相关产品推荐更多 >
万千商家帮你免费找货
0 人在求购买到急需产品
- 详细信息
- 文献和实验
- 技术资料
- 免疫原:
Recombinant protein encompassing a sequence within the center region of human PARP1. The exact sequence is proprietary.
- 亚型:
IgG
- 形态:
Liquid
- 保存条件:
Store as concentrated solution. Centrifuge briefly prior to opening vial. For short-term storage (1-2 weeks), store at 4ºC. For long-term storage, aliquot and store at -20ºC or below. Avoid multiple freeze-thaw cycles.
- 克隆性:
Polyclonal
- 标记物:
Unconjugated
- 适应物种:
Human, Mouse, Rat
- 保质期:
12 months from the shipping date of the product.
- 抗原来源:
Human
- 目录编号:
GTX112864
- 级别:
Primary Antibodies
- 库存:
Available
- 供应商:
GeneTex
- 宿主:
Rabbit
- 应用范围:
WB, ICC/IF, IHC-P, IP, ChIP assay
- 浓度:
0.28 mg/ml (Please refer to the vial label for the specific concentration.)
- 靶点:
IP/MS validation was supported by references (PMID:30377409)
- 抗体英文名:
PARP antibody [N2C1], Internal
- 抗体名:
PARP 抗体 [N2C1], Internal
- 规格:
100 μl/25 μl
| 规格: | 100 μl | 产品价格: | ¥4000.0 |
|---|---|---|---|
| 规格: | 25 μl | 产品价格: | ¥1700.0 |
Non-transfected (–) and transfected (+) 293T whole cell extracts (30 μg) were separated by 7.5% SDS-PAGE, and the membrane was blotted with PARP antibody [N2C1], Internal (GTX112864) diluted at 1:5000. The HRP-conjugated anti-rabbit IgG antibody (GTX213110-01) was used to detect the primary antibody.
Untreated (–) and treated (+) HCT116 whole cell extracts (30 μg) were separated by 7.5% SDS-PAGE, and the membrane was blotted with PARP antibody [N2C1], Internal (GTX112864) diluted at 1:1000. The HRP-conjugated anti-rabbit IgG antibody (GTX213110-01) was used to detect the primary antibody.
ChIP was performed with HeLa chromatin extract and 5 μg of either normal rabbit IgG or anti-PARP antibody. The precipitated DNA was detected by PCR with primer set targeting to HSP70.1 promoter.
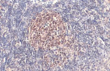
PARP antibody [N2C1], Internal detects PARP protein at nucleus by immunohistochemical analysis.
Sample: Paraffin-embedded mouse spleen.
PARP stained by PARP antibody [N2C1], Internal (GTX112864) diluted at 1:500.
Antigen Retrieval: Citrate buffer, pH 6.0, 15 min
Various whole cell extracts (30 μg) were separated by 7.5% SDS-PAGE, and the membrane was blotted with PARP1 antibody [N2C1], Internal (GTX112864) diluted at 1:500. The HRP-conjugated anti-rabbit IgG antibody (GTX213110-01) was used to detect the primary antibody.
PARP1 antibody [N2C1], Internal immunoprecipitates PARP1 protein in IP experiments.
IP samples: HCT-116 whole cell extract
A. 30 μg HCT-116 whole cell extract
B. Control with 4 μg of preimmune Rabbit IgG
C. Immunoprecipitation of PARP1 protein by 4 μg PARP1 antibody [N2C1], Internal (GTX112864)
5 % SDS-PAGE
The immunoprecipitated PARP1 protein was detected by PARP1 antibody [N2C1], Internal (GTX112864) diluted at 1:3000.
[EasyBlot anti-rabbit IgG (GTX221666-01) was used as a secondary reagent]
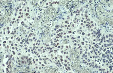
PARP antibody [N2C1], Internal detects PARP protein at nucleus by immunohistochemical analysis.
Sample: Paraffin-embedded human lung cancer.
PARP stained by PARP antibody [N2C1], Internal (GTX112864) diluted at 1:500.
Antigen Retrieval: Citrate buffer, pH 6.0, 15 min
Non-transfected (–) and transfected (+) 293T whole cell extracts (30 μg) were separated by 7.5% SDS-PAGE, and the membrane was blotted with PARP antibody [N2C1], Internal (GTX112864) diluted at 1:50000. The HRP-conjugated anti-rabbit IgG antibody (GTX213110-01) was used to detect the primary antibody.
Cross-linked ChIP was performed with Raji chromatin extract and 5 μg of either control rabbit IgG or anti-PARP1 antibody. The precipitated DNA was detected by PCR with primer set targeting to S100A9 promoter.
Various whole cell extracts (30 μg) were separated by 5% SDS-PAGE, and the membrane was blotted with PARP antibody [N2C1], Internal (GTX112864) diluted at 1:1000. The HRP-conjugated anti-rabbit IgG antibody (GTX213110-01) was used to detect the primary antibody.
风险提示:丁香通仅作为第三方平台,为商家信息发布提供平台空间。用户咨询产品时请注意保护个人信息及财产安全,合理判断,谨慎选购商品,商家和用户对交易行为负责。对于医疗器械类产品,请先查证核实企业经营资质和医疗器械产品注册证情况。
文献和实验D繹rsam B et al., Proc Natl Acad Sci U S A 2018 (PMID:29632181)
Wang JP et al., Oncol Lett 2017 (PMID:28927105)
Sikorski K et al., Nat Methods 2018 (PMID:30377371)
Kim SH et al., Biomedicine & Pharmacotherapy 2018 99()
Chien T et al., Mol Psychiatry 2018 (PMID:29298990)
Chen PH et al., Neuropharmacology 2016 (PMID:27986595)
Buchkremer S et al., JND 2016;3(2)
Seung-Hun Kim et al., Cancer Drug Resist 2021 (PMID:35582384)
Kerrie-Ann McMahon et al., Elife 2021 (PMID:34142659)
Jang M et al., Cancers (Basel) 2021 (PMID:34439220)
PARP1 Genomics: Chromatin Immunoprecipitation Approach Using Anti-PARP1 Antibody (ChIP and ChIP-seq)
Poly(ADP-ribose) polymerase1 (PARP1) is a global regulator of different cellular mechanisms, ranging from DNA damage repair to control of gene expression. Since PARP1 protein and pADPr have been shown to persist in chromatin through cell
In the field of therapeutic recombinant proteins, monoclonal antibodies (mAbs) have achieved a rising success with more than 30 mAbs that have reached the market in the past 20 years. From a structural standpoint, one of the most important
. For most substrates, it is believed, though it has been demonstrated experimentally only for a few, that the first ubiquitin moiety is conjugated, via its C-terminal Gly76 residue, to an ε-NH2 group of an internal Lys residue. Recent findings indicate
技术资料暂无技术资料 索取技术资料









