相关产品推荐更多 >
万千商家帮你免费找货
0 人在求购买到急需产品
- 详细信息
- 文献和实验
- 技术资料
- 免疫原:
The antiserum was produced against a chemically synthesized phosphopeptide derived from a region of human PKCd that contains serine 664.
- 亚型:
IgG
- 形态:
Liquid
- 保存条件:
Store as concentrated solution. Centrifuge briefly prior to opening vial. For short-term storage (1-2 weeks), store at 4℃. For long-term storage, aliquot and store at -20℃ or below. Avoid multiple freeze-thaw cycles.
- 克隆性:
Polyclonal
- 标记物:
Unconjugated
- 适应物种:
Human, Rat
- 保质期:
12 months from the shipping date of the product.
- 抗原来源:
Human
- 目录编号:
GTX25658
- 级别:
Primary Antibodies
- 库存:
Available
- 供应商:
GeneTex
- 宿主:
Rabbit
- 应用范围:
WB, IHC-P
- 浓度:
Batch dependent (Please refer to the vial label for the specific concentration.)
- 靶点:
PKC delta (phospho Ser664)
- 抗体英文名:
PKC delta (phospho Ser664) antibody
- 抗体名:
PKC delta (phospho Ser664) 抗体
- 规格:
50 μl
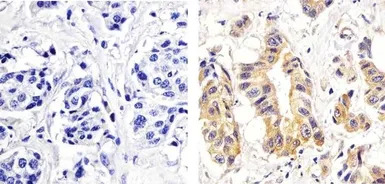
IHC-P analysis of human breast carcinoma tissue using GTX25658 PKC delta (phospho Ser664) antibody.
Right : Primary antibody
Left : Negative control without primary antibody
Antigen retrieval : 10mM sodium citrate (pH 6.0), microwaved for 8-15 min
Dilution : 1:20
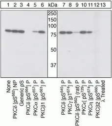
WB (peptide competition) analysis of K562 cells stimulated with PMA using GTX25658 PKC delta (phospho Ser664) antibody prior incubated with the non-phosphopeptide corresponding to the immunogen (Lane 2), a generic phosphoserine-containing peptide (Lane 3), the phosphopeptide immunogen (Lane 4), or the phosphopeptides corresponding to other PKC isoforms (Lane 5-12)control.The data show that the peptide corresponding to PKCdelta (pS664) blocks the antibody signal. The peptide corresponding to PKCalpha (pS657) partially blocks the antibody signal, while those for PKCbetaII (pS660), and rat PKCdelta (pS662) block the antibody signal more thoroughly, indicating their respective reactivity with this antibody. The membrane treated with phosphatase (Lane 13) eliminates the signal further verifying that the antibody is phospho-specific.
风险提示:丁香通仅作为第三方平台,为商家信息发布提供平台空间。用户咨询产品时请注意保护个人信息及财产安全,合理判断,谨慎选购商品,商家和用户对交易行为负责。对于医疗器械类产品,请先查证核实企业经营资质和医疗器械产品注册证情况。
文献和实验licanming 我的实验是用VEGF处理细胞后测定细胞PKC激活水平,拟采用Western blot的方法,用ECL法检测,这样分析PKC激活程度结果国际上认可吗? 我在Cell Signaling Technology上,查到 2261 Phospho-(Ser) PKC Substrate Antibody W IP E D 9371 Phospho-PKC (pan) (betaII Ser660) Antibody W IP
Using Phospho‐Motif Antibodies to Determine Kinase Substrates
comprising both the phosphorylated residue and the surrounding residues that determine kinase specificity, with degenerate residues taking up the remaining positions. Currently, several categories of phospho?motif antibody are commercially available
Optimized Protocol to Make Phospho-Specific Antibodies that Work
, not simply its level of expression. In this review, we will discuss both the design of the phosphopeptide immunogen and immunization. The affinity purification of the phospho-specific antibody as well as the methods most suitable for characterizing
技术资料暂无技术资料 索取技术资料









