相关产品推荐更多 >
万千商家帮你免费找货
0 人在求购买到急需产品
- 详细信息
- 文献和实验
- 技术资料
- 免疫原:
KLH conjugated synthetic peptide between 30-58 amino acids from the N-terminal region of human C6.
- 亚型:
IgG
- 形态:
Liquid
- 保存条件:
Store as concentrated solution. Centrifuge briefly prior to opening vial. For short-term storage (1-2 weeks), store at 4ºC. For long-term storage, aliquot and store at -20ºC or below. Avoid multiple freeze-thaw cycles.
- 克隆性:
Polyclonal
- 标记物:
Unconjugated
- 适应物种:
Human
- 保质期:
12 months from the shipping date of the product.
- 抗原来源:
Human
- 目录编号:
GTX81643
- 级别:
Primary Antibodies
- 库存:
Available
- 供应商:
GeneTex
- 宿主:
Rabbit
- 应用范围:
WB, ICC/IF, IHC-P, FACS
- 浓度:
Batch dependent (Please refer to the vial label for the specific concentration.)
- 靶点:
C6
- 抗体英文名:
C6 antibody, N-term
- 抗体名:
C6 抗体, N-term
- 规格:
400 μl
WB analysis of human blood plasma using GTX81643 C6 antibody, N-term.
Loading : 35ug per lane
Dilution : 1:1000
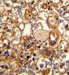
IHC-P analysis of human breast carcinoma using GTX81643 C6 antibody, N-term.
ICC/IF analysis of MDA-MB231 cells using GTX81643 C6 antibody, N-term.
Green : C6
Blue : DAPI
FACS analysis of MDA-231 cells using GTX81643 C6 antibody, N-term.
Top histogram : negative control
Bottom histogram : MDA-231 cells
风险提示:丁香通仅作为第三方平台,为商家信息发布提供平台空间。用户咨询产品时请注意保护个人信息及财产安全,合理判断,谨慎选购商品,商家和用户对交易行为负责。对于医疗器械类产品,请先查证核实企业经营资质和医疗器械产品注册证情况。
文献和实验In the field of therapeutic recombinant proteins, monoclonal antibodies (mAbs) have achieved a rising success with more than 30 mAbs that have reached the market in the past 20 years. From a structural standpoint, one of the most important
补体成分 C6/C7/C8/C9 补体成分:C6 血清浓度(μg/ml):60 分子量(kDa):128 亚单位(链)及分子量(kDa):1条 生物学活性:组成MAC,触发淋巴细胞母细胞化 补体成分:C7 血清浓度(μg/ml):60 分子量(kDa):121 亚单位(链)及分子量(kDa):1条
to protect the antibody. These should be stored in smaller aliquots (about 1 ml) and frozen for long term storage though the protected solution is also stable for months at four degrees. Ascites fluid: This is a bit more problematic as it may contain
技术资料暂无技术资料 索取技术资料





![Desmin antibody [DE-R-11]](https://img1.dxycdn.com/2023/0711/451/6106825198874858761-14.jpg!wh200)

![BrdU antibody [HL1111]](https://img1.dxycdn.com/2023/0711/058/8406876405285858761-14.jpg!wh200)


