相关产品推荐更多 >
万千商家帮你免费找货
0 人在求购买到急需产品
- 详细信息
- 文献和实验
- 技术资料
- 免疫原:
Purified recombinant fragment of human ERK2 expressed in E. Coli.
- 亚型:
IgG2a
- 形态:
Liquid
- 保存条件:
Store as concentrated solution. Centrifuge briefly prior to opening vial. For short-term storage (1-2 weeks), store at 4ºC. For long-term storage, aliquot and store at -20ºC or below. Avoid multiple freeze-thaw cycles.
- 克隆性:
Monoclonal
- 标记物:
Unconjugated
- 适应物种:
Human, Mouse, Monkey
- 保质期:
12 months from the shipping date of the product.
- 抗原来源:
Human
- 目录编号:
GTX83148
- 级别:
Primary Antibodies
- 库存:
Available
- 供应商:
GeneTex
- 宿主:
Mouse
- 应用范围:
WB, ICC/IF, IHC-P, ELISA
- 浓度:
Batch dependent (Please refer to the vial label for the specific concentration.)
- 靶点:
ERK2
- 抗体英文名:
ERK2 antibody [4C11]
- 抗体名:
ERK2 抗体 [4C11]
- 规格:
100 μl
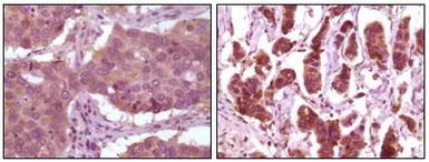
IHC-P analysis of human lung carcinoma (left) and breast carcinoma (right) using GTX83148 ERK2 antibody [4C11].
ICC/IF analysis of Eca-109 cells using GTX83148 ERK2 antibody [4C11].
Green : ERK2
Red : Actin filament
WB analysis of HeLa (1), NIH3T3 (2), MCF-7 (3), HEK293 (4), Jurkat (5), A549 (6), NTERA-2 (7) and SMMC-7721 (8) cell lysate using GTX83148 ERK2 antibody [4C11].
风险提示:丁香通仅作为第三方平台,为商家信息发布提供平台空间。用户咨询产品时请注意保护个人信息及财产安全,合理判断,谨慎选购商品,商家和用户对交易行为负责。对于医疗器械类产品,请先查证核实企业经营资质和医疗器械产品注册证情况。
文献和实验MAP-kinase antibody and anti-Dictyostelium ERK2 antibody. In this chapter, we describe the methods we have used to assess the level of activated ERK2 and partial involvement of G protein in cAMP-induced ERK2 activation.
secondary antibody review -- data from 99 publications
cytometry used as a control to detect cell responses targeted antigen 7 Alexa Fluor 488 7 Cy3 8 goat IgG Alexa Fluor 488 1:2000 detect antibody binding in human embryonic kidney 293T cells Invitrogen 9 donkey
liuxing0626 各位学长好: 我买的ProteinTECH公司的 ERK1 抗体 western blot 条带有两条,公司的说明书也是两条,请问这是个怎么情况?而且我要做ERK1/2。但是ERK2也是单买的,混起来用的话会不会出来3条带了。 ERK1产品地址http://www.ptglab.com/Products/ERK1-Antibody-11257-1-AP.htm liuxing0626
技术资料暂无技术资料 索取技术资料





![eIF4E antibody [5D11]](https://img1.dxycdn.com/2023/0711/451/6106825198874858761-14.jpg!wh200)


![PI3 kinase p110 gamma antibody [C3], C-term](https://img1.dxycdn.com/2023/0711/255/2344116916935858761-14.jpg!wh200)

