相关产品推荐更多 >
万千商家帮你免费找货
0 人在求购买到急需产品
- 详细信息
- 文献和实验
- 技术资料
- 免疫原:
Recombinant protein encompassing a sequence within the C-terminus region of human STAT2. The exact sequence is proprietary.
- 亚型:
IgG
- 形态:
Liquid
- 保存条件:
Store as concentrated solution. Centrifuge briefly prior to opening vial. For short-term storage (1-2 weeks), store at 4ºC. For long-term storage, aliquot and store at -20ºC or below. Avoid multiple freeze-thaw cycles.
- 克隆性:
Polyclonal
- 标记物:
Unconjugated
- 适应物种:
Human, Mouse
- 保质期:
12 months from the shipping date of the product.
- 抗原来源:
Human
- 目录编号:
GTX103117
- 级别:
Primary Antibodies
- 库存:
Available
- 供应商:
GeneTex
- 宿主:
Rabbit
- 应用范围:
WB, IHC-P, IP
- 浓度:
1 mg/ml (Please refer to the vial label for the specific concentration.)
- 靶点:
IP/MS validation was supported by references (PMID:30377386)
- 抗体英文名:
STAT2 antibody [C2C3], C-term
- 抗体名:
STAT2 抗体 [C2C3], C-term
- 规格:
100 μl/25 μl
| 规格: | 100 μl | 产品价格: | ¥4000.0 |
|---|---|---|---|
| 规格: | 25 μl | 产品价格: | ¥1700.0 |
STAT2 antibody immunoprecipitates STAT2 protein in IP experiments. IP Sample: 293T whole cell lysate/extract A. 40 μg 293T whole cell lysate/extract B. Control with 2 μg of preimmune rabbit IgG C. Immunoprecipitation of STAT2 protein by 2 μg of STAT2 antibody (GTX103117) 7.5% SDS-PAGE The immunoprecipitated STAT2 protein was detected by STAT2 antibody (GTX103117) diluted at 1:1000. EasyBlot anti-rabbit IgG (GTX221666-01) was used as a secondary reagent.
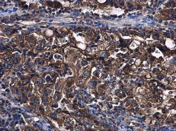
STAT2 antibody [C2C3], C-term detects STAT2 protein at cytoplasm in human endometrial carcinoma by immunohistochemical analysis.
Sample: Paraffin-embedded human endometrial carcinoma.
STAT2 antibody [C2C3], C-term (GTX103117) diluted at 1:500.
Antigen Retrieval: Citrate buffer, pH 6.0, 15 min
STAT2 antibody [C2C3], C-term detects STAT2 protein at cytoplasm in human cervical carcinoma by immunohistochemical analysis.
Sample: Paraffin-embedded human cervical carcinoma.
STAT2 antibody [C2C3], C-term (GTX103117) diluted at 1:500.
Antigen Retrieval: Citrate buffer, pH 6.0, 15 min
Sample (30 ug of whole cell lysate)
A: Jurkat
B: Raji
C: K562
D: THP-1
5% SDS PAGE
GTX103117 diluted at 1:2000
Various whole cell extracts (30 μg) were separated by 5% SDS-PAGE, and the membrane was blotted with STAT2 antibody [C2C3], C-term (GTX103117) diluted at 1:2000. The HRP-conjugated anti-rabbit IgG antibody (GTX213110-01) was used to detect the primary antibody. Corresponding RNA expression data for the same cell lines are based on Human Protein Atlas program.
Whole cell extract (30 μg) was separated by 5% SDS-PAGE, and the membrane was blotted with STAT2 antibody [C2C3], C-term (GTX103117) diluted at 1:2000. The HRP-conjugated anti-rabbit IgG antibody (GTX213110-01) was used to detect the primary antibody.
风险提示:丁香通仅作为第三方平台,为商家信息发布提供平台空间。用户咨询产品时请注意保护个人信息及财产安全,合理判断,谨慎选购商品,商家和用户对交易行为负责。对于医疗器械类产品,请先查证核实企业经营资质和医疗器械产品注册证情况。
文献和实验Yu JS et al., Sci Rep 2017 (PMID:28338050)
Iris E Glykofridis et al., Elife 2021 (PMID:33459596)
Sikorski K et al., Nat Methods 2018 (PMID:30377371)
Koh EH et al., Diabetes 2018 (PMID:30002134)
于研究。 性能参数 LIST OF ANTBODY PRODUCTS AP8401a BDP1 N-term Antibody AP8408b MEG2 C-term Antibody AP8451b PPP3CA C-term Antibody AP8449b CTDSP1 C-term Antibody AP8408a MEG2 N-term Antibody AP8451a PPP3CA N-term Antibody AP8449
【资源】全面归类网址:毕赤酵母表达各种来源蛋白(细菌,真菌,植物,人类等)
europaea (olive tree) aeroallergen Ole e 1S, 60 mg/L, α-MF[115, 334, 391]Olea europaea 1,3-β-glucanase Ole e 9 C-term.seg.S, 100 mg/L, α-MF, active486Oleaceae sp. (lilac and privet) pollen allergensS, 30 mg/L, reactive481Pepper endo-b-1,4-glucanase cCel1S
技术资料暂无技术资料 索取技术资料






![TBP antibody [4H2]](https://img1.dxycdn.com/2023/0711/451/6106825198874858761-14.jpg!wh200)



