相关产品推荐更多 >
万千商家帮你免费找货
0 人在求购买到急需产品
- 详细信息
- 询价记录
- 文献和实验
- 技术资料
- 免疫原:
A synthetic peptide corresponding to a N-terminal region of Human FOXP3
- 亚型:
IgG
- 形态:
Liquid
- 保存条件:
Store as concentrated solution. Centrifuge briefly prior to opening vial. For short-term storage (1-2 weeks), store at 4ºC. For long-term storage, aliquot and store at -20ºC or below. Avoid multiple freeze-thaw cycles.
- 克隆性:
Polyclonal
- 标记物:
Unconjugated
- 适应物种:
Human, Mouse
- 保质期:
12 months from the shipping date of the product.
- 抗原来源:
Human
- 目录编号:
GTX77889
- 级别:
Primary Antibodies
- 库存:
Available
- 供应商:
GeneTex
- 宿主:
Rabbit
- 应用范围:
WB, IHC-P, IHC-Fr
- 浓度:
0.5-1 mg/ml (Please refer to the vial label for the specific concentration.)
- 靶点:
FOXP3
- 抗体英文名:
FOXP3 antibody, N-term
- 抗体名:
FOXP3 抗体, N-term
- 规格:
100 μg
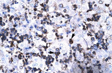
IHC-P analysis of human liver tissue using GTX77889 FOXP3 antibody at 4.0-8.0μg/ml.
WB analysis of NCI-H226 cells using GTX77889 FOXP3 antibody at 1μg/ml.
IHC-Fr analysis of mouse spleen tissue using GTX77889 FOXP3 antibody at 1: 100. There are a few positive lymphocytes in the mouse spleen (2-3 cells/400x).
WB analysis of HepG2 cells using GTX77889 FOXP3 antibody at 5.0-8.0μg/ml.
风险提示:丁香通仅作为第三方平台,为商家信息发布提供平台空间。用户咨询产品时请注意保护个人信息及财产安全,合理判断,谨慎选购商品,商家和用户对交易行为负责。对于医疗器械类产品,请先查证核实企业经营资质和医疗器械产品注册证情况。
- 作者
- 内容
- 询问日期
文献和实验标本。 2. 加20ul 1 N HC I ,盖紧,上下混匀。 2 - 8 ℃ 放置60± 2 分钟。 3. 加20ul 1 N NaOH, 盖紧,上下混匀。 4. 即用,或放-20/-70 ℃ 保存3 天。计算结果时乘 以稀释倍数 50 。 ( 注意:不同的标本Foxp3 的水平可能有较大差异,请根据实际情况灵活掌握稀释度) 5. 细胞培养上清或组织匀浆 10 倍稀释 (410ul 的标本
In the field of therapeutic recombinant proteins, monoclonal antibodies (mAbs) have achieved a rising success with more than 30 mAbs that have reached the market in the past 20 years. From a structural standpoint, one of the most important
In Vivo Depletion of FoxP3+ Tregs Using the DEREG Mouse Model
was precluded due to the lack of appropriate markers. Only after the discovery of Foxp3 as a Treg-specific transcription factor, was the development of Treg-specific mouse models feasible. We generated DEREG mice (DEpletion of REGulatory T cells), a BAC
技术资料暂无技术资料 索取技术资料









