Time) x (Vol) x OD600] Where Vol is volume of culture used in assay in mls, and Time is minutes at 30 deg C
技术资料暂无技术资料 索取技术资料







![CD105 antibody [N1N3-2]](https://img1.dxycdn.com/2023/0711/255/2344116916935858761-14.jpg!wh200)

