相关产品推荐更多 >
万千商家帮你免费找货
0 人在求购买到急需产品
- 详细信息
- 文献和实验
- 技术资料
- 免疫原:
A synthetic peptide corresponding to amino acids 55-70 (VLNLTHNQLRRLPAAN) of human TLR3.
- 亚型:
IgG1
- 形态:
Liquid
- 保存条件:
Store as concentrated solution. Centrifuge briefly prior to opening vial. For short-term storage (1-2 weeks), store at 4ºC. For long-term storage, aliquot and store at -20ºC or below. Avoid multiple freeze-thaw cycles.
- 克隆性:
Monoclonal
- 标记物:
Unconjugated
- 适应物种:
Human, Mouse, Dog
- 保质期:
12 months from the shipping date of the product.
- 抗原来源:
Human
- 目录编号:
GTX13915
- 级别:
Primary Antibodies
- 库存:
Available
- 供应商:
GeneTex
- 宿主:
Mouse
- 应用范围:
WB, ICC/IF, IHC-P, FACS, IP
- 浓度:
1 mg/ml (Please refer to the vial label for the specific concentration.)
- 靶点:
TLR3
- 抗体英文名:
TLR3 antibody [40C1285.6]
- 抗体名:
TLR3 抗体 [40C1285.6]
- 规格:
50 μg
FACS analysis of human B cells using GTX13915 TLR3 antibody [40C1285.6].
Red : primary antibody
Green : isotype control
Dilution : 1 μg/1 x 10⁶ cells
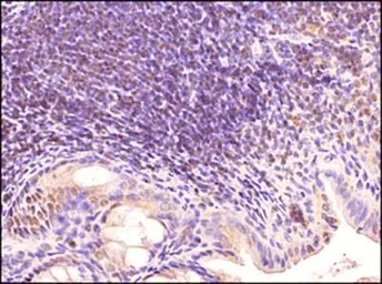
IHC-P analysis of mouse colon tissue using GTX13915 TLR3 antibody [40C1285.6].
Dilution : 1:500
IHC-P analysis of mouse intestine tissue using GTX13915 TLR3 antibody [40C1285.6].
Dilution : 1:500
WB analysis of (A) 293 cells, (B) 293 cells overexpressing human TLR3, (C) human intestine, (D) placenta, (E) heart and (F) ovary tissue lysate using GTX13915 TLR3 antibody [40C1285.6].
Dilution : 3 μg/ml
FACS (Intracellular staining) analysis of human monocyte using GTX13915 TLR3 antibody [40C1285.6].
Red : Primary antibody
Green : isotype control
Shaded histogram : cell only
Dilution : 0.5 μg/10⁶ cells
FACS (Intracellular staining) analysis of human monocyte using GTX13915 TLR3 antibody [40C1285.6].
Red : Primary antibody
Green : isotype control
Shaded histogram : cell only
Antibody amount : 0.5μg
风险提示:丁香通仅作为第三方平台,为商家信息发布提供平台空间。用户咨询产品时请注意保护个人信息及财产安全,合理判断,谨慎选购商品,商家和用户对交易行为负责。对于医疗器械类产品,请先查证核实企业经营资质和医疗器械产品注册证情况。
文献和实验This protocol includes an ammonium sulfate cut, affigel blue chromatography and affinity chromatography.1. Solutions(1) Affigel Blue Prewash0.1 M acetic acid 5.7 ml glacial acetic acid1.4 M NaCl 81 g NaCl40% isopropanol 400 ml isopropanolup
with 6 ml Buffer B, 6 ml Buffer A, and 6 ml Buffer B. Wash with Storage Buffer and hold at 4°C. • To purify the antibody, load the affigel concentrate onto the column and hold at room temperature for 10 minutes. • Wash with 50 ml 10 mM Tris
Polyclonal Antibody Production
. If you used xylene, rinse two or three times with ethanol to remove it. Remove the rabbit from the restrainer and place in its cage. Take the collected blood and place at 37 °C for 30 minutes
技术资料暂无技术资料 索取技术资料





![Cytokeratin 8 antibody [4D12]](https://img1.dxycdn.com/2023/0711/451/6106825198874858761-14.jpg!wh200)
![AHA-1 antibody [N2C3]](https://img1.dxycdn.com/2023/0516/895/8887749495766728561-14.jpg!wh200)



