相关产品推荐更多 >
万千商家帮你免费找货
0 人在求购买到急需产品
- 详细信息
- 文献和实验
- 技术资料
- 免疫原:
Recombinant protein encompassing a sequence within the center region of human Adenylate kinase 2. The exact sequence is proprietary.
- 亚型:
IgG
- 形态:
Liquid
- 保存条件:
Store as concentrated solution. Centrifuge briefly prior to opening vial. For short-term storage (1-2 weeks), store at 4ºC. For long-term storage, aliquot and store at -20ºC or below. Avoid multiple freeze-thaw cycles.
- 克隆性:
Polyclonal
- 标记物:
Unconjugated
- 适应物种:
Human, Mouse, Rat
- 保质期:
12 months from the shipping date of the product.
- 抗原来源:
Human
- 目录编号:
GTX111737
- 级别:
Primary Antibodies
- 库存:
Available
- 供应商:
GeneTex
- 宿主:
Rabbit
- 应用范围:
WB, ICC/IF, IHC-P
- 浓度:
1 mg/ml (Please refer to the vial label for the specific concentration.)
- 靶点:
Adenylate kinase 2
- 抗体英文名:
Adenylate kinase 2 antibody [N1C3-2]
- 抗体名:
Adenylate kinase 2 抗体 [N1C3-2]
- 规格:
100 μl/25 μl
| 规格: | 100 μl | 产品价格: | ¥4000.0 |
|---|---|---|---|
| 规格: | 25 μl | 产品价格: | ¥1700.0 |
Wild-type (WT) and Adenylate kinase 2 knockout (KO) 293T cell extracts (30 μg) were separated by 12% SDS-PAGE, and the membrane was blotted with Adenylate kinase 2 antibody (GTX111737) diluted at 1:1000. The HRP-conjugated anti-rabbit IgG antibody (GTX213110-01) was used to detect the primary antibody.
Adenylate kinase 2 antibody [N1C3-2] detects Adenylate kinase 2 protein at mitochondria in rat ovary by immunohistochemical analysis.
Sample: Paraffin-embedded rat ovary.
Adenylate kinase 2 antibody [N1C3-2] (GTX111737) diluted at 1:500.
Antigen Retrieval: Citrate buffer, pH 6.0, 15 min
Sample (50 ug of whole cell lysate)
A: mouse brain
12% SDS PAGE
GTX111737 diluted at 1:1000
Sample (30 ug of whole cell lysate)
A: Molt-4 (GTX27912)
12% SDS PAGE
GTX111737 diluted at 1:1000
Immunofluorescence analysis of PFA-fixed HeLa, using AK2(GTX111737) antibody at 1:200 dilution.
Adenylate kinase 2 antibody [N1C3-2] detects Adenylate kinase 2 protein at mitochondria in rat pancreas by immunohistochemical analysis.
Sample: Paraffin-embedded rat pancreas.
Adenylate kinase 2 antibody [N1C3-2] (GTX111737) diluted at 1:500.
Antigen Retrieval: Citrate buffer, pH 6.0, 15 min
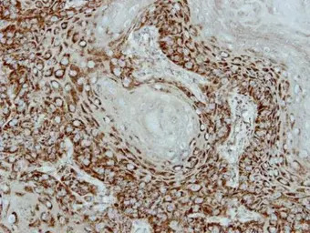
Immunohistochemical analysis of paraffin-embedded Cal27 xenograft, using Adenylate kinase 2(GTX111737) antibody at 1:500 dilution.
Antigen Retrieval: Citrate buffer, pH 6.0, 15 min
风险提示:丁香通仅作为第三方平台,为商家信息发布提供平台空间。用户咨询产品时请注意保护个人信息及财产安全,合理判断,谨慎选购商品,商家和用户对交易行为负责。对于医疗器械类产品,请先查证核实企业经营资质和医疗器械产品注册证情况。
文献和实验THE PURINE NUCLEOTIDE CONTENT IN HUMAN LEUKEMIA CELL LINESAbstract: The HPLC method was used to determine the purine nucleotide (ATP, ADP, AMP, GTP, GDP, GMP, NAD+) contents and the values of the adenylate energy charge (AEC) and guanylate energy
Imaging Protein‐Protein Interactions by Fluorescence Resonance Energy Transfer (FRET) Microscopy
Antibody (e.g., PY72 monoclonal anti‐phosphotyrosine antibody) labeled with Cy3 (see protocol 3 ) 1% (w/v) bovine serum albumin (BSA, fraction V) in recipePBS
Overview of Protein Microarrays
. Relevant areas of research include the detection of various binding properties of proteins, the study of protein post?translational modifications, the analysis of host?microbe interactions, profiling antibody specificity, and the identification
技术资料暂无技术资料 索取技术资料





![NSUN1 antibody [N2C2], Internal](https://img1.dxycdn.com/2023/0516/045/6925717576889828561-14.jpg!wh200)

![CD8 alpha antibody [C8/468]](https://img1.dxycdn.com/2023/0711/451/6106825198874858761-14.jpg!wh200)


