相关产品推荐更多 >
万千商家帮你免费找货
0 人在求购买到急需产品
- 详细信息
- 文献和实验
- 技术资料
- 免疫原:
Recombinant protein encompassing a sequence within the N-terminus region of human MYH9. The exact sequence is proprietary.
- 亚型:
IgG
- 形态:
Liquid
- 保存条件:
Store as concentrated solution. Centrifuge briefly prior to opening vial. For short-term storage (1-2 weeks), store at 4ºC. For long-term storage, aliquot and store at -20ºC or below. Avoid multiple freeze-thaw cycles.
- 克隆性:
Polyclonal
- 标记物:
Unconjugated
- 适应物种:
Human, Mouse, Rat
- 保质期:
12 months from the shipping date of the product.
- 抗原来源:
Human
- 目录编号:
GTX113236
- 级别:
Primary Antibodies
- 库存:
Available
- 供应商:
GeneTex
- 宿主:
Rabbit
- 应用范围:
WB, ICC/IF, IHC-P, IHC-Fr, IP
- 浓度:
0.43 mg/ml (Please refer to the vial label for the specific concentration.)
- 靶点:
MYH9
- 抗体英文名:
MYH9 antibody [N1-2], N-term
- 抗体名:
MYH9 抗体 [N1-2], N-term
- 规格:
100 μl/25 μl
| 规格: | 100 μl | 产品价格: | ¥4000.0 |
|---|---|---|---|
| 规格: | 25 μl | 产品价格: | ¥1700.0 |
Non-transfected (–) and transfected (+) 293T whole cell extracts (30 μg) were separated by 5% SDS-PAGE, and the membrane was blotted with MYH9 antibody [N1-2], N-term (GTX113236) diluted at 1:5000. The HRP-conjugated anti-rabbit IgG antibody (GTX213110-01) was used to detect the primary antibody.
MYH9 antibody [N1-2], N-term detects MYH9 protein at cytoplasm in mouse prostate by immunohistochemical analysis.
Sample: Paraffin-embedded mouse prostate.
MYH9 antibody [N1-2], N-term (GTX113236) diluted at 1:400.
Antigen Retrieval: Citrate buffer, pH 6.0, 15 min
MYH9 antibody [N1-2], N-term detects MYH9 protein at cytoskeleton by immunofluorescent analysis.
Sample: HeLa cells were fixed in ice-cold MeOH for 5 min.
Green: MYH9 stained by MYH9 antibody [N1-2], N-term (GTX113236) diluted at 1:500.
Blue: Hoechst 33342 staining.
Various whole cell extracts (30 μg) were separated by 5% SDS-PAGE, and the membrane was blotted with MYH9 antibody [N1-2], N-term (GTX113236) diluted at 1:1000. The HRP-conjugated anti-rabbit IgG antibody (GTX213110-01) was used to detect the primary antibody.
Immunoprecipitation of MYH9 protein from HeLa whole cell extracts using 5 μg of MYH9 antibody [N1-2], N-term (GTX113236).
Western blot analysis was performed using MYH9 antibody [N1-2], N-term (GTX113236).
EasyBlot anti-Rabbit IgG (GTX221666-01) was used as a secondary reagent.
MYH9 antibody [N1-2], N-term detects MYH9 protein by western blot analysis.
A. 30 μg Rat2 whole cell lysate/extract
5% SDS-PAGE
MYH9 antibody [N1-2], N-term (GTX113236) dilution: 1:1000
The HRP-conjugated anti-rabbit IgG antibody (GTX213110-01) was used to detect the primary antibody.
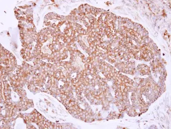
MYH9 antibody [N1-2], N-term detects MYH9 protein at cytoplasm in human breast carcinoma by immunohistochemical analysis.
Sample: Paraffin-embedded human breast carcinoma.
MYH9 antibody [N1-2], N-term (GTX113236) diluted at 1:500.
Antigen Retrieval: Citrate buffer, pH 6.0, 15 min
MYH9 antibody [N1-2], N-term detects MYH9 protein by western blot analysis.
A. 30 μg NIH-3T3 whole cell lysate/extract
B. 30 μg BCL-1 whole cell lysate/extract
C. 30 μg Raw264.7 whole cell lysate/extract
D. 30 μg C2C12 whole cell lysate/extract
5% SDS-PAGE
MYH9 antibody [N1-2], N-term (GTX113236) dilution: 1:1000
The HRP-conjugated anti-rabbit IgG antibody (GTX213110-01) was used to detect the primary antibody.
风险提示:丁香通仅作为第三方平台,为商家信息发布提供平台空间。用户咨询产品时请注意保护个人信息及财产安全,合理判断,谨慎选购商品,商家和用户对交易行为负责。对于医疗器械类产品,请先查证核实企业经营资质和医疗器械产品注册证情况。
文献和实验Li T et al., Elife 2016 (PMID:27331610)
Sundvold H et al., Cell Cycle 2016;15(5)
Law HT et al., J Proteome Res 2015 (PMID:25907766)
Yi Hu et al., Cancer Res 2021 (PMID:33288657)
Clare Rogerson et al., Cell Death Differ 2021 (PMID:33462407)
Cheng HW et al., Life Sci Alliance 2019 (PMID:30737247)
Kwon HK et al., Biochim Biophys Acta 2018 (PMID:30048702)
Sundvold H et al., Cell Cycle 2016 (PMID:27104745)
In the field of therapeutic recombinant proteins, monoclonal antibodies (mAbs) have achieved a rising success with more than 30 mAbs that have reached the market in the past 20 years. From a structural standpoint, one of the most important
to protect the antibody. These should be stored in smaller aliquots (about 1 ml) and frozen for long term storage though the protected solution is also stable for months at four degrees. Ascites fluid: This is a bit more problematic as it may contain
Materials 0.1M NaHC03 pH9 DMSO NHS-Biotin (N-Hydroxysuccinimidobiotin, Sigma #H-1759) PBS Procedure Dialyze the sample against carbonate buffer. After dialysis, adjust
技术资料暂无技术资料 索取技术资料





![TBC1D5 antibody [HL2390]](https://img1.dxycdn.com/2023/0711/058/8406876405285858761-14.jpg!wh200)

![TLR4 antibody [MTS510]](https://img1.dxycdn.com/2023/0711/451/6106825198874858761-14.jpg!wh200)


