相关产品推荐更多 >
万千商家帮你免费找货
0 人在求购买到急需产品
- 详细信息
- 文献和实验
- 技术资料
- 免疫原:
Recombinant protein encompassing a sequence within the center region of human Serine palmitoyltransferase 2. The exact sequence is proprietary.
- 亚型:
IgG
- 形态:
Liquid
- 保存条件:
Store as concentrated solution. Centrifuge briefly prior to opening vial. For short-term storage (1-2 weeks), store at 4ºC. For long-term storage, aliquot and store at -20ºC or below. Avoid multiple freeze-thaw cycles.
- 克隆性:
Polyclonal
- 标记物:
Unconjugated
- 适应物种:
Human, Mouse
- 保质期:
12 months from the shipping date of the product.
- 抗原来源:
Human
- 目录编号:
GTX118192
- 级别:
Primary Antibodies
- 库存:
Available
- 供应商:
GeneTex
- 宿主:
Rabbit
- 应用范围:
WB, IHC-P
- 浓度:
0.41 mg/ml (Please refer to the vial label for the specific concentration.)
- 靶点:
Serine palmitoyltransferase 2
- 抗体英文名:
Serine palmitoyltransferase 2 antibody [N1N3]
- 抗体名:
Serine palmitoyltransferase 2 抗体 [N1N3]
- 规格:
100 μl/25 μl
| 规格: | 100 μl | 产品价格: | ¥4000.0 |
|---|---|---|---|
| 规格: | 25 μl | 产品价格: | ¥1700.0 |
Sample (30 ug of whole cell lysate)
A: IMR32
7.5% SDS PAGE
GTX118192 diluted at 1:1000
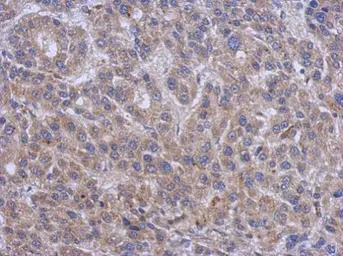
Immunohistochemical analysis of paraffin-embedded human hepatoma, using Serine palmitoyltransferase 2(GTX118192) antibody at 1:500 dilution.
Antigen Retrieval: Trilogy™ (EDTA based, pH 8.0) buffer, 15min
Sample (50 ug of whole cell lysate)
A: mouse liver
7.5% SDS PAGE
GTX118192 diluted at 1:500
风险提示:丁香通仅作为第三方平台,为商家信息发布提供平台空间。用户咨询产品时请注意保护个人信息及财产安全,合理判断,谨慎选购商品,商家和用户对交易行为负责。对于医疗器械类产品,请先查证核实企业经营资质和医疗器械产品注册证情况。
文献和实验Kato M et al., Cosmetics 2017;4(3)
secondary antibody review -- data from 99 publications
cytometry used as a control to detect cell responses targeted antigen 7 Alexa Fluor 488 7 Cy3 8 goat IgG Alexa Fluor 488 1:2000 detect antibody binding in human embryonic kidney 293T cells Invitrogen 9 donkey
【资源】全面归类网址:毕赤酵母表达各种来源蛋白(细菌,真菌,植物,人类等)
euphauseraseS, 500 μg/L, α-MF, active358Leech hirudin-albumin fusion proteinS, 15 mg/L, α-MF, active475Lumbricus rubellus serine proteaseS, α-MF, active474Nematode anticoagulant protein c2Active367Nematode elastase inhibitorsS, active390Nippostrongylus
. 1. Introduction Glycogen synthase kinase (GSK)-3 is a serine/threonine proteinkinase which was first described as a component of insulin-mediatedsignaling pathway (1) . There are two homologous mammalianisoforms, encoded by different genes, GSK-3a and GSK
技术资料暂无技术资料 索取技术资料






![CD63 antibody [MEM-259]](https://img1.dxycdn.com/2023/0711/451/6106825198874858761-14.jpg!wh200)


