相关产品推荐更多 >
万千商家帮你免费找货
0 人在求购买到急需产品
- 详细信息
- 文献和实验
- 技术资料
- 免疫原:
Recombinant protein encompassing a sequence within the center region of human Mig-6. The exact sequence is proprietary.
- 亚型:
IgG
- 形态:
Liquid
- 保存条件:
Store as concentrated solution. Centrifuge briefly prior to opening vial. For short-term storage (1-2 weeks), store at 4ºC. For long-term storage, aliquot and store at -20ºC or below. Avoid multiple freeze-thaw cycles.
- 克隆性:
Polyclonal
- 标记物:
Unconjugated
- 适应物种:
Human, Mouse
- 保质期:
12 months from the shipping date of the product.
- 抗原来源:
Human
- 目录编号:
GTX118238
- 级别:
Primary Antibodies
- 库存:
Available
- 供应商:
GeneTex
- 宿主:
Rabbit
- 应用范围:
WB, IHC-P
- 浓度:
0.29 mg/ml (Please refer to the vial label for the specific concentration.)
- 靶点:
Mig-6
- 抗体英文名:
Mig-6 antibody [N1C1]
- 抗体名:
Mig-6 抗体 [N1C1]
- 规格:
100 μl/25 μl
| 规格: | 100 μl | 产品价格: | ¥4000.0 |
|---|---|---|---|
| 规格: | 25 μl | 产品价格: | ¥1700.0 |
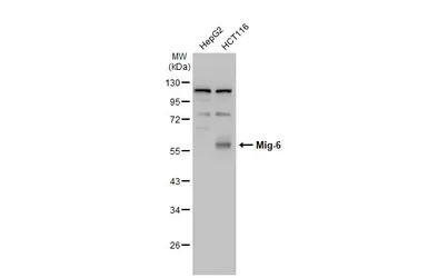
Various whole cell extracts (30 μg) were separated by 10% SDS-PAGE, and the membrane was blotted with Mig-6 antibody [N1C1] (GTX118238) diluted at 1:1000. The HRP-conjugated anti-rabbit IgG antibody (GTX213110-01) was used to detect the primary antibody.
Mig-6 antibody [N1C1] detects Mig-6 protein at cytoplasm in mouse placenta by immunohistochemical analysis.
Sample: Paraffin-embedded mouse placenta.
Mig-6 antibody [N1C1] (GTX118238) diluted at 1:500.
Antigen Retrieval: Citrate buffer, pH 6.0, 15 min
风险提示:丁香通仅作为第三方平台,为商家信息发布提供平台空间。用户咨询产品时请注意保护个人信息及财产安全,合理判断,谨慎选购商品,商家和用户对交易行为负责。对于医疗器械类产品,请先查证核实企业经营资质和医疗器械产品注册证情况。
文献和实验Yu Y et al., Cancer Sci 2020 (PMID:32378752)
抗体的基本概念 抗体(antibody, Ab): 机体免疫细胞被抗原激活后,由分化成熟的终末B细胞---浆细胞合成、分泌的一类能与相应抗原特异性结合的具有免疫功能的蛋白(存在于球蛋白的组分中/g-球蛋白)。 免疫球蛋白(immunoglobulin, Ig): 具有抗体活性或化学结构与抗体分子相似的球蛋白。 免疫球蛋白的存在形式: 膜型(membrane immunoglobulin, mIg)-- B细胞膜上的抗原受体(B
cell) 成熟B细胞被相应抗原或多克隆刺激剂刺激后成为活化B细胞,断而发生增殖和分化,在此过程中,膜结合Ig水平逐渐降低,而分泌型Ig逐渐增加,并可发生免疫球蛋白基因重链类别的转换。活化B细胞中的一部分可分化为小淋巴细胞,停止增殖和分化,并可存活数月至数年,当再次与同一抗原接触时,很快发生活化和分化,产生抗体的潜伏期短,抗体水平高,维持时间长,这种B细胞称为记忆B细胞(memory B cell)。 5.浆细胞(plasma cell,PC) 又称抗体分泌细胞(antibody
与同一抗原接触时,很快发生活化和分化,产生抗体的潜伏期短,抗体水平高,维持时间长,这种B细胞称为记忆B细胞(memory B cell)。 5.浆细胞(plasma cell,PC) 又称抗体分泌细胞(antibody secreting cell)。成熟B细胞接受抗原刺激后,在抗原提呈细胞和Th细胞的辅助下成为活化B细胞,进而分化为浆细胞,合成和分泌各类免疫球蛋白,同时获得了PC-1(plasma cell antigen-1)等浆细胞特异性标志,而mIg,MHCⅡ类抗原、CD19、CD
技术资料暂无技术资料 索取技术资料








![TCR gamma + delta antibody [GL3] (FITC)](https://img1.dxycdn.com/2023/0711/451/6106825198874858761-14.jpg!wh200)

