相关产品推荐更多 >
万千商家帮你免费找货
0 人在求购买到急需产品
- 详细信息
- 文献和实验
- 技术资料
- 免疫原:
Full length human p38 MAPK Recombinant protein.
- 亚型:
IgG
- 形态:
Liquid
- 保存条件:
Store as concentrated solution. Centrifuge briefly prior to opening vial. For short-term storage (1-2 weeks), store at 4ºC. For long-term storage, aliquot and store at -20ºC or below. Avoid multiple freeze-thaw cycles.
- 克隆性:
Polyclonal
- 标记物:
Unconjugated
- 适应物种:
Human, Mouse, Rat, Dog
- 保质期:
12 months from the shipping date of the product.
- 抗原来源:
Human
- 目录编号:
GTX110720
- 级别:
Primary Antibodies
- 库存:
Available
- 供应商:
GeneTex
- 宿主:
Rabbit
- 应用范围:
WB, ICC/IF, IHC-P
- 浓度:
0.44 mg/ml (Please refer to the vial label for the specific concentration.)
- 靶点:
p38 MAPK
- 抗体英文名:
p38 MAPK antibody [N1C3-2]
- 抗体名:
p38 MAPK 抗体 [N1C3-2]
- 规格:
100 μl/25 μl
| 规格: | 100 μl | 产品价格: | ¥4000.0 |
|---|---|---|---|
| 规格: | 25 μl | 产品价格: | ¥1700.0 |
Wild-type (WT) and p38 MAPK knockout (KO) 293T cell extracts (30 μg) were separated by 10% SDS-PAGE, and the membrane was blotted with p38 MAPK antibody [N1C3-2] (GTX110720) diluted at 1:500. The HRP-conjugated anti-rabbit IgG antibody (GTX213110-01) was used to detect the primary antibody.
p38 MAPK antibody [N1C3-2] detects p38 MAPK protein at cytoplasm in rat brain by immunohistochemical analysis.
Sample: Paraffin-embedded rat brain.
p38 MAPK antibody [N1C3-2] (GTX110720) diluted at 1:500.
Antigen Retrieval: Citrate buffer, pH 6.0, 15 min
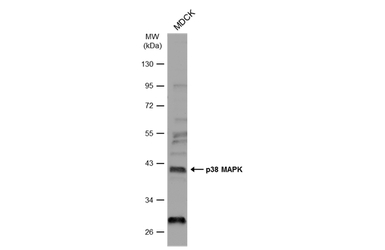
Whole cell extract (30 μg) was separated by 10% SDS-PAGE, and the membrane was blotted with p38 MAPK antibody (GTX110720) diluted at 1:500. The HRP-conjugated anti-rabbit IgG antibody (GTX213110-01) was used to detect the primary antibody.
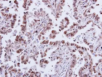
p38 antibody [N1C3-2] detects p38 protein at nucleus on human lung adenocarcinoma by immunohistochemical analysis.
Sample: Paraffin-embedded human lung adenocarcinoma.
p38 antibody [N1C3-2] (GTX110720) diluted at 1:250.
Antigen Retrieval: Citrate buffer, pH 6.0, 15 min
Various whole cell extracts (30 μg) were separated by 10% SDS-PAGE, and the membrane was blotted with p38 MAPK antibody [N1C3-2] (GTX110720) diluted at 1:1000. The HRP-conjugated anti-rabbit IgG antibody (GTX213110-01) was used to detect the primary antibody.
p38 MAPK antibody [N1C3-2] detects p38 MAPK protein at cytoplasm and nucleus by immunofluorescent analysis.
Sample: HeLa cells were fixed in 4% PFA for 10 min.
Green: p38 MAPK protein stained by p38 MAPK antibody [N1C3-2] (GTX110720) diluted at 1:100.
Blue: Hoechst 33342 staining.
Scale bar = 10 μm.
风险提示:丁香通仅作为第三方平台,为商家信息发布提供平台空间。用户咨询产品时请注意保护个人信息及财产安全,合理判断,谨慎选购商品,商家和用户对交易行为负责。对于医疗器械类产品,请先查证核实企业经营资质和医疗器械产品注册证情况。
文献和实验Lin JT et al., Food Funct. 2017 (PMID:28232982)
Sarin N et al., Int J Mol Sci 2018 (PMID:29518977)
Yeh CJ et al., Sci Rep 2017 (PMID:29142215)
Chuang YF et al., PLoS One 2015 (PMID:26317424)
Chen CC et al., PLoS One 2016 (PMID:27414646)
Chen PH et al., Neuropharmacology 2016 (PMID:27487563)
Vordenbaumen S et al., BMC Immunol 2013 (PMID:24083466)
Kang KH et al., Eur J Cancer 2013 (PMID:23664097)
Zhang X et al., Chin Herb Med 2022 (PMID:36405054)
Fu L et al., Bioengineered 2022 (PMID:35611845)
Qian X et al., Bioengineered 2022 (PMID:35609316)
Hsu YC et al., Oxid Med Cell Longev 2022 (PMID:36338342)
Yan Sun et al., Immun Inflamm Dis 2022 (PMID:35759233)
Jihee Hong et al., J Ginseng Res 2022 (PMID:35600766)
Kuo-Hao Ho et al., Neurotherapeutics 2021 (PMID:33410111)
Yu-Jen Chiu et al., Oncol Rep 2021 (PMID:34013378)
Chi-Cheng Lu et al., Exp Ther Med 2021 (PMID:34131445)
Cui X et al., Dis Model Mech 2022 (PMID:35099007)
Li Y et al., Transl Lung Cancer Res 2021 (PMID:34012797)
Liu JF et al., J Cell Physiol 2020 (PMID:32808296)
Qi J et al., Front Mol Neurosci 2018 (PMID:30158854)
Chen CF et al., Oncol Lett 2018 (PMID:30333889)
Lu CC et al., Int J Oncol 2019 (PMID:30720062)
Gwon D et al., Mol Cells 2019 (PMID:31722512)
Yi-Feng Yang et al., Chinese Journal of Physiology 2019;62(4)
Jan JS et al., Mar Drugs 2019 (PMID:31213027)
Jau?Tien Lin et al., Journal of Food Biochemistry 2019 (Epub)
Liu YH et al., Phytomedicine 2018 (PMID:30097117)
Li HY et al., J Agric Food Chem 2019 (PMID:30661353)
Farhat F et al., Open Access Maced J Med Sci 2018 (PMID:30559847)
Chen CF et al., Oncology Letters 2018
Bonfante R et al., Neuroscience 2018 (PMID:30248434)
Lin JT et al., Journal of Functional Foods 2018 47()
【求助】请问如何检测RAS、MAPK、p38、p21 ?参与者:liqunfeng请问如何检测RAS、MAPK、p38、p21??谁帮帮我啊参与者:xiaolx你在网上搜搜别人的实验中怎么检测的,不就知道了。p38,我师姐做过免疫组化。参与者:zhangyuelin1999检测信号通路现在用的比较多的方法应该是Western blot,它是测细胞中的蛋白含量(半定量)的最好方法了,免疫组化检测是定性的!如果时间充裕的话,你可以两种方法都可以做的。RAS:Ras蛋白是细胞内的一种小分子GTP结合
yy59410 在下在做MAPK通路对皮肤成纤维细胞凋亡诱导的作用,我分别用p38,JNK,ERK相应的通路抑制剂阻断相应的通路后看给药后细胞的情况,发现这些通路的阻断并不能阻断药物对细胞的凋亡诱导,想请教坛子里的高手们这是怎么回事?我接下来需要做什么? 希望大侠们赐教。不甚感激啊。 chuckdouble yy59410 wrote: 在下在做MAPK通路对皮肤成纤维
相关专题 MAPK信号通路专题 p38 MAPK是1993年由Brewster等人在研究高渗环境对真菌的影响时发现的。以后又发现它也存在于哺乳动物 的细胞内,也是MAPKs的亚类之一,其性质与JNK相似,同属应激激活的蛋白激酶。目前已发现p38MAPK有5个异构体,分别为p38α(p38)、p38β1、p38β2、p38γ、p38δ。其分布具有组织特异性:p38α、p38β1、p38β2在各种组织细胞中广泛存在,p38γ仅在骨骼肌细胞中存在
技术资料暂无技术资料 索取技术资料







![GRP94 antibody [N1N3]](https://img1.dxycdn.com/2023/0711/255/2344116916935858761-14.jpg!wh200)

