相关产品推荐更多 >
万千商家帮你免费找货
0 人在求购买到急需产品
- 详细信息
- 文献和实验
- 技术资料
- 免疫原:
KLH conjugated synthetic peptide between 103-132 amino acids from the Central region of human LAG3.
- 亚型:
IgG
- 形态:
Liquid
- 保存条件:
Store as concentrated solution. Centrifuge briefly prior to opening vial. For short-term storage (1-2 weeks), store at 4ºC. For long-term storage, aliquot and store at -20ºC or below. Avoid multiple freeze-thaw cycles.
- 克隆性:
Polyclonal
- 标记物:
Unconjugated
- 适应物种:
Human, Mouse
- 保质期:
12 months from the shipping date of the product.
- 抗原来源:
Human
- 目录编号:
GTX81605
- 级别:
Primary Antibodies
- 库存:
Available
- 供应商:
GeneTex
- 宿主:
Rabbit
- 应用范围:
WB, IHC-P, FACS
- 浓度:
Batch dependent (Please refer to the vial label for the specific concentration.)
- 靶点:
LAG3
- 抗体英文名:
LAG3 antibody, Internal
- 抗体名:
LAG3 抗体, Internal
- 规格:
400 μl
WB analysis of various samples using GTX81605 LAG3 antibody, Internal.
Lane 1: K562 whole cell lysates
Lane 2: human liver lysates
Lane 3: human ovary lysates
Loading : 20 μg per lane
Dilution : 1:2000
WB analysis of various samples using GTX81605 LAG3 antibody, Internal.
Lane 1: human ovary lysate
Lane 2: mouse liver lysate
Loading : 20 μg per lane
Dilution : 1:1000
WB analysis of mouse heart lysate using GTX81605 LAG3 antibody, Internal.
Loading : 20 μg per lane
Dilution : 1:2000
FACS analysis of Jurkat cells using GTX81605 LAG3 antibody, Internal.
Red : LAG3
Blue : Isotype control
Fixation : 2% PFA (PFA) (10 min)
Permeabilization : 90% methanol (10 min)
Dilution : 1:25
WB analysis of 293T/17 whole cell lysate using GTX81605 LAG3 antibody, Internal.
Loading : 20 μg per lane
Dilution : 1:2000
WB analysis of various samples using GTX81605 LAG3 antibody, Internal.
Lane 1: 293T/17 whole cell lysate
Lane 2: mouse heart lysate
Loading : 20 μg per lane
Dilution : 1:2000
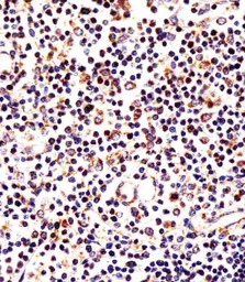
IHC-P analysis of human thymus tissue using GTX81605 LAG3 antibody, Internal.
Antigen retrieval : heat-induced antigen retrieval with citrate buffer (pH6)
Dilution : 1:25
风险提示:丁香通仅作为第三方平台,为商家信息发布提供平台空间。用户咨询产品时请注意保护个人信息及财产安全,合理判断,谨慎选购商品,商家和用户对交易行为负责。对于医疗器械类产品,请先查证核实企业经营资质和医疗器械产品注册证情况。
文献和实验Preparation and Assay of Acetylcholinesterase Antibody
structures mimicking external antigen results from the fact that the conformation of some of the anti-idiotypic antibodies may be complementary to the three-dimensional structure of the binding site of the first antibody, and therefore, represents
Protocol for anti-HA antibody Western Blotting
film for ~2 mins. Notes on the primary antibody: Source : Covance/Babco Description: Crude ascites fluid monoclonal anti-HA antibody (CATLN#135032002, 11mms-101R, 0.5 ml) Handling: Aliquoted into 10ul portions in -20℃ Internal notes: labelled anti
Analysis of Antibody-Antigen Interactions Using Surface Plasmon Resonance
Accurate analyses of antibody specificities and affinities are critical to understanding their role in antibody-mediated neutralization of HIV-1 in vitro and their potential activity against HIV-1 in vivo. Multiple immunologic tools
技术资料暂无技术资料 索取技术资料





![Cytokeratin 19 antibody [9H8G6]](https://img1.dxycdn.com/2023/0711/451/6106825198874858761-14.jpg!wh200)
![Histone H3K9me3 (Tri-methyl Lys9) antibody [HL2149]](https://img1.dxycdn.com/2023/0711/058/8406876405285858761-14.jpg!wh200)
![DAG1 / beta Dystroglycan antibody [C2C3-2], C-term](https://img1.dxycdn.com/2023/0516/050/2572066211091928561-14.jpg!wh200)



