相关产品推荐更多 >
万千商家帮你免费找货
0 人在求购买到急需产品
- 详细信息
- 文献和实验
- 技术资料
- 免疫原:
Recombinant protein encompassing a sequence within the center region of human Macro H2A.2. The exact sequence is proprietary.
- 亚型:
IgG
- 形态:
Liquid
- 保存条件:
Store as concentrated solution. Centrifuge briefly prior to opening vial. For short-term storage (1-2 weeks), store at 4ºC. For long-term storage, aliquot and store at -20ºC or below. Avoid multiple freeze-thaw cycles.
- 克隆性:
Polyclonal
- 标记物:
Unconjugated
- 适应物种:
Human, Mouse
- 保质期:
12 months from the shipping date of the product.
- 抗原来源:
Human
- 目录编号:
GTX116234
- 级别:
Primary Antibodies
- 库存:
Available
- 供应商:
GeneTex
- 宿主:
Rabbit
- 应用范围:
WB, ICC/IF, IHC-P
- 浓度:
1 mg/ml (Please refer to the vial label for the specific concentration.)
- 靶点:
Macro H2A.2
- 抗体英文名:
Macro H2A.2 antibody [N3C3]
- 抗体名:
Macro H2A.2 抗体 [N3C3]
- 规格:
100 μl/25 μl
| 规格: | 100 μl | 产品价格: | ¥4000.0 |
|---|---|---|---|
| 规格: | 25 μl | 产品价格: | ¥1700.0 |
Macro H2A.2 antibody detects Macro H2A.2 protein by Western blot analysis.
A. 30 μg 293T whole cell lysate/extract
B. 30 μg whole cell lysate/extract of human H2AFY2-transfected 293T cells
10 % SDS-PAGE
Macro H2A.2 antibody (GTX116234) dilution: 1:1000
Macro H2A.2 antibody [N3C3] detects Macro H2A.2 protein at nucleus in mouse brain by immunohistochemical analysis.
Sample: Paraffin-embedded mouse brain.
Macro H2A.2 antibody [N3C3] (GTX116234) diluted at 1:500.
Antigen Retrieval: Citrate buffer, pH 6.0, 15 min
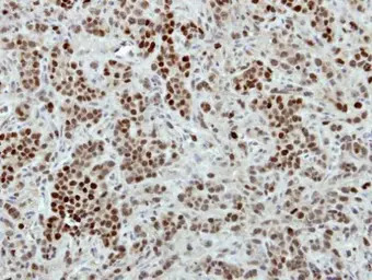
Immunohistochemical analysis of paraffin-embedded TOV-21G xenograft, using Macro H2A.2(GTX116234) antibody at 1:100 dilution.
Antigen Retrieval: Citrate buffer, pH 6.0, 15 min
Sample (50 ug of whole cell lysate)
A: mouse brain
10% SDS PAGE
GTX116234 diluted at 1:1000
Immunofluorescence analysis of PFA-fixed A431, using Macro H2A.2(GTX116234) antibody at 1:500 dilution.
风险提示:丁香通仅作为第三方平台,为商家信息发布提供平台空间。用户咨询产品时请注意保护个人信息及财产安全,合理判断,谨慎选购商品,商家和用户对交易行为负责。对于医疗器械类产品,请先查证核实企业经营资质和医疗器械产品注册证情况。
文献和实验In the field of therapeutic recombinant proteins, monoclonal antibodies (mAbs) have achieved a rising success with more than 30 mAbs that have reached the market in the past 20 years. From a structural standpoint, one of the most important
Materials 0.1M NaHC03 pH9 DMSO NHS-Biotin (N-Hydroxysuccinimidobiotin, Sigma #H-1759) PBS Procedure Dialyze the sample against carbonate buffer. After dialysis, adjust
to 1 liter with Qcheck to make sure pH is 3.0(2) Affigel Blue Running Buffer10 mM K2HPO4 2.28 g K2HPO40.15 M NaCl 8.2 g NaCl0.02% azide 0.2 g Na azideup to 1 liter with Q(3) 1.4 M NaCl8.1 g NaClup to 100 ml with Q(4) Saturated NH4SO4767 g NH4SO4add 1 liter Q
技术资料暂无技术资料 索取技术资料






![Apc10 antibody [N1C3]](https://img1.dxycdn.com/2023/0516/050/2572066211091928561-14.jpg!wh200)


