相关产品推荐更多 >
万千商家帮你免费找货
0 人在求购买到急需产品
- 详细信息
- 文献和实验
- 技术资料
- 免疫原:
KLH conjugated synthetic peptide between 80-109 amino acids from the N-terminal region of human Hsp 60.
- 亚型:
IgG
- 形态:
Liquid
- 保存条件:
Store as concentrated solution. Centrifuge briefly prior to opening vial. For short-term storage (1-2 weeks), store at 4ºC. For long-term storage, aliquot and store at -20ºC or below. Avoid multiple freeze-thaw cycles.
- 克隆性:
Polyclonal
- 标记物:
Unconjugated
- 适应物种:
Human, Mouse
- 保质期:
12 months from the shipping date of the product.
- 抗原来源:
Human
- 目录编号:
GTX81712
- 级别:
Primary Antibodies
- 库存:
Available
- 供应商:
GeneTex
- 宿主:
Rabbit
- 应用范围:
WB, IHC-P
- 浓度:
Batch dependent (Please refer to the vial label for the specific concentration.)
- 靶点:
Hsp 60
- 抗体英文名:
Hsp 60 antibody, N-term
- 抗体名:
Hsp 60 抗体, N-term
- 规格:
400 μl
WB analysis of various samples using GTX81712 Hsp 60 antibody, N-term.
Lane 1: Raji whole cell lysates
Lane 2: K562 whole cell lysates
Lane 3: Jurkat whole cell lysates
Lane 4: HeLa whole cell lysates
Loading : 20 μg per lane
Dilution : 1:2000
IHC-P analysis of human lung carcinoma using GTX81712 Hsp 60 antibody, N-term.
WB analysis of mouse lung tissue lysate (35ug/lane) using GTX81712 Hsp 60 antibody, N-term.
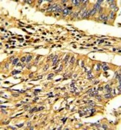
IHC-P analysis of human pancreas tissue using GTX81712 Hsp 60 antibody, N-term.
Antigen retrieval : heat-induced antigen retrieval with citrate buffer (pH6)
Dilution : 1:25
WB analysis of various samples using GTX81712 Hsp 60 antibody, N-term.
Lane 1: K562 whole cell lysate
Lane 2: 293T/17 whole cell lysate
Lane 3: Jurkat whole cell lysate
Loading : 20 μg per lane
Dilution : 1:2000
风险提示:丁香通仅作为第三方平台,为商家信息发布提供平台空间。用户咨询产品时请注意保护个人信息及财产安全,合理判断,谨慎选购商品,商家和用户对交易行为负责。对于医疗器械类产品,请先查证核实企业经营资质和医疗器械产品注册证情况。
文献和实验稀释液加入到一支 1.5ml 进口聚丙烯管中 , 再加 10ul 血清或血浆标本。 2. 加20ul 1 N HC I ,盖紧,上下混匀。 2 - 8 ℃ 放置60± 2 分钟。 3. 加20ul 1 N NaOH, 盖紧,上下混匀。 4. 即用,或放-20/-70 ℃ 保存3 天。计算结果时乘 以稀释倍数 50 。 ( 注意:不同的标本HSP60 的水平可能有较大差异,请根据实际情况灵活掌握稀释度)
Immunohistochemistry of Human Hsp60 in Health and Disease: From Autoimmunity to Cancer
Hsp60 (also called Cpn60) is a chaperonin with essential functions for cell physiology and survival. Additionally, its involvement in the pathogenesis of a number of diseases (e.g., some autoimmune disorders and cancer) is becoming evident
RT-PCR Quantitation of HSP60 mRNA Expression
Heat shock protein 60 (HSP60, HSPD1) is a “chaperonin” that facilitates folding of nascent proteins into proper conformations (1 ). It is thought to play a critical role in the assembly, folding, and transport of proteins in the mitochondria
技术资料暂无技术资料 索取技术资料






![CD226 antibody [N1C2]](https://img1.dxycdn.com/2023/0516/050/2572066211091928561-14.jpg!wh200)



