相关产品推荐更多 >
万千商家帮你免费找货
0 人在求购买到急需产品
- 详细信息
- 文献和实验
- 技术资料
- 免疫原:
Full length human recombinant protein of human SLC2A5 (NP_003030) produced in HEK293T cell.
- 亚型:
IgG1
- 形态:
Liquid
- 保存条件:
Store as concentrated solution. Centrifuge briefly prior to opening vial. For short-term storage (1-2 weeks), store at 4ºC. For long-term storage, aliquot and store at -20ºC or below. Avoid multiple freeze-thaw cycles.
- 克隆性:
Monoclonal
- 标记物:
Unconjugated
- 适应物种:
Human, Mouse, Rat, Dog, Monkey
- 保质期:
12 months from the shipping date of the product.
- 抗原来源:
Human
- 目录编号:
GTX83627
- 级别:
Primary Antibodies
- 库存:
Available
- 供应商:
GeneTex
- 宿主:
Mouse
- 应用范围:
WB, ICC/IF, IHC-P, FACS, IP
- 浓度:
1 mg/ml (Please refer to the vial label for the specific concentration.)
- 靶点:
GLUT5
- 抗体英文名:
GLUT5 antibody [14C8]
- 抗体名:
GLUT5 抗体 [14C8]
- 规格:
100 μl
FACS analysis of HEK293T cells transfected with either GLUT5 plasmid(Red) or empty vector control plasmid(Blue) using GTX83627 GLUT5 antibody [14C8].
ICC/IF analysis of COS7 cells transiently transfected with GLUT5 plasmid using GTX83627 GLUT5 antibody [14C8].
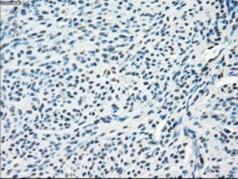
IHC-P analysis of human endometrium tissue using GTX83627 GLUT5 antibody [14C8].
Antigen retrieval : Heat-induced epitope retrieval by 10mM citrate buffer, pH6.0, 100ºC for 10min.
WB analysis of various cell lines using GTX83627 GLUT5 antibody [14C8].
Loading : 35 ug per lane
Dilution : 1:200
WB analysis of HEK293T cells transfected with GLUT5 plasmid (Right) or empty vector (Left) for 48 hrs using GTX83627 GLUT5 antibody [14C8].
Loading : 5 ug per lane
IP analysis of DDDDK tagged GLUT5 overexpressed HEK293T lysate using GTX83627 GLUT5 antibody [14C8].After extensive wash to remove any non-specific binding, the immuno-precipitated products were analyzed with rabbit anti-DDDDK polyclonal antibody.
IP reaction : 2μg antibody / 500μl cell lysate
风险提示:丁香通仅作为第三方平台,为商家信息发布提供平台空间。用户咨询产品时请注意保护个人信息及财产安全,合理判断,谨慎选购商品,商家和用户对交易行为负责。对于医疗器械类产品,请先查证核实企业经营资质和医疗器械产品注册证情况。
文献和实验上海西唐生物科技有限公司 021-55229872, 65333639 www.westang.com 人葡萄糖转运蛋白 ( Glut-1 )ELISA 试剂盒 ( 用于血清、血浆、细胞培养上清液和其它生物体液内 ) 原理 本实验采用双抗体夹心 ABC-ELISA 法。用抗人 Glut-1 单抗包被于酶标板上,标准品和样品中的 Glut-1与单抗结合,加入生物
Making antibodies to synthetic peptides
You'll need to couple the synthetic peptide hapten to a protein carrier, with a bifunctional reagent. For antibody development, we don't bother to use highly purified peptide. Crude (unpurified) peptide or partially purified peptide
Making antibodies to synthetic pepti
You'll need to couple the synthetic peptide hapten to a protein carrier, with a bifunctional reagent. For antibody development, we don't bother to use highly purified peptide. Crude (unpurified) peptide or partially purified peptide
技术资料暂无技术资料 索取技术资料





![Ly-6B.2 antibody [7/4]](https://img1.dxycdn.com/2023/0711/451/6106825198874858761-14.jpg!wh200)
![HYAL2 antibody [N2C2], Internal](https://img1.dxycdn.com/2023/0711/255/2344116916935858761-14.jpg!wh200)
![DC-SIGN antibody [MR-1] (FITC)](https://custom.dxycdn.com/trademd/upload/pic/2011/12/14/1323695851.jpg!small.t.1)

