相关产品推荐更多 >
万千商家帮你免费找货
0 人在求购买到急需产品
- 详细信息
- 技术资料
- 免疫原:
Full length human recombinant protein of human GSTA4 (NP_001503) produced in HEK293T cell.
- 亚型:
IgG1
- 形态:
Liquid
- 保存条件:
Store as concentrated solution. Centrifuge briefly prior to opening vial. For short-term storage (1-2 weeks), store at 4ºC. For long-term storage, aliquot and store at -20ºC or below. Avoid multiple freeze-thaw cycles.
- 克隆性:
Monoclonal
- 标记物:
Unconjugated
- 适应物种:
Human
- 保质期:
12 months from the shipping date of the product.
- 抗原来源:
Human
- 目录编号:
GTX84405
- 级别:
Primary Antibodies
- 库存:
Available
- 供应商:
GeneTex
- 宿主:
Mouse
- 应用范围:
WB, IHC-P, FACS
- 浓度:
1 mg/ml (Please refer to the vial label for the specific concentration.)
- 靶点:
GSTA4
- 抗体英文名:
GSTA4 antibody [3F5]
- 抗体名:
GSTA4 抗体 [3F5]
- 规格:
100 μl
FACS analysis of HeLa cells using GTX84405 GSTA4 antibody [3F5].
Red : Primary antibody
Blue : Negative control antibody
WB analysis of HEK293T cells transfected with GSTA4 plasmid (Right) or empty vector (Left) for 48 hrs using GTX84405 GSTA4 antibody [3F5].
Loading : 5 ug per lane
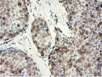
IHC-P analysis of human breast adenocarcinoma tissue using GTX84405 GSTA4 antibody [3F5].
Dilution : 1:150
IHC-P analysis of human liver tissue using GTX84405 GSTA4 antibody [3F5].
Dilution : 1:150
风险提示:丁香通仅作为第三方平台,为商家信息发布提供平台空间。用户咨询产品时请注意保护个人信息及财产安全,合理判断,谨慎选购商品,商家和用户对交易行为负责。对于医疗器械类产品,请先查证核实企业经营资质和医疗器械产品注册证情况。
技术资料暂无技术资料 索取技术资料






![mTOR antibody [C1], Internal](https://img1.dxycdn.com/2023/0516/045/6925717576889828561-14.jpg!wh200)
![CD62L antibody [FMC46]](https://custom.dxycdn.com/trademd/upload/pic/2011/12/20/1324015994.jpg!small.t.1)


