相关产品推荐更多 >
万千商家帮你免费找货
0 人在求购买到急需产品
- 详细信息
- 文献和实验
- 技术资料
- 免疫原:
Carrier-protein conjugated synthetic peptide encompassing a sequence within the C-terminus region of human HDAC2. The exact sequence is proprietary.
- 亚型:
IgG
- 形态:
Liquid
- 保存条件:
Store as concentrated solution. Centrifuge briefly prior to opening vial. For short-term storage (1-2 weeks), store at 4ºC. For long-term storage, aliquot and store at -20ºC or below. Avoid multiple freeze-thaw cycles.
- 克隆性:
Polyclonal
- 标记物:
Unconjugated
- 适应物种:
Human, Mouse, Rat, Xenopus tropicalis
- 保质期:
12 months from the shipping date of the product.
- 抗原来源:
Human
- 目录编号:
GTX109642
- 级别:
Primary Antibodies
- 库存:
Available
- 供应商:
GeneTex
- 宿主:
Rabbit
- 应用范围:
WB, ICC/IF, IHC-P, IP, ChIP assay
- 浓度:
1.16 mg/ml (Please refer to the vial label for the specific concentration.)
- 靶点:
Knockdown/Knockout validation was supported by customer review data.
- 抗体英文名:
HDAC2 antibody
- 抗体名:
HDAC2 抗体
- 规格:
100 μl/25 μl
| 规格: | 100 μl | 产品价格: | ¥4000.0 |
|---|---|---|---|
| 规格: | 25 μl | 产品价格: | ¥1700.0 |
Immunohistochemical analysis of paraffin-embedded Cal27 Xenograft, using HDAC2(GTX109642) antibody at 1:100 dilution.
Antigen Retrieval: Trilogy™ (EDTA based, pH 8.0) buffer, 15min
HDAC2 antibody immunoprecipitates HDAC2 protein-DNA complex in ChIP experiments. ChIP Sample: 293T whole cell lysate/extract
A. 5 μg preimmune rabbit IgG
B. 5 μg of HDAC2 antibody (GTX109642)
The precipitated DNA was detected by PCR with primer set targeting to GAPDH promoter.
HDAC2 antibody detects HDAC2 protein at nucleus by immunofluorescent analysis.
Sample: HeLa cells were fixed in 4% PFA at RT for 15 min.
Green: HDAC2 stained by HDAC2 antibody (GTX109642) diluted at 1:500.
Blue: Fluoroshield with DAPI (GTX30920).
HDAC2 antibody immunoprecipitates HDAC2 protein in IP experiments. IP Sample: HeLa whole cell lysate/extract A. 40 μg HeLa whole cell lysate/extract B. Control with 2 μg of preimmune rabbit IgG C. Immunoprecipitation of HDAC2 protein by 2 μg of HDAC2 antibody (GTX109642) 7.5% SDS-PAGE The immunoprecipitated HDAC2 protein was detected by HDAC2 antibody (GTX109642) diluted at 1:1000. EasyBlot anti-rabbit IgG (GTX221666-01) was used as a secondary reagent.
HDAC2 antibody detects HDAC2 protein at nucleus by immunofluorescent analysis.
Sample: HeLa cells were fixed in 4% PFA at RT for 15 min.
Green: HDAC2 stained by HDAC2 antibody (GTX109642) diluted at 1:500.
Blue: Fluoroshield with DAPI (GTX30920).
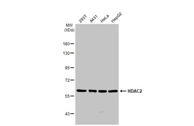
Various whole cell extracts (30 μg) were separated by 7.5% SDS-PAGE, and the membrane was blotted with HDAC2 antibody (GTX109642) diluted at 1:1000. The HRP-conjugated anti-rabbit IgG antibody (GTX213110-01) was used to detect the primary antibody.
HDAC2 antibody detects HDAC2 protein by western blot analysis.
A. 30 μg C2C12 whole cell lysate/extract
7.5% SDS-PAGE
HDAC2 antibody (GTX109642) dilution: 1:1000
The HRP-conjugated anti-rabbit IgG antibody (GTX213110-01) was used to detect the primary antibody.
HDAC2 antibody detects HDAC2 protein by western blot analysis.
A. 30 μg Rat2 whole cell lysate/extract
7.5% SDS-PAGE
HDAC2 antibody (GTX109642) dilution: 1:1000
The HRP-conjugated anti-rabbit IgG antibody (GTX213110-01) was used to detect the primary antibody.
风险提示:丁香通仅作为第三方平台,为商家信息发布提供平台空间。用户咨询产品时请注意保护个人信息及财产安全,合理判断,谨慎选购商品,商家和用户对交易行为负责。对于医疗器械类产品,请先查证核实企业经营资质和医疗器械产品注册证情况。
文献和实验Chen CY et al., Front Oncol 2020 (PMID:32158695)
Thang SK et al., J Agric Food Chem 2019 (PMID:31525874)
Wei GJ et al., AAPS J 2019 (PMID:31292765)
Chang HY et al., Molecules 2019 (PMID:30704067)
Huang D et al., Nat Immunol 2018 (PMID:30224822)
Gao WY et al., J Agric Food Chem 2018 (PMID:29862818)
Lee JY et al., Front Pharmacol 2016 (PMID:27065869)
Cencioni C et al., Nat Commun 2018 (PMID:29599503)
Chen PY et al., PLoS One 2013 (PMID:23977008)
Chen SF et al., J Agric Food Chem 2017 (PMID:28812343)
Tanegashima K et al., Genes Cells 2017 (PMID:27935189)
Chen HC et al., PLoS One 2016 (PMID:27617748)
Lee KH et al., Sci Rep 2014 (PMID:25227736)
Zhou JJ et al., Elife 2023 (PMID:36971347)
Nisha Tapryal et al., J Biol Chem 2021 (PMID:33932404)
Yang HH et al., Int J Mol Sci 2022 (PMID:35163312)
Duan Y et al., mBio 2022 (PMID:35038897)
Lin HY et al., Biomed Pharmacother 2022 (PMID:34798471)
Sayed IM et al., Cells 2020 (PMID:32872214)
Huang WT et al., Front Pharmacol 2017 (PMID:29326587)
Generation of Antibody Molecules Through Antibody Engineering
been overcome to a large extent using genetic-engineering techniques to produce chimeric mouse/human and completely human antibodies. Such an approach is particularly suitable because of the domain structure of the antibody molecule ( 2 ), where functional
The importance of antibody molecules was first recognized in the 1890s, when it was shown that immunity to tetanus and diphtheria was caused by antibodies against the bacterial exotoxins (1 ). Around the same time, it was shown that antisera
General comments: Antibodies, like most proteins, do not like to be freeze-thawed. Avoid repetitive freezing of your solution. The best way to store your antibody is to keep a high protein concentration (>1 mg/ml), add some protease
技术资料暂无技术资料 索取技术资料





![IL12 antibody [C8.6] (Biotin)](https://img1.dxycdn.com/2023/0711/451/6106825198874858761-14.jpg!wh200)
![NKG2D antibody [1D11] (FITC)](https://custom.dxycdn.com/trademd/upload/pic/2011/12/14/1323695851.jpg!small.t.1)

![Amylin antibody [R10/99]](https://custom.dxycdn.com/trademd/upload/pic/2011/12/14/1323695845.jpg!small.t.1)


