相关产品推荐更多 >
万千商家帮你免费找货
0 人在求购买到急需产品
- 详细信息
- 文献和实验
- 技术资料
- 免疫原:
The immunogen used to generate this antibody corresponds to BrdU.
- 亚型:
IgG
- 形态:
Liquid
- 保存条件:
Store as concentrated solution. Centrifuge briefly prior to opening vial. For short-term storage (1-2 weeks), store at 4ºC. For long-term storage, aliquot and store at -20ºC or below. Avoid multiple freeze-thaw cycles.
- 克隆性:
Monoclonal
- 标记物:
Unconjugated
- 适应物种:
Species independent
- 保质期:
12 months from the shipping date of the product.
- 目录编号:
GTX636326
- 级别:
Primary Antibodies
- 库存:
Available
- 供应商:
GeneTex
- 宿主:
Rabbit
- 应用范围:
ICC/IF, IHC-P
- 浓度:
1 mg/ml (Please refer to the vial label for the specific concentration.)
- 靶点:
BrdU
- 抗体英文名:
BrdU antibody [HL1111]
- 抗体名:
BrdU 抗体 [HL1111]
- 规格:
100 μl/25 μl
| 规格: | 100 μl | 产品价格: | ¥4000.0 |
|---|---|---|---|
| 规格: | 25 μl | 产品价格: | ¥1700.0 |
BrdU antibody [HL1111] detects BrdU protein at nucleolus by immunofluorescent analysis.
Sample: Mock and treated HeLa cells were fixed in 4% PFA at RT for 15 min.
Green: BrdU stained by BrdU antibody [HL1111] (GTX636326) diluted at 1:2000.
Blue: Fluoroshield with DAPI (GTX30920).
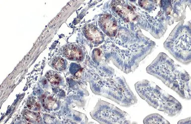
BrdU antibody [HL1111] detects Bromodeoxyuridine(BrdU) at nucleus in mouse BrdU treated intestine by immunohistochemical analysis.
Sample: Paraffin-embedded mouse intestinal tissue pulsed with BrdU.
BrdU stained by BrdU antibody [HL1111] (GTX636326) diluted at 1:100.
Antigen Retrieval: Citrate buffer, pH 6.0, 15 min
BrdU antibody [HL1111] detects BrdU protein at nucleus by immunofluorescent analysis.
Sample: Mock and treated HeLa cells were fixed in 4% PFA at RT for 15 min.
Green: BrdU stained by BrdU antibody [HL1111] (GTX636326) diluted at 1:2000 and competitor's antibody ([BU1/75 (ICR1)]) diluted at 1:2000.
Blue: Fluoroshield with DAPI (GTX30920).
风险提示:丁香通仅作为第三方平台,为商家信息发布提供平台空间。用户咨询产品时请注意保护个人信息及财产安全,合理判断,谨慎选购商品,商家和用户对交易行为负责。对于医疗器械类产品,请先查证核实企业经营资质和医疗器械产品注册证情况。
文献和实验a variety of cellular sources from human olfactory epithelium (Hahn et al., 2005) and neural progenitors (Nieoullon et al., 2005) to neural stem cells (Chu et al., 2004). BrdU antibody from Abcam Identification of the labelled cells can be applied
Immunohistochemistry and Detection of Proliferating Cells by BrdU
Immunohistochemistry is a classic technique used for the localization of antigenic target molecules in �tissue. The method exploits the principle that the target antigen is recognized by specific antibody and is visualized using different
Anti-GFP/BrdU In Situ Immunostaining
IgG (Jackson ImmunoResearch, 111-096-006) Biotinylated anti-BrdU (AbCam, ab2284-125) Streptavidin-Alexa Flour 555 (Invitrogen/Molecular Probes, S21381) Goat serum Horse serum BSA 2N HCl DAPI Fluorescent mounting medium (Vectashield
技术资料暂无技术资料 索取技术资料





![Emerin antibody [EMD/2167]](https://img1.dxycdn.com/2023/0711/451/6106825198874858761-14.jpg!wh200)
![GPR146 antibody [C1C2], Internal](https://img1.dxycdn.com/2023/0711/255/2344116916935858761-14.jpg!wh200)
![CKII alpha antibody [N1C3]](https://img1.dxycdn.com/2023/0516/045/6925717576889828561-14.jpg!wh200)

