相关产品推荐更多 >
万千商家帮你免费找货
0 人在求购买到急需产品
- 详细信息
- 文献和实验
- 技术资料
- 免疫原:
Murine CD4.
- 亚型:
IgG2b
- 形态:
Liquid
- 保存条件:
Store as concentrated solution. Centrifuge briefly prior to opening vial. For short-term storage (1-2 weeks), store at 4ºC. For long-term storage, aliquot and store at -20ºC or below. Avoid multiple freeze-thaw cycles.
- 克隆性:
Monoclonal
- 标记物:
Unconjugated
- 适应物种:
Mouse
- 保质期:
12 months from the shipping date of the product.
- 抗原来源:
Mouse
- 目录编号:
GTX44530
- 级别:
Primary Antibodies
- 库存:
Available
- 供应商:
GeneTex
- 宿主:
Rat
- 应用范围:
WB, ICC/IF, IHC-Fr, FACS, IP, ELISA, Depletion, Neutralizing/Inhibition
- 浓度:
1.0 mg/ml (Please refer to the vial label for the specific concentration.)
- 靶点:
This antibody recognizes mouse CD4. Clone GK1.5
- 抗体英文名:
CD4 antibody [GK1.5] (Low endotoxin, azide free)
- 抗体名:
CD4 抗体 [GK1.5] (Low endotoxin, azide free)
- 规格:
500 μg
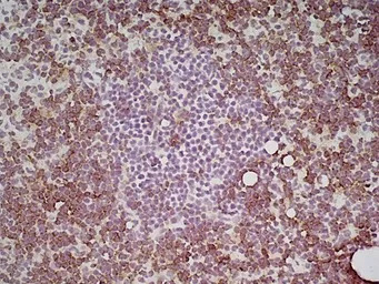
IHC-Fr analysis of mouse lymph node tissue using GTX44530 CD4 antibody [GK1.5] (Low endotoxin, azide free).
IHC-Fr analysis of mouse lymph node tissue using GTX44530 CD4 antibody [GK1.5] (Low endotoxin, azide free).
IHC-Fr analysis of mouse lymph node tissue using GTX44530 CD4 antibody [GK1.5] (Low endotoxin, azide free).
风险提示:丁香通仅作为第三方平台,为商家信息发布提供平台空间。用户咨询产品时请注意保护个人信息及财产安全,合理判断,谨慎选购商品,商家和用户对交易行为负责。对于医疗器械类产品,请先查证核实企业经营资质和医疗器械产品注册证情况。
文献和实验Qizhi Ma et al., Precis Clin Med 2021 (PMID:35693216)
Fu Y et al., Mol Carcinog 2019 (PMID:31397502)
Huang CP et al., Cytotherapy 2017 (PMID:28818454)
Miller M et al., J Immunol 2014 (PMID:24623133)
Das S et al., Proc Natl Acad Sci U S A 2016 (PMID:27799535)
Liu YJ et al., PLoS One 2015 (PMID:26325187)
Chi-Shuan Fan et al., Cells 2022 (PMID:35053345)
Purification of Endotoxin Free mAbs
pressure of circulation to force water out through the membrane, and rapidly concentrating the antibody/proteins up to 100 fold. The advantage of this method is very large volumes can be processed using sterile and endotoxin free components. Ammonium
Isolation of Untouched Human CD4+ T Cells from Peripheral Blood Mononuclear Cells (PBMC)
实验原理 A mixture of mouse IgG antibodies against the non-CD4 T cells is added to the starting sample and allowed to bind to the cells. Depletion MyOne™ Dynabeads® are added and will bind to the antibodylabelled cells
Phycoerythrin conjugation protocol
and Centricon concentrators. Add 0.5% sodium azide. Store at 4 °C protected from light. Do not freeze. Figure 1. Analysis of column eluate fractions from PE conjugation of monoclonal antibody IB4 (murine IgG2a, anti-human CD
技术资料暂无技术资料 索取技术资料






![TRIM25 antibody [N2C1], Internal](https://img1.dxycdn.com/2023/0516/045/6925717576889828561-14.jpg!wh200)


