相关产品推荐更多 >
万千商家帮你免费找货
0 人在求购买到急需产品
- 详细信息
- 文献和实验
- 技术资料
- 免疫原:
A synthetic peptide corresponding to amino acids 563-577 (YYQFKKDKAERRLAYC) of human NAK / TBK1 was used as immunogen for this antibody (NP_037386).
- 亚型:
IgG1
- 形态:
Liquid
- 保存条件:
Store as concentrated solution. Centrifuge briefly prior to opening vial. For short-term storage (1-2 weeks), store at 4ºC. For long-term storage, aliquot and store at -20ºC or below. Avoid multiple freeze-thaw cycles.
- 克隆性:
Monoclonal
- 标记物:
Unconjugated
- 适应物种:
Human, Mouse, Rat, Bovine, Dog
- 保质期:
12 months from the shipping date of the product.
- 抗原来源:
Human
- 目录编号:
GTX12116
- 级别:
Primary Antibodies
- 库存:
Available
- 供应商:
GeneTex
- 宿主:
Mouse
- 应用范围:
WB, ICC/IF, IHC-P
- 浓度:
1 mg/ml (Please refer to the vial label for the specific concentration.)
- 靶点:
NAK / TBK1
- 抗体英文名:
NAK / TBK1 antibody [108A429]
- 抗体名:
NAK / TBK1 抗体 [108A429]
- 规格:
50 μg
WB analysis of HEK293 mock cells (Lane 1) or overexpressing human NAK / TBK1 using GTX12116 NAK / TBK1 antibody [108A429].
Dilution : 2 μg/ml
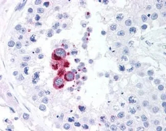
IHC-P analysis of human testis tissue using GTX12116 NAK / TBK1 antibody [108A429].
ICC/IF analysis of HeLa cells using GTX12116 NAK / TBK1 antibody [108A429].
Green : primary antibody
Red : Tubulin
Blue : DAPI
Dilution : 1:10
WB analysis of Daudi (left) and Raw 264.7 (right) cell lysate using GTX12116 NAK / TBK1 antibody [108A429].
WB analysis of Daudi (A) and RAW264.7 (B) cell lysate using GTX12116 NAK / TBK1 antibody [108A429].
Dilution : 2 μg/ml
风险提示:丁香通仅作为第三方平台,为商家信息发布提供平台空间。用户咨询产品时请注意保护个人信息及财产安全,合理判断,谨慎选购商品,商家和用户对交易行为负责。对于医疗器械类产品,请先查证核实企业经营资质和医疗器械产品注册证情况。
文献和实验Ogasawara N et al., J Clin Biochem Nutr 2011 (PMID:21373269)
Zhao B et al., Nature 2019 (PMID:31118511)
DETECTION OF ß-GALACTOSIDASE AND ALKALINE PHOSPHATASE ACTIVITIES IN TISSUE
-treatment conditions.Histochem . J. 18 :271. Rodriguez, J., and F. Deinhardt. 1960. Preparation of a semipermanent mounting medium for fluorescent antibody studies. Virology 12 :316. Rosenberg, W.S., X.O. Breakefield, C. DeAntonio, and O
Intracellular Cytokine Staining Protocol
anti-cytokine antibodies with excess amounts of unlabeled antibody. Alternatively, recombinant cytokines can be used for blocking.eBioscience antibodies are available as Functional Grade (FG) Purified (sterile, endotoxin-tested, no azide), Purified
Rational Design and Evaluation of FRET Experiments to Measure Protein Proximities in Cells
Figure 17.9.1 Illustration of the advantage of using antibody probes labeled with multiple dyes. (A ) Cartoon illustrates how each donor dye on an antibody has the potential to transfer energy to four different acceptor dyes on an acceptor antibody
技术资料暂无技术资料 索取技术资料









