相关产品推荐更多 >
万千商家帮你免费找货
0 人在求购买到急需产品
- 详细信息
- 文献和实验
- 技术资料
- 免疫原:
Synthetic Peptide: T(5) N S D F Y S K N Q R N E S S(19)
- 亚型:
IgG
- 形态:
Liquid
- 保存条件:
Store as concentrated solution. Centrifuge briefly prior to opening vial. For short-term storage (1-2 weeks), store at 4ºC. For long-term storage, aliquot and store at -20ºC or below. Avoid multiple freeze-thaw cycles.
- 克隆性:
Polyclonal
- 标记物:
Unconjugated
- 适应物种:
Human, Mouse, Rat, Chicken, Pig
- 保质期:
12 months from the shipping date of the product.
- 抗原来源:
Human
- 目录编号:
GTX23529
- 级别:
Primary Antibodies
- 库存:
Available
- 供应商:
GeneTex
- 宿主:
Rabbit
- 应用范围:
WB, ICC/IF, IHC-P, IHC-Fr, IP, ELISA
- 浓度:
1 mg/ml (Please refer to the vial label for the specific concentration.)
- 靶点:
This antibody detects an ~127 kDa protein and an ~133 kDa protein representing PMCA2a and PMCA2b ATPase, respectively, from rat brain microsomal fractions.
- 抗体英文名:
PMCA2 ATPase antibody
- 抗体名:
PMCA2 ATPase 抗体
- 规格:
100 μg
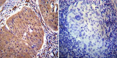
IHC-P analysis of human cervical carcinoma tissue using GTX23529 PMCA2 ATPase antibody.
Left : Primary antibody
Right : Negative control without primary antibody
Antigen retrieval : heat induced antigen retrieval was performed using 10mM sodium citrate (pH6.0) buffer, microwaved for 8-15 minutes
Dilution : 1:20
IHC-P analysis of human brain tissue using GTX23529 PMCA2 ATPase antibody.
Left : Primary antibody
Right : Negative control without primary antibody
Antigen retrieval : heat induced antigen retrieval was performed using 10mM sodium citrate (pH6.0) buffer, microwaved for 8-15 minutes
Dilution : 1:200
风险提示:丁香通仅作为第三方平台,为商家信息发布提供平台空间。用户咨询产品时请注意保护个人信息及财产安全,合理判断,谨慎选购商品,商家和用户对交易行为负责。对于医疗器械类产品,请先查证核实企业经营资质和医疗器械产品注册证情况。
文献和实验Measurement of Ca2+-ATPase Activity (in PMCA and SERCA1)
Ca2+ -ATP pumps (those on the plasma membrane; PMCA and sarcoplasmic reticulum; SERCA1) have an important role to play in the regulation of intracellular calcium concentrations. In this chapter, three preparations, two membranes
Measurement of Plasma Membrane CalciumCalmodulin-Dependent ATPase (PMCA) Activity
The plasma membrane calcium–calmodulin-dependent ATPase (PMCA) is a calcium-extruding enzymatic pump that ejects calcium from the cytoplasm to the extracellular compartment. Although in excitable cells such as skeletal and cardiac muscle
The plasma membrane calcium ATPase, or PMCA, functions to extrude calcium out of cells as a key component necessary for adequate calcium homeostasis in all cells. However, calcium is particularly important at synapses between neurons
技术资料暂无技术资料 索取技术资料






![CD166 antibody [4H9A5]](https://img1.dxycdn.com/2023/0711/451/6106825198874858761-14.jpg!wh200)



