相关产品推荐更多 >
万千商家帮你免费找货
0 人在求购买到急需产品
- 详细信息
- 文献和实验
- 技术资料
- 免疫原:
The antiserum was produced against synthesized phosphopeptide derived from human PDGFR beta around the phosphorylation site of tyrosine 751 (V-D-Yp-V-P).
- 亚型:
IgG
- 形态:
Liquid
- 保存条件:
Store as concentrated solution. Centrifuge briefly prior to opening vial. For short-term storage (1-2 weeks), store at 4ºC. For long-term storage, aliquot and store at -20ºC or below. Avoid multiple freeze-thaw cycles.
- 克隆性:
Polyclonal
- 标记物:
Unconjugated
- 适应物种:
Human, Mouse
- 保质期:
12 months from the shipping date of the product.
- 抗原来源:
Human
- 目录编号:
GTX78970
- 级别:
Primary Antibodies
- 库存:
Available
- 供应商:
GeneTex
- 宿主:
Rabbit
- 应用范围:
WB, IHC-P
- 浓度:
Batch dependent (Please refer to the vial label for the specific concentration.)
- 靶点:
PDGF Receptor beta (phospho Tyr751)
- 抗体英文名:
PDGF Receptor beta (phospho Tyr751) antibody
- 抗体名:
PDGF Receptor beta (phospho Tyr751) 抗体
- 规格:
100 μg
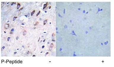
IHC-P analysis of human breast carcinoma tissue using GTX78970 PDGF Receptor beta (phospho Tyr751) antibody.
WB analysis of NIH/3T3 cells treated with PDGF lysate using GTX78970 PDGF Receptor beta (phospho Tyr751) antibody.
风险提示:丁香通仅作为第三方平台,为商家信息发布提供平台空间。用户咨询产品时请注意保护个人信息及财产安全,合理判断,谨慎选购商品,商家和用户对交易行为负责。对于医疗器械类产品,请先查证核实企业经营资质和医疗器械产品注册证情况。
文献和实验kinase is KIR 3.1 and have developed a phospho-selective antibody against the Y12 motif of this channel. Much like KOR and p38 MAP kinase, phosphorylation of this potassium channel increases following repeated stress. The following chapter discusses
secondary antibody review -- data from 99 publications
cytometry used as a control to detect cell responses targeted antigen 7 Alexa Fluor 488 7 Cy3 8 goat IgG Alexa Fluor 488 1:2000 detect antibody binding in human embryonic kidney 293T cells Invitrogen 9 donkey
Characterization of Nuclear Receptor Ligands by Multiplexed Peptide Interactions
.P., and Schatz, P.J. 2000. Selection of estrogen receptor beta‐ and thyroid hormone receptor beta‐specific coactivator‐mimetic peptides using recombinant peptide libraries. Mol. Endocrinol. 14:605‐622.
技术资料暂无技术资料 索取技术资料










