相关产品推荐更多 >
万千商家帮你免费找货
0 人在求购买到急需产品
- 详细信息
- 文献和实验
- 技术资料
- 免疫原:
Recombinant protein expressed in E.coli corresponding to amino acids 1-210 of human TNNI3
- 亚型:
IgG2a
- 形态:
Liquid
- 保存条件:
Store as concentrated solution. Centrifuge briefly prior to opening vial. For short-term storage (1-2 weeks), store at 4ºC. For long-term storage, aliquot and store at -20ºC or below. Avoid multiple freeze-thaw cycles.
- 克隆性:
Monoclonal
- 标记物:
Unconjugated
- 适应物种:
Human
- 保质期:
12 months from the shipping date of the product.
- 抗原来源:
Human
- 目录编号:
GTX83502
- 级别:
Primary Antibodies
- 库存:
Available
- 供应商:
GeneTex
- 宿主:
Mouse
- 应用范围:
WB, IHC-P
- 浓度:
1 mg/ml (Please refer to the vial label for the specific concentration.)
- 靶点:
Cardiac Troponin I
- 抗体英文名:
Cardiac Troponin I antibody [3G2]
- 抗体名:
Cardiac Troponin I 抗体 [3G2]
- 规格:
100 μl
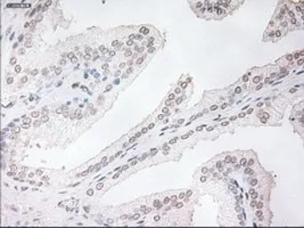
IHC-P analysis of prostate tissue using GTX83502 Cardiac Troponin I antibody [3G2].
Antigen retrieval : Heat-induced epitope retrieval by 10mM citrate buffer, pH6.0, 100ºC for 10min.
Dilution : 1:50
WB analysis of HEK293T cells transfected with Cardiac Troponin I plasmid (Right) or empty vector (Left) for 48 hrs using GTX83502 Cardiac Troponin I antibody [3G2].
Loading : 5 ug per lane
风险提示:丁香通仅作为第三方平台,为商家信息发布提供平台空间。用户咨询产品时请注意保护个人信息及财产安全,合理判断,谨慎选购商品,商家和用户对交易行为负责。对于医疗器械类产品,请先查证核实企业经营资质和医疗器械产品注册证情况。
文献和实验Optimization of Cardiac Troponin I Pull-Down by Idm Affinity Beads and SELDI-TOF
Cardiac troponin I (cTnI) is a key regulator of cardiac muscle contraction. Upon myocardial cell injury, cTnI is lost from the cardiac myocyte and can be detected in serum, in some cases with specific disease-induced modifications, making
-rich region] of the rat cardiac troponin T promoter. In GMSA, the specificity of the binding of trans-acting factor to labeled DNA probe should be verified by the addition of unlabeled probe in the reaction mixture. The migratory property of DNA-protein
. The released enzymes include creatine kinase, lactate dehydrogenase, and aspartate aminotransferase; the proteins released include troponin T, troponin I, and myoglobin. (See Release of cardiac enzymes and proteins .) Stenosis
技术资料暂无技术资料 索取技术资料





![XPD antibody [N2C2], Internal](https://img1.dxycdn.com/2023/0516/045/6925717576889828561-14.jpg!wh200)




