相关产品推荐更多 >
万千商家帮你免费找货
0 人在求购买到急需产品
- 详细信息
- 文献和实验
- 技术资料
- 免疫原:
Purified recombinant fragment of CD80 expressed in E. Coli.
- 亚型:
IgG1
- 形态:
Liquid
- 保存条件:
Store as concentrated solution. Centrifuge briefly prior to opening vial. For short-term storage (1-2 weeks), store at 4ºC. For long-term storage, aliquot and store at -20ºC or below. Avoid multiple freeze-thaw cycles.
- 克隆性:
Monoclonal
- 标记物:
Unconjugated
- 适应物种:
Human
- 保质期:
12 months from the shipping date of the product.
- 抗原来源:
Human
- 目录编号:
GTX83265
- 级别:
Primary Antibodies
- 库存:
Available
- 供应商:
GeneTex
- 宿主:
Mouse
- 应用范围:
ICC/IF, IHC-P, ELISA
- 靶点:
CD80
- 抗体英文名:
CD80 antibody [2A2]
- 抗体名:
CD80 抗体 [2A2]
- 规格:
100 μl
ICC/IF analysis of BCBL-1 cells using GTX83265 CD80 antibody [2A2].
Green : CD80
Blue: DRAQ5 fluorescent DNA dye
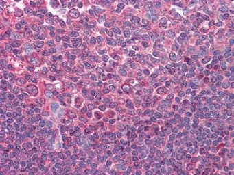
IHC-P analysis of human Tonsil tissue using GTX83265 CD80 antibody [2A2].
风险提示:丁香通仅作为第三方平台,为商家信息发布提供平台空间。用户咨询产品时请注意保护个人信息及财产安全,合理判断,谨慎选购商品,商家和用户对交易行为负责。对于医疗器械类产品,请先查证核实企业经营资质和医疗器械产品注册证情况。
文献和实验Immunoprecipitation of PDE2 Phosphorylated and Inactivated by an Associated Protein Kinase
4 . I describe protocols for producing an antibody to an aminoterminal bacterial fusion protein encoding amino acids 1–251 of PDE2A2 as well as the use of this antibody in immunoprecipitating a PDE2:tyrosine protein-kinase complex from rat brain or PC12 cells.
Incorporation of Immunomodulators into Plasmid DNA Vaccines
. These may include cytokines, chemokines, costimulatory molecules, or hemopoietic growth factors (see ref. 1 ). The choice of immunomodulatory molecule reflects the polarization of the immune response (Th1 and cell-mediated or Th2 and antibody) selected to eliminate
Induction and Detection of T-Cell Responses
at the mucosal site of infection or neutralizing antibodies in the serum, provides the first line of defense against invading microorganisms. However, cellular immunity, mediated by T-cells, also plays a major role in protection against foreign pathogens. CD80
技术资料暂无技术资料 索取技术资料







![Albumin antibody [1A9]](https://img1.dxycdn.com/2023/0711/451/6106825198874858761-14.jpg!wh200)

