相关产品推荐更多 >
万千商家帮你免费找货
0 人在求购买到急需产品
- 详细信息
- 文献和实验
- 技术资料
- 免疫原:
Full-length protein expressed in 293T cell transfected with human BRAF expression vector
- 亚型:
IgG2a
- 形态:
Liquid
- 保存条件:
Store as concentrated solution. Centrifuge briefly prior to opening vial. For short-term storage (1-2 weeks), store at 4ºC. For long-term storage, aliquot and store at -20ºC or below. Avoid multiple freeze-thaw cycles.
- 克隆性:
Monoclonal
- 标记物:
Unconjugated
- 适应物种:
Human, Monkey
- 保质期:
12 months from the shipping date of the product.
- 抗原来源:
Human
- 目录编号:
GTX84814
- 级别:
Primary Antibodies
- 库存:
Available
- 供应商:
GeneTex
- 宿主:
Mouse
- 应用范围:
WB, IP, ELISA
- 浓度:
1.4 mg/ml (Please refer to the vial label for the specific concentration.)
- 靶点:
B-Raf
- 抗体英文名:
B-Raf antibody [4B2]
- 抗体名:
B-Raf 抗体 [4B2]
- 规格:
100 μl
Sandwich ELISA analysis of BRAF recombinant protein (dilution range from 0.8ng/ml to 600ng/ml) using GTX84820 B-Raf antibody [4A5] (capture antibody) at 5ug/ml and HRP conjugated GTX84814 B-Raf antibody [4B2] (detection antibody) at 0.03ug/ml.
WB analysis of HEK293T cells transfected with B-Raf plasmid (Right) or empty vector (Left) for 48 hrs using GTX84814 B-Raf antibody [4B2].
Loading : 5 ug per lane
IP analysis of DDDDK tagged B-Raf overexpressed HEK293T lysate using GTX84814 B-Raf antibody [4B2].After extensive wash to remove any non-specific binding, the immuno-precipitated products were analyzed with rabbit anti-DDDDK polyclonal antibody.
IP reaction : 2μg antibody / 500μl cell lysate
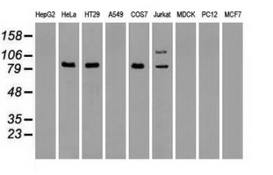
WB analysis of various cell lines using GTX84814 B-Raf antibody [4B2].
Loading : 35 ug per lane
风险提示:丁香通仅作为第三方平台,为商家信息发布提供平台空间。用户咨询产品时请注意保护个人信息及财产安全,合理判断,谨慎选购商品,商家和用户对交易行为负责。对于医疗器械类产品,请先查证核实企业经营资质和医疗器械产品注册证情况。
文献和实验Antibody-Induced Opsonophagocytosis of Serogroup B Meningococci Measured by Flow Cytometry
meningococci, there seems to be a correlation between SBA activity and protection (1 ), whereas OP has been less well-studied. This function may have a supplementary or even major role in protection against group B meningococci.
Buffer and save the flowthrough.(12) Wash with 6 ml Buffer A, 6 ml Buffer B, and 6 ml Buffer A. Hold at room temperature for 30 minutes.(13) Wash with 6 ml Buffer B, 6 ml Buffer A, and 6 ml Buffer B. Wash with Storage Buffer and hold at 4°C.(14) To purify
this method will dilute the antibody by a factor of 2. Using a PD-10 column: a)Wash PD-10 column with 30mL of PBS. b) Add the 1mL FITC-Ig or Biotin Ig solution after the top of column is almost dry. Close stopcock to stop flow after the Antibody
技术资料暂无技术资料 索取技术资料






![GEF-H1 antibody [N1N3]](https://custom.dxycdn.com/trademd/upload/pic/2011/12/20/1324016002.jpg!small.t.1)

