相关产品推荐更多 >
万千商家帮你免费找货
0 人在求购买到急需产品
- 详细信息
- 文献和实验
- 技术资料
- 免疫原:
Purified recombinant fragment of EphB6 expressed in E. Coli.
- 亚型:
IgG1
- 形态:
Liquid
- 保存条件:
Store as concentrated solution. Centrifuge briefly prior to opening vial. For short-term storage (1-2 weeks), store at 4ºC. For long-term storage, aliquot and store at -20ºC or below. Avoid multiple freeze-thaw cycles.
- 克隆性:
Monoclonal
- 标记物:
Unconjugated
- 适应物种:
Human, Mouse
- 保质期:
12 months from the shipping date of the product.
- 抗原来源:
Human
- 目录编号:
GTX83219
- 级别:
Primary Antibodies
- 库存:
Available
- 供应商:
GeneTex
- 宿主:
Mouse
- 应用范围:
WB, IHC-P, ELISA
- 浓度:
Batch dependent (Please refer to the vial label for the specific concentration.)
- 靶点:
It is only specific to EPHB6
- 抗体英文名:
EphB6 antibody [8E7H12]
- 抗体名:
EphB6 抗体 [8E7H12]
- 规格:
100 μl
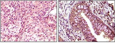
IHC-P analysis of human bladder carcinoma (left) and return carcinoma (right) tissue using GTX83219 EphB6 antibody [8E7H12].
WB analysis of Jurkat (1) and NIH3T3 (2) cell lysate using GTX83219 EphB6 antibody [8E7H12].
风险提示:丁香通仅作为第三方平台,为商家信息发布提供平台空间。用户咨询产品时请注意保护个人信息及财产安全,合理判断,谨慎选购商品,商家和用户对交易行为负责。对于医疗器械类产品,请先查证核实企业经营资质和医疗器械产品注册证情况。
文献和实验Polyclonal and Monoclonal Antibodies
Polyclonal Antibody Immunization of Mice: Injections should be made at intervals of at least two weeks.. We have been using either of the two following adjuvants with success: Freund adjuvant and MPL+TDM adjuvant ( RIBI ImmunoChem
Enzyme-Linked ImmunoSorbent Assay (ELISA) for NGF
A. DAY 1 PROCEDURE• ABSORPTION OF THE POLYCLONAL AND PREIMMUNE SERUMThe Goat Anti-Mouse (GAM) NGF polyclonal antibody recognizes 2.5B NGF and the Goat IgG (GIG) preimmune serum serves as a control for the antibody (Hazleton). The relative signal
【共享】Methods in molecular biology 下载
Protocols http://3.mihd.net/dl/7908abc9edc3ff616d1e24b7aeb83c2e/46c92e7d/3-lkytdq-14359732/gene_transfer_and_expression_protocols.www.forumakademi.org.rar j1234561整理 rapidshare password: www.bioboss.com Vol 8 Practical Molecular Virology http
技术资料暂无技术资料 索取技术资料






![eIF1 antibody [2B9]](https://img1.dxycdn.com/2023/0711/451/6106825198874858761-14.jpg!wh200)


