相关产品推荐更多 >
万千商家帮你免费找货
0 人在求购买到急需产品
- 详细信息
- 文献和实验
- 技术资料
- 免疫原:
Recombinant protein encompassing a sequence within the center region of human CML66. The exact sequence is proprietary.
- 亚型:
IgG
- 形态:
Liquid
- 保存条件:
Store as concentrated solution. Centrifuge briefly prior to opening vial. For short-term storage (1-2 weeks), store at 4ºC. For long-term storage, aliquot and store at -20ºC or below. Avoid multiple freeze-thaw cycles.
- 克隆性:
Polyclonal
- 标记物:
Unconjugated
- 适应物种:
Human
- 保质期:
12 months from the shipping date of the product.
- 抗原来源:
Human
- 目录编号:
GTX117007
- 级别:
Primary Antibodies
- 库存:
Available
- 供应商:
GeneTex
- 宿主:
Rabbit
- 应用范围:
WB, IHC-P
- 浓度:
1 mg/ml (Please refer to the vial label for the specific concentration.)
- 靶点:
CML66
- 抗体英文名:
CML66 antibody
- 抗体名:
CML66 抗体
- 规格:
100 μl/25 μl
| 规格: | 100 μl | 产品价格: | ¥4000.0 |
|---|---|---|---|
| 规格: | 25 μl | 产品价格: | ¥1700.0 |
Sample (30 ug of whole cell lysate)
A: NT2D1
7.5% SDS PAGE
GTX117007 diluted at 1:10000
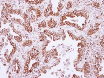
Immunohistochemical analysis of paraffin-embedded human lung adenocarcinoma, using CML66(GTX117007) antibody at 1:500 dilution.
Antigen Retrieval: Trilogy™ (EDTA based, pH 8.0) buffer, 15min
风险提示:丁香通仅作为第三方平台,为商家信息发布提供平台空间。用户咨询产品时请注意保护个人信息及财产安全,合理判断,谨慎选购商品,商家和用户对交易行为负责。对于医疗器械类产品,请先查证核实企业经营资质和医疗器械产品注册证情况。
文献和实验CD66a/CD66b/CD66c/CD66d/CD66e/CD66f/CD67分子
CD66a/CD66b/CD66c/CD66d/CD66e/CD66f/CD67 分子 CD66a 常用单克隆抗体或代号: BGP- 1 主要表达细胞: G,En [M] 分子质量(kDa)和结构: gp180- 200(胆汁糖蛋白- 1)(IgSF) 功 能: 嗜同性结合,也可识别CD62E CD66b 常用单克隆抗体或代号: MF25.1;(P100,原CD67,CGM6) 主要表达
CML Mouse Model in Translational Research
Chronic myeloid leukemia (CML) is a myeloproliferative disorder characterized by increased proliferation of granulocytic cells without the loss of their capability to differentiate. CML is derived from the hematopoietic stem cells
Monitoring Nutrient Signaling Through the Longevity Protein p66SHC1
to nutrients through the longevity protein p66SHC1 and the mTOR/S6K cascade, which might be used to study cellular senescence and its chemical modulation by pharmaceutical agents in vitro.
技术资料暂无技术资料 索取技术资料








