相关产品推荐更多 >
万千商家帮你免费找货
0 人在求购买到急需产品
- 详细信息
- 文献和实验
- 技术资料
- 免疫原:
Mouse monoclonal MD-2 antibody was raised against a recombinant protein corresponding to amino acids 2 to 160 of human MD-2.
- 亚型:
IgG1
- 形态:
Liquid
- 保存条件:
Store as concentrated solution. Centrifuge briefly prior to opening vial. For short-term storage (1-2 weeks), store at 4ºC. For long-term storage, aliquot and store at -20ºC or below. Avoid multiple freeze-thaw cycles.
- 克隆性:
Monoclonal
- 标记物:
Unconjugated
- 适应物种:
Human, Mouse
- 保质期:
12 months from the shipping date of the product.
- 抗原来源:
Human
- 目录编号:
GTX85122
- 级别:
Primary Antibodies
- 库存:
Available
- 供应商:
GeneTex
- 宿主:
Mouse
- 应用范围:
WB, IHC-P, ELISA
- 浓度:
1 mg/ml (Please refer to the vial label for the specific concentration.)
- 靶点:
MD2
- 抗体英文名:
MD2 antibody [9F1B1]
- 抗体名:
MD2 抗体 [9F1B1]
- 规格:
100 μg
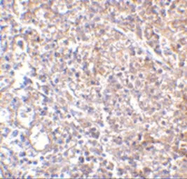
IHC-P analysis of human spleen tissue using GTX85122 MD2 antibody [9F1B1].
Working concentration : 20 μg/ml
WB analysis of (A) 25 and (B) 125 ng MD-2 recombinant protein using GTX85122 MD2 antibody [9F1B1].
Working concentration : 1 μg/ml
IHC-P analysis of human spleen tissue using GTX85122 MD2 antibody [9F1B1].
Working concentration : 2.5 μg/ml
风险提示:丁香通仅作为第三方平台,为商家信息发布提供平台空间。用户咨询产品时请注意保护个人信息及财产安全,合理判断,谨慎选购商品,商家和用户对交易行为负责。对于医疗器械类产品,请先查证核实企业经营资质和医疗器械产品注册证情况。
文献和实验人整合素a1b1(Integrin a1b1)ELISA试剂盒 说明书
第一抗体工作液( Biotinylated Antibody ) 12ml 终止液 (Stop Solution ) 12ml 准备试剂与收集血样 1. 收集标本:血清、血浆(EDTA )、细胞培养上清液、组织匀浆等尽早检测, 2-8 ℃ 保存48 小时;更长时间须
/qcGn3xl9HgUEYgIHKAIpKIm+QBt+VjtiEBEICLwmgj8xzSqg7Wzr5ntXnIyyBnEidw4IBF/IwIRgVcjEEnyqxGJxxGBiEBEICIQEYgIRAQiAgc8Avvwt7QDvu0iABGBiEBEICIQEYgIRAQiAnsIgUiS9xCwMduIQEQgIhARiAhEBCICEYF9F4FIkvfdtouSRwQiAhGBiEBEICIQEYgI7CEEIkneQ8DGbCMCEYGIQEQgIhARiAhEBPZdBCJJ
[资源] 所有的看家基因(housekeeping genes)列表+引物设计服务
sapiens synaptogyrin 2 (SYNGR2), mRNA 1414 NM_001127 Homo sapiens adaptor-related protein complex 1, beta 1 subunit (AP1B1), transcript variant 1, mRNA 873 NM_002107 Homo sapiens H3 histone, family 3A (H3F3A), mRNA 9328 NM_003899 Homo sapiens Rho
技术资料暂无技术资料 索取技术资料






![Aurora B antibody [AURKB/3121R]](https://img1.dxycdn.com/2023/0711/451/6106825198874858761-14.jpg!wh200)



