相关产品推荐更多 >
万千商家帮你免费找货
0 人在求购买到急需产品
- 详细信息
- 文献和实验
- 技术资料
- 免疫原:
Recombinant protein encompassing a sequence within the center region of human hnRNP F. The exact sequence is proprietary.
- 亚型:
IgG
- 形态:
Liquid
- 保存条件:
Store as concentrated solution. Centrifuge briefly prior to opening vial. For short-term storage (1-2 weeks), store at 4ºC. For long-term storage, aliquot and store at -20ºC or below. Avoid multiple freeze-thaw cycles.
- 克隆性:
Polyclonal
- 标记物:
Unconjugated
- 适应物种:
Human, Mouse
- 保质期:
12 months from the shipping date of the product.
- 抗原来源:
Human
- 目录编号:
GTX114476
- 级别:
Primary Antibodies
- 库存:
Available
- 供应商:
GeneTex
- 宿主:
Rabbit
- 应用范围:
WB, ICC/IF, IHC-P, IP
- 浓度:
1.45 mg/ml (Please refer to the vial label for the specific concentration.)
- 靶点:
Knockdown/Knockout validation was supported by references (PMID:26990993)
- 抗体英文名:
hnRNP F antibody [N1N3]
- 抗体名:
hnRNP F 抗体 [N1N3]
- 规格:
100 μl/25 μl
| 规格: | 100 μl | 产品价格: | ¥4000.0 |
|---|---|---|---|
| 规格: | 25 μl | 产品价格: | ¥1700.0 |
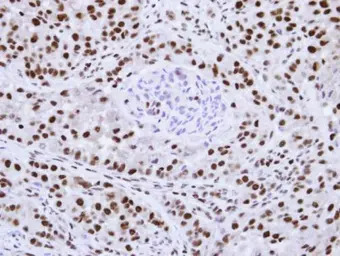
hnRNP F antibody [N1N3] detects hnRNP F protein at nucleus on mouse uterus by immunohistochemical analysis.
Sample: Paraffin-embedded mouse uterus.
hnRNP F antibody [N1N3] (GTX114476) diluted at 1:500.
Antigen Retrieval: Trilogy™ (EDTA based, pH 8.0) buffer, 15min
Immunohistochemical analysis of paraffin-embedded A549 Xenograft , using hnRNP F (GTX114476) antibody at 1:100 dilution.
Antigen Retrieval: Trilogy™ (EDTA based, pH 8.0) buffer, 15min
Immunofluorescence analysis of PFA-fixed A431, using hnRNP F (GTX114476) antibody at 1:200 dilution.
Immunoprecipitation of hnRNP F protein from 293T whole cell extracts using 5 μg of hnRNP F antibody [N1N3] (GTX114476).
Western blot analysis was performed using hnRNP F antibody [N1N3] (GTX114476).
EasyBlot anti-Rabbit IgG (GTX221666-01) was used as a secondary reagent.
Whole cell extract (30 μg) was separated by 10% SDS-PAGE, and the membrane was blotted with hnRNP F antibody [N1N3] (GTX114476) diluted at 1:1000. The HRP-conjugated anti-rabbit IgG antibody (GTX213110-01) was used to detect the primary antibody.
HepG2 whole cell and nuclear extracts (30 μg) were separated by 10% SDS-PAGE, and the membrane was blotted with hnRNP F antibody [N1N3] (GTX114476) diluted at 1:1000. The HRP-conjugated anti-rabbit IgG antibody (GTX213110-01) was used to detect the primary antibody.
风险提示:丁香通仅作为第三方平台,为商家信息发布提供平台空间。用户咨询产品时请注意保护个人信息及财产安全,合理判断,谨慎选购商品,商家和用户对交易行为负责。对于医疗器械类产品,请先查证核实企业经营资质和医疗器械产品注册证情况。
文献和实验Sundararaman B et al., Mol Cell 2016 (PMID:26990993)
ROTORS Table F.1. Rotor Characteristics Figure F.1. Cross section of Sorvall SS-34 rotor. Rotors for a centrifuge are either fixed angles , swinging buckets , continuous flow, or zonal, depending upon whether the sample is held
Production of Bispecif ic and Trispecific F(ab)2 and F(ab)3 Antibody Derivatives
Bispecific antibodies (BsAbs) are hybrid molecules designed to combine two antibodies with different specificities. This dual specificity has led to their application in a variety of diagnostic situations that require the crosslinking
In the field of therapeutic recombinant proteins, monoclonal antibodies (mAbs) have achieved a rising success with more than 30 mAbs that have reached the market in the past 20 years. From a structural standpoint, one of the most important
技术资料暂无技术资料 索取技术资料






![FOXN1 antibody [C3], C-term](https://img1.dxycdn.com/2023/0516/045/6925717576889828561-14.jpg!wh200)
![ORP1 antibody [C3], C-term](https://img1.dxycdn.com/2023/0516/895/8887749495766728561-14.jpg!wh200)

