相关产品推荐更多 >
万千商家帮你免费找货
0 人在求购买到急需产品
- 详细信息
- 文献和实验
- 技术资料
- 免疫原:
Peptide with sequence C-SKTPELNLDQFHDKT, from the internal region (near N Terminus) of the protein sequence according to NP_001737.1.
- 亚型:
IgG
- 形态:
Liquid
- 保存条件:
Store as concentrated solution. Centrifuge briefly prior to opening vial. For short-term storage (1-2 weeks), store at 4ºC. For long-term storage, aliquot and store at -20ºC or below. Avoid multiple freeze-thaw cycles.
- 克隆性:
Polyclonal
- 标记物:
Unconjugated
- 适应物种:
Human, Mouse
- 保质期:
12 months from the shipping date of the product.
- 抗原来源:
Human
- 目录编号:
GTX88369
- 级别:
Primary Antibodies
- 库存:
Available
- 供应商:
GeneTex
- 宿主:
Goat
- 应用范围:
WB, ICC/IF, IHC-P, ELISA, Sandwich ELISA
- 浓度:
0.50 mg/ml (Please refer to the vial label for the specific concentration.)
- 靶点:
Calnexin
- 抗体英文名:
Calnexin antibody, Internal (near N-term)
- 抗体名:
Calnexin 抗体, Internal (near N-term)
- 规格:
100 μg
ICC/IF analysis of PFA fixed NIH-3T3 cells using GTX88369 Calnexin antibody, Internal (near N-term).
Green : Primary antibody
Blue : DAPI
Negative control : Unimmunized goat IgG
Permeabilization : 0.15% Triton
Dilution : 5μg/ml
WB analysis of mouse heart lysate using GTX88369 Calnexin antibody, Internal (near N-term).
Dilution : 0.3μg/ml
Loading : 35μg protein in RIPA buffer
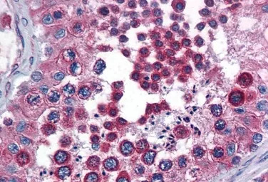
IHC-P analysis of human testis using GTX88369 Calnexin antibody, Internal (near N-term).
Antigen retrieval : citrate buffer pH 6
Dilution : 3.75μg/ml
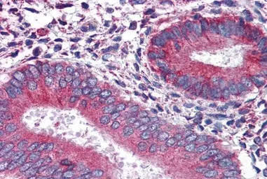
IHC-P analysis of human uterus using GTX88369 Calnexin antibody, Internal (near N-term).
Antigen retrieval : citrate buffer pH 6
Dilution : 3.75μg/ml
ELISA analysis of Calnexin protein using GTX88369 Calnexin antibody, Internal (near N-term).
Capture : GTX112886 (2.5μg/ml)
Detection : GTX88369 (1.5μg/ml)
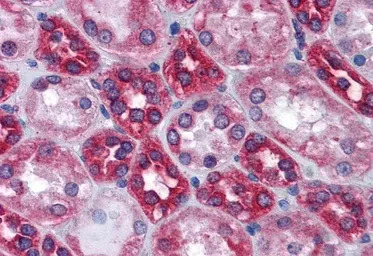
IHC-P analysis of human kidney using GTX88369 Calnexin antibody, Internal (near N-term).
Antigen retrieval : citrate buffer pH 6
Dilution : 3.8μg/ml
风险提示:丁香通仅作为第三方平台,为商家信息发布提供平台空间。用户咨询产品时请注意保护个人信息及财产安全,合理判断,谨慎选购商品,商家和用户对交易行为负责。对于医疗器械类产品,请先查证核实企业经营资质和医疗器械产品注册证情况。
文献和实验In the field of therapeutic recombinant proteins, monoclonal antibodies (mAbs) have achieved a rising success with more than 30 mAbs that have reached the market in the past 20 years. From a structural standpoint, one of the most important
. For most substrates, it is believed, though it has been demonstrated experimentally only for a few, that the first ubiquitin moiety is conjugated, via its C-terminal Gly76 residue, to an ε-NH2 group of an internal Lys residue. Recent findings indicate
Using MZEF to Find Internal Coding Exons
) was designed to help identify one of the most important classes of exons, i.e. the internal coding exons, in human genomic DNA sequences. It is neither for predicting intronless genes, nor for assembling predicted exons into complete gene models
技术资料暂无技术资料 索取技术资料








