相关产品推荐更多 >
万千商家帮你免费找货
0 人在求购买到急需产品
- 详细信息
- 文献和实验
- 技术资料
- 免疫原:
The antiserum was produced against a chemically synthesized phosphopeptide derived from a region of human PKC-gamma that contains threonine 655
- 亚型:
IgG
- 形态:
Liquid
- 保存条件:
Store as concentrated solution. Centrifuge briefly prior to opening vial. For short-term storage (1-2 weeks), store at 4ºC. For long-term storage, aliquot and store at -20ºC or below. Avoid multiple freeze-thaw cycles.
- 克隆性:
Polyclonal
- 标记物:
Unconjugated
- 适应物种:
Human, Mouse
- 保质期:
12 months from the shipping date of the product.
- 抗原来源:
Human
- 目录编号:
GTX25796
- 级别:
Primary Antibodies
- 库存:
Available
- 供应商:
GeneTex
- 宿主:
Rabbit
- 应用范围:
WB, IHC-P, FACS
- 浓度:
Batch dependent (Please refer to the vial label for the specific concentration.)
- 靶点:
PKC gamma (phospho Thr655)
- 抗体英文名:
PKC gamma (phospho Thr655) antibody
- 抗体名:
PKC gamma (phospho Thr655) 抗体
- 规格:
50 μl
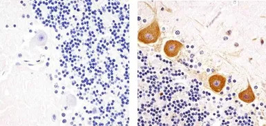
IHC-P analysis of human cerebellum tissue using GTX25796 PKC gamma (phospho Thr655) antibody.
Right : Primary antibody
Left : Negative control without primary antibody
Antigen retrieval : 10mM sodium citrate (pH 6.0), microwaved for 8-15 min
Dilution : 1:20
IHC-P analysis of human cerebellum tissue using GTX25796 PKC gamma (phospho Thr655) antibody.
Right : Primary antibody
Left : Negative control without primary antibody
Antigen retrieval : 10mM sodium citrate (pH 6.0), microwaved for 8-15 min
Dilution : 1:20
WB analysis of whole cell extracts (30 μg lysate) of HCT 116 (Lane 1), treated for 20 minutes with 200 mM of PMA (Lane 2), and A549 (Lane 3) treated for 20 minutes with 200 mM of PMA (Lane 4) using GTX25796 PKC gamma (phospho Thr655) antibody.
Dilution : 1:500
WB analysis of samples using GTX25796 PKC gamma (phospho Thr655) antibody. The data show that only the immunogen phosphopeptide blocks the signal, demonstrating the specificity of the antibody. The membrane treated with phosphatase (Lane 12) eliminates the signal further verifying that the antibody is phospho-specific.
Dilution : 1:500
风险提示:丁香通仅作为第三方平台,为商家信息发布提供平台空间。用户咨询产品时请注意保护个人信息及财产安全,合理判断,谨慎选购商品,商家和用户对交易行为负责。对于医疗器械类产品,请先查证核实企业经营资质和医疗器械产品注册证情况。
文献和实验提示我模型中的通路究竟涉及哪个亚型,而我又没有那么多经费一个一个亚型去试,故我想能不能就检测总的PKC激活水平,毕竟有亚型被激活,那总的活化PKC水平也应该会升高啊!虽然敏感性和特异性肯定没有单独检测一个亚型的高。 还想请教:Phospho-PKC (pan) (gamma Thr514) Antibody 和Phospho-PKC (pan) (βII Ser660) Antibody 这两个抗体的针对的亚型有什么不同?既然都是pan,那是否说都是针对所有的亚型,只是磷酸化的残基不同
Using Phospho‐Motif Antibodies to Determine Kinase Substrates
comprising both the phosphorylated residue and the surrounding residues that determine kinase specificity, with degenerate residues taking up the remaining positions. Currently, several categories of phospho?motif antibody are commercially available
Optimized Protocol to Make Phospho-Specific Antibodies that Work
, not simply its level of expression. In this review, we will discuss both the design of the phosphopeptide immunogen and immunization. The affinity purification of the phospho-specific antibody as well as the methods most suitable for characterizing
技术资料暂无技术资料 索取技术资料





![BNP antibody [N1C3]](https://img1.dxycdn.com/2023/0516/045/6925717576889828561-14.jpg!wh200)




