相关产品推荐更多 >
万千商家帮你免费找货
0 人在求购买到急需产品
- 详细信息
- 文献和实验
- 技术资料
- 免疫原:
Peptide with sequence C-PPTDPIPEDEKKE, from the C Terminus of the protein sequence according to NP_003070.3.
- 亚型:
IgG
- 形态:
Liquid
- 保存条件:
Store as concentrated solution. Centrifuge briefly prior to opening vial. For short-term storage (1-2 weeks), store at 4ºC. For long-term storage, aliquot and store at -20ºC or below. Avoid multiple freeze-thaw cycles.
- 克隆性:
Polyclonal
- 标记物:
Unconjugated
- 适应物种:
Human
- 保质期:
12 months from the shipping date of the product.
- 抗原来源:
Human
- 目录编号:
GTX89755
- 级别:
Primary Antibodies
- 库存:
Available
- 供应商:
GeneTex
- 宿主:
Goat
- 应用范围:
WB, IHC-P
- 浓度:
0.50 mg/ml (Please refer to the vial label for the specific concentration.)
- 靶点:
BAF57
- 抗体英文名:
BAF57 antibody, C-term
- 抗体名:
BAF57 抗体, C-term
- 规格:
100 μg
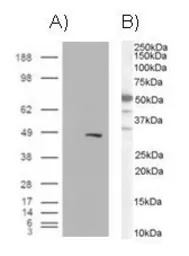
WB analysis of (A) HEK293 overexpressing BAF57 (mock transfection in first lane) (B) Jurkat lysate (35μg) using GTX89755 BAF57 antibody, C-term.
IHC-P analysis of human prostate using GTX89755 BAF57 antibody, C-term.
It shows nuclear staining in secretory epithelial cells.
Dilution : 3-5μg/ml
风险提示:丁香通仅作为第三方平台,为商家信息发布提供平台空间。用户咨询产品时请注意保护个人信息及财产安全,合理判断,谨慎选购商品,商家和用户对交易行为负责。对于医疗器械类产品,请先查证核实企业经营资质和医疗器械产品注册证情况。
文献和实验问:BAF cell的来源是什么?有什么特性和用途呢?答:ATCC上没有你所谓的BAF cell,DSMZ上有两种BAF cell,如下:Cell line:BA-F8Cell type:mouse hybridoma(anti-rat fiber/myosin)Origin:this hybridoma cell line was described to secrete a mouse monoclonal antibody(IgG2b)that reacts with rat type
secondary antibody review -- data from 99 publications
cytometry used as a control to detect cell responses targeted antigen 7 Alexa Fluor 488 7 Cy3 8 goat IgG Alexa Fluor 488 1:2000 detect antibody binding in human embryonic kidney 293T cells Invitrogen 9 donkey
Lipoprotein lipase (LPL) is an N -inked glycoprotein of approximately 57 kDa that is synthesized by a numbel of tissues, including white and brown adipose tissue, heart, skeletal muscle, neonatal liver and brain (1 ,2 ). In these tissues
技术资料暂无技术资料 索取技术资料








