相关产品推荐更多 >
万千商家帮你免费找货
0 人在求购买到急需产品
- 详细信息
- 文献和实验
- 技术资料
- 免疫原:
Recombinant protein encompassing a sequence within the N-terminus region of human ATP citrate lyase. The exact sequence is proprietary.
- 亚型:
IgG
- 形态:
Liquid
- 保存条件:
Store as concentrated solution. Centrifuge briefly prior to opening vial. For short-term storage (1-2 weeks), store at 4ºC. For long-term storage, aliquot and store at -20ºC or below. Avoid multiple freeze-thaw cycles.
- 克隆性:
Polyclonal
- 标记物:
Unconjugated
- 适应物种:
Human, Mouse, Rat
- 保质期:
12 months from the shipping date of the product.
- 抗原来源:
Human
- 目录编号:
GTX112387
- 级别:
Primary Antibodies
- 库存:
Available
- 供应商:
GeneTex
- 宿主:
Rabbit
- 应用范围:
WB, ICC/IF, IHC-P
- 浓度:
0.55 mg/ml (Please refer to the vial label for the specific concentration.)
- 靶点:
ATP citrate lyase
- 抗体英文名:
ATP citrate lyase antibody [N1N2], N-term
- 抗体名:
ATP citrate lyase 抗体 [N1N2], N-term
- 规格:
100 μl/25 μl
| 规格: | 100 μl | 产品价格: | ¥4000.0 |
|---|---|---|---|
| 规格: | 25 μl | 产品价格: | ¥1700.0 |
ATP citrate lyase antibody [N1N2], N-term detects ATP citrate lyase protein at cytoplasm by immunofluorescent analysis.
Sample: HeLa cells were fixed in ice-cold MeOH for 5 min.
Green: ATP citrate lyase protein stained by ATP citrate lyase antibody [N1N2], N-term (GTX112387) diluted at 1:500.
Blue: Hoechst 33342 staining.
Various tissue extracts (50 μg) were separated by 5% SDS-PAGE, and the membrane was blotted with ATP citrate lyase antibody [N1N2], N-term (GTX112387) diluted at 1:5000. The HRP-conjugated anti-rabbit IgG antibody (GTX213110-01) was used to detect the primary antibody.
Immunohistochemical analysis of paraffin-embedded Hepatoma, using ATP citrate lyase(GTX112387) antibody at 1:500 dilution.
Antigen Retrieval: Trilogy™ (EDTA based, pH 8.0) buffer, 15min
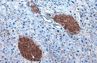
ATP citrate lyase antibody [N1N2], N-term detects ATP citrate lyase protein at cytoplasm by immunohistochemical analysis.
Sample: Paraffin-embedded mouse pancreas.
ATP citrate lyase stained by ATP citrate lyase antibody [N1N2], N-term (GTX112387) diluted at 1:500.
Antigen Retrieval: Citrate buffer, pH 6.0, 15 min
Various whole cell extracts (30 μg) were separated by 5% SDS-PAGE, and the membrane was blotted with ATP citrate lyase antibody [N1N2], N-term (GTX112387) diluted at 1:5000. The HRP-conjugated anti-rabbit IgG antibody (GTX213110-01) was used to detect the primary antibody.
风险提示:丁香通仅作为第三方平台,为商家信息发布提供平台空间。用户咨询产品时请注意保护个人信息及财产安全,合理判断,谨慎选购商品,商家和用户对交易行为负责。对于医疗器械类产品,请先查证核实企业经营资质和医疗器械产品注册证情况。
文献和实验Li X et al., Mol Cell 2017 (PMID:28552616)
Garc?a-Arroyo FE et al., Biomolecules 2019 (PMID:31614639)
为酶分类的一个主要类群,可催化基质脱除基团,从一个化合物形成两个化合物的酶之总称(酶编号1位数字为 4)。也可说是能使一个分子在双键上结合一个另外的分子,而形成一个新的分子的酶。根据解裂的键的种类( C- C、 C- O、 C- N等)再分成更细的类。有一些参与重要代谢反应的酶,例如参与 C- C键裂解和形成的醛缩酶(脱醛酶之一)、脱羧酶(产生 CO2 )、柠檬酸合成酶(与 CoA的水解相伴导向合成方向)等;与 C- O键裂解有关的延胡索酸水合酶、烯醇化酶以及参与 C- N键裂解的天门
Monoclonal Antibody Production Protocol
the rinse twice. Add 100 ul of blocking solution to every well, leave 1 hr at room Temp or O.N at 4°C. PRIMARY ANTIBODY Add the antibody to be tested: Sup of cells = 25 ul, mix well by pipetting up and down (10 times).serum, ascites = 1:100 and a series
secondary antibody review -- data from 99 publications
cytometry used as a control to detect cell responses targeted antigen 7 Alexa Fluor 488 7 Cy3 8 goat IgG Alexa Fluor 488 1:2000 detect antibody binding in human embryonic kidney 293T cells Invitrogen 9 donkey
技术资料暂无技术资料 索取技术资料





![MAML1 antibody [N1], N-term](https://img1.dxycdn.com/2023/0516/045/6925717576889828561-14.jpg!wh200)

![Integrin alpha 6 antibody [450-30A]](https://img1.dxycdn.com/2023/0711/451/6106825198874858761-14.jpg!wh200)


