相关产品推荐更多 >
万千商家帮你免费找货
0 人在求购买到急需产品
- 详细信息
- 文献和实验
- 技术资料
- 免疫原:
Purified recombinant fragment of human CCNB1 expressed in E. Coli.
- 亚型:
IgG1
- 形态:
Liquid
- 保存条件:
Store as concentrated solution. Centrifuge briefly prior to opening vial. For short-term storage (1-2 weeks), store at 4ºC. For long-term storage, aliquot and store at -20ºC or below. Avoid multiple freeze-thaw cycles.
- 克隆性:
Monoclonal
- 标记物:
Unconjugated
- 适应物种:
Human, Rat
- 保质期:
12 months from the shipping date of the product.
- 抗原来源:
Human
- 目录编号:
GTX82758
- 级别:
Primary Antibodies
- 库存:
Available
- 供应商:
GeneTex
- 宿主:
Mouse
- 应用范围:
WB, IHC-P, ELISA
- 靶点:
Cyclin B1
- 抗体英文名:
Cyclin B1 antibody [1B10]
- 抗体名:
Cyclin B1 抗体 [1B10]
- 规格:
100 μl
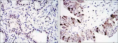
IHC-P analysis of lung cancer (left) and ovary tumour tissue (right) using GTX82758 Cyclin B1 antibody [1B10].
WB analysis of HeLa (1), Jurkat (2), K562 (3) and PC-12 (4) cell lysate using GTX82758 Cyclin B1 antibody [1B10].
风险提示:丁香通仅作为第三方平台,为商家信息发布提供平台空间。用户咨询产品时请注意保护个人信息及财产安全,合理判断,谨慎选购商品,商家和用户对交易行为负责。对于医疗器械类产品,请先查证核实企业经营资质和医疗器械产品注册证情况。
文献和实验of microinjecting cRNA to proteins of interest that have been coupled to a fluorescent protein using cyclin B1 as an example.
2 瓶 底物工作液( TMB Solution ) 12ml 第一抗体工作液( Biotinylated Antibody ) 12ml 终止液 ( Stop Solution ) 12ml
Immunodetection of cyclin D1 and D2/D3 using flow cytometry
that has been kept -20°C. Incubate the cells for at least two hours. Wash once with staining buffer and decant. Add the primary anti-cyclin antibody in a volume of 200 µ l. Incubate overnight at 4°C. Wash twice with cold cyclin staining buffer and add the Cy
技术资料暂无技术资料 索取技术资料







![IKB alpha antibody [6A920]](https://img1.dxycdn.com/2023/0711/451/6106825198874858761-14.jpg!wh200)

