相关产品推荐更多 >
万千商家帮你免费找货
0 人在求购买到急需产品
- 详细信息
- 文献和实验
- 技术资料
- 免疫原:
KLH conjugated synthetic peptide between 230-257 amino acids from the Central region of human M-CSF.
- 亚型:
IgG
- 形态:
Liquid
- 保存条件:
Store as concentrated solution. Centrifuge briefly prior to opening vial. For short-term storage (1-2 weeks), store at 4ºC. For long-term storage, aliquot and store at -20ºC or below. Avoid multiple freeze-thaw cycles.
- 克隆性:
Polyclonal
- 标记物:
Unconjugated
- 适应物种:
Human
- 保质期:
12 months from the shipping date of the product.
- 抗原来源:
Human
- 目录编号:
GTX81735
- 级别:
Primary Antibodies
- 库存:
Available
- 供应商:
GeneTex
- 宿主:
Rabbit
- 应用范围:
WB, ICC/IF, IHC-P, FACS
- 浓度:
Batch dependent (Please refer to the vial label for the specific concentration.)
- 靶点:
M-CSF
- 抗体英文名:
M-CSF antibody, Internal
- 抗体名:
M-CSF 抗体, Internal
- 规格:
400 μl
ICC/IF analysis of MDA-MB231 cells using GTX81735 M-CSF antibody, Internal.
Green : M-CSF
Blue : DAPI
WB analysis of human placenta tissue lysate using GTX81735 M-CSF antibody, Internal.
Loading : 35ug per lane
Dilution : 1:1000
FACS analysis of 293 cells using GTX81735 M-CSF antibody, Internal.
Green : primary antibody
Blue : negative control
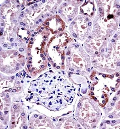
IHC-P analysis of human kidney tissue using GTX81735 M-CSF antibody, Internal.
风险提示:丁香通仅作为第三方平台,为商家信息发布提供平台空间。用户咨询产品时请注意保护个人信息及财产安全,合理判断,谨慎选购商品,商家和用户对交易行为负责。对于医疗器械类产品,请先查证核实企业经营资质和医疗器械产品注册证情况。
文献和实验Preparation and Assay of Acetylcholinesterase Antibody
structures mimicking external antigen results from the fact that the conformation of some of the anti-idiotypic antibodies may be complementary to the three-dimensional structure of the binding site of the first antibody, and therefore, represents
Protocol for anti-HA antibody Western Blotting
film for ~2 mins. Notes on the primary antibody: Source : Covance/Babco Description: Crude ascites fluid monoclonal anti-HA antibody (CATLN#135032002, 11mms-101R, 0.5 ml) Handling: Aliquoted into 10ul portions in -20℃ Internal notes: labelled anti
人巨噬细胞集落刺激因子(M-CSF)ELISA试剂盒 说明书
上海西唐生物科技有限公司 021-55229872, 65333639 www.westang.com 人巨噬细胞集落刺激因子 (M-CSF)ELISA 试剂盒 ( 用于血清、血浆、细胞培养上清液和其它生物体液内 ) 原理 本实验采用双抗体夹心 ABC-ELISA 法。用抗人 M-CSF 单抗包被于酶标板上,标准品和样品中的 M-CSF与单抗结合,加入生物素化的抗人
技术资料暂无技术资料 索取技术资料







![Geminin antibody [2H7]](https://img1.dxycdn.com/2023/0711/451/6106825198874858761-14.jpg!wh200)

